-
中文名稱:ipaC兔多克隆抗體
-
貨號:CSB-PA324678ZA01SZB
-
規格:¥880
-
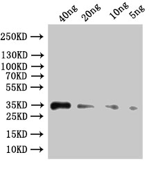
圖片:
-
其他:
產品詳情
-
產品名稱:Rabbit anti-Shigella flexneri ipaC Antibody Polyclonal antibody
-
Uniprot No.:
-
基因名:ipaC Antibody
-
別名:Invasin IpaC (42 kDa antigen), ipaC
-
宿主:Rabbit
-
反應種屬:Shigella flexneri
-
免疫原:Recombinant Shigella flexneri ipaC protein (1-363aa)
-
免疫原種屬:Shigella flexneri
-
標記方式:Non-conjugated
-
克隆類型:Polyclonal
-
抗體亞型:IgG
-
純化方式:>95%, Protein G purified
-
濃度:It differs from different batches. Please contact us to confirm it.
-
保存緩沖液:Preservative: 0.03% Proclin 300
Constituents: 50% Glycerol, 0.01M PBS, pH 7.4 -
產品提供形式:Liquid
-
應用范圍:ELISA, WB
-
推薦稀釋比:
Application Recommended Dilution WB 1:500-1:5000 -
Protocols:
-
儲存條件:Upon receipt, store at -20°C or -80°C. Avoid repeated freeze.
-
貨期:Basically, we can dispatch the products out in 1-3 working days after receiving your orders. Delivery time maybe differs from different purchasing way or location, please kindly consult your local distributors for specific delivery time.
-
用途:For Research Use Only. Not for use in diagnostic or therapeutic procedures.
引用文獻
- Neutralizing antibodies induced by IpaB and IpaC mRNA vaccines inhibit Shigella flexneri invasion YE Moon, T An, PG Park, KJ Hong,Microbiology Spectrum,2025
相關產品
靶點詳情
-
功能:Forms a pore with IpaB, which is inserted into host cell membrane through the Mxi/Spa apparatus, during cell contact. This pore probably allows the translocation of IpaA. The C-terminus of IpaC could be involved in actin polymerization that leads to the cell extension formation and its N-terminus could be involved in the conversion of filopodial extensions into lamellipodial extension. Most extensions results from Cdc42 activation by IpaC whereas the lamellipodial extensions result from the Rac activation by Cdc42.
-
亞細胞定位:Secreted. Note=Secreted through the specialized type-III secretion system Mxi/Spa. Inserted into the host cell membrane.
-
蛋白家族:Invasin protein C family
-
數據庫鏈接:
KEGG: sfl:CP0127
Most popular with customers
-
-
YWHAB Recombinant Monoclonal Antibody
Applications: ELISA, WB, IHC, IF, FC
Species Reactivity: Human, Mouse, Rat
-
Phospho-YAP1 (S127) Recombinant Monoclonal Antibody
Applications: ELISA, WB, IHC
Species Reactivity: Human
-
-
-
-
-















