ZNF622 Antibody
-
中文名稱:ZNF622兔多克隆抗體
-
貨號:CSB-PA026900LA01HU
-
規格:¥440
-
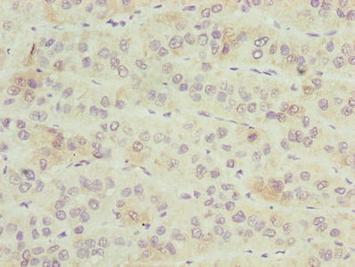
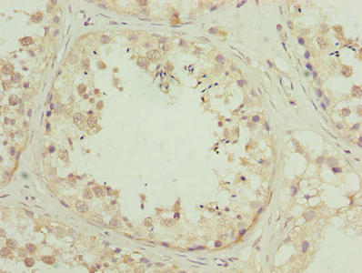
圖片:
-
其他:
產品詳情
-
產品名稱:Rabbit anti-Homo sapiens (Human) ZNF622 Polyclonal antibody
-
Uniprot No.:
-
基因名:ZNF622
-
別名:MGC108936 antibody; Zfp622 antibody; Zinc finger protein 622 antibody; Zinc finger-like protein 9 antibody; ZN622_HUMAN antibody; ZNF622 antibody; ZPR9 antibody
-
宿主:Rabbit
-
反應種屬:Human
-
免疫原:Recombinant Human Zinc finger protein 622 protein (2-280AA)
-
免疫原種屬:Homo sapiens (Human)
-
標記方式:Non-conjugated
本頁面中的產品,ZNF622 Antibody (CSB-PA026900LA01HU),的標記方式是Non-conjugated。對于ZNF622 Antibody,我們還提供其他標記。見下表:
-
克隆類型:Polyclonal
-
抗體亞型:IgG
-
純化方式:>95%, Protein G purified
-
濃度:It differs from different batches. Please contact us to confirm it.
-
保存緩沖液:Preservative: 0.03% Proclin 300
Constituents: 50% Glycerol, 0.01M PBS, PH 7.4 -
產品提供形式:Liquid
-
應用范圍:ELISA, IHC
-
推薦稀釋比:
Application Recommended Dilution IHC 1:20-1:200 -
Protocols:
-
儲存條件:Upon receipt, store at -20°C or -80°C. Avoid repeated freeze.
-
貨期:Basically, we can dispatch the products out in 1-3 working days after receiving your orders. Delivery time maybe differs from different purchasing way or location, please kindly consult your local distributors for specific delivery time.
-
用途:For Research Use Only. Not for use in diagnostic or therapeutic procedures.
相關產品
靶點詳情
-
功能:May behave as an activator of the bound transcription factor, MYBL2, and be involved in embryonic development.
-
基因功能參考文獻:
- Results from a study on gene expression variability markers in early-stage human embryos shows that ZNF622 is a putative expression variability marker for the 3-day, 8-cell embryo stage. PMID: 26288249
- ZPR9 was found to physically interact with ASK1 through a disulfide linkage;ZPR9 functions as a novel positive regulator of ASK1. PMID: 21771788
- ZPR9 plays an important role in modulation of the transactivation by B-MYB and cellular growth of neuroblastoma cells PMID: 12645566
-
亞細胞定位:Cytoplasm. Nucleus.
-
組織特異性:Expressed in lung, kidney, spleen, liver and brain with lowest expression in kidney.
-
數據庫鏈接:
Most popular with customers
-
YWHAB Recombinant Monoclonal Antibody
Applications: ELISA, WB, IHC, IF, FC
Species Reactivity: Human, Mouse, Rat
-
Phospho-YAP1 (S127) Recombinant Monoclonal Antibody
Applications: ELISA, WB, IHC
Species Reactivity: Human
-
-
-
-
-
-















