ZNF473 Antibody
-
中文名稱:ZNF473兔多克隆抗體
-
貨號:CSB-PA290957
-
規格:¥1100
-
圖片:
-
The image on the left is immunohistochemistry of paraffin-embedded Human tonsil tissue using CSB-PA290957(ZNF473 Antibody) at dilution 1/30, on the right is treated with synthetic peptide. (Original magnification: ×200)
-
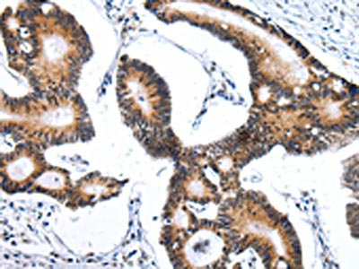
The image on the left is immunohistochemistry of paraffin-embedded Human colorectal cancer tissue using CSB-PA290957(ZNF473 Antibody) at dilution 1/30, on the right is treated with synthetic peptide. (Original magnification: ×200)
-
-
其他:
產品詳情
-
Uniprot No.:
-
基因名:ZNF473
-
別名:HZFP100 antibody; Zfp 100 antibody; Zfp-100 antibody; Zinc finger protein 100 homolog antibody; Zinc finger protein 473 antibody; zinc finger protein ZFP100 antibody; ZN473_HUMAN antibody; Znf473 antibody
-
宿主:Rabbit
-
反應種屬:Human
-
免疫原:Synthetic peptide of Human ZNF473
-
免疫原種屬:Homo sapiens (Human)
-
標記方式:Non-conjugated
-
抗體亞型:IgG
-
純化方式:Antigen affinity purification
-
濃度:It differs from different batches. Please contact us to confirm it.
-
保存緩沖液:-20°C, pH7.4 PBS, 0.05% NaN3, 40% Glycerol
-
產品提供形式:Liquid
-
應用范圍:ELISA,IHC
-
推薦稀釋比:
Application Recommended Dilution ELISA 1:2000-1:5000 IHC 1:25-1:100 -
Protocols:
-
儲存條件:Upon receipt, store at -20°C or -80°C. Avoid repeated freeze.
-
貨期:Basically, we can dispatch the products out in 1-3 working days after receiving your orders. Delivery time maybe differs from different purchasing way or location, please kindly consult your local distributors for specific delivery time.
-
用途:For Research Use Only. Not for use in diagnostic or therapeutic procedures.
相關產品
靶點詳情
-
功能:Involved in histone 3'-end pre-mRNA processing by associating with U7 snRNP and interacting with SLBP/pre-mRNA complex. Increases histone 3'-end pre-mRNA processing but has no effect on U7 snRNP levels, when overexpressed. Required for cell cycle progression from G1 to S phases.
-
基因功能參考文獻:
- ZFP100 is the limiting factor for histone pre-mRNA processing in vivo. PMID: 16914750
-
亞細胞定位:Nucleus. Note=Stable component of Cajal bodies (CBs). Colocalizes with SMN, coilin and U7 snRNA.
-
蛋白家族:Krueppel C2H2-type zinc-finger protein family
-
數據庫鏈接:
Most popular with customers
-
-
YWHAB Recombinant Monoclonal Antibody
Applications: ELISA, WB, IHC, IF, FC
Species Reactivity: Human, Mouse, Rat
-
Phospho-YAP1 (S127) Recombinant Monoclonal Antibody
Applications: ELISA, WB, IHC
Species Reactivity: Human
-
-
-
-
-















