ZNF423 Antibody
-
中文名稱:ZNF423兔多克隆抗體
-
貨號:CSB-PA026738OA01HU
-
規格:¥440
-
圖片:
-
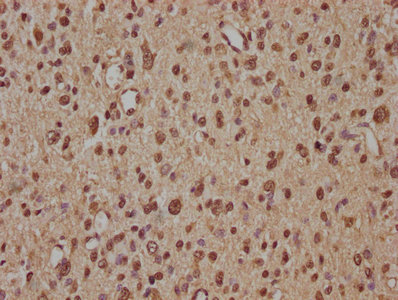
IHC image of CSB-PA026738OA01HU diluted at 1:100 and staining in paraffin-embedded human glioma performed on a Leica BondTM system. After dewaxing and hydration, antigen retrieval was mediated by high pressure in a citrate buffer (pH 6.0). Section was blocked with 10% normal goat serum 30min at RT. Then primary antibody (1% BSA) was incubated at 4°C overnight. The primary is detected by a biotinylated secondary antibody and visualized using an HRP conjugated SP system.
-
Immunofluorescence staining of Hela cells with CSB-PA026738OA01HU at 1:50, counter-stained with DAPI. The cells were fixed in 4% formaldehyde, permeabilized using 0.2% Triton X-100 and blocked in 10% normal Goat Serum. The cells were then incubated with the antibody overnight at 4°C. The secondary antibody was Alexa Fluor 488-congugated AffiniPure Goat Anti-Rabbit IgG(H+L).
-
-
其他:
產品詳情
-
產品名稱:Rabbit anti-Homo sapiens (Human) ZNF423 Polyclonal antibody
-
Uniprot No.:
-
基因名:ZNF423
-
別名:Early B cell factor associated zinc finger protein antibody; Ebfaz antibody; hOAZ antibody; JBTS19 antibody; KIAA0760 antibody; NPHP14 antibody; Nur12 antibody; OAZ antibody; OLF 1/EBF associated zinc finger antibody; OLF1/EBF associated zinc finger protein antibody; Olf1/EBF-associated zinc finger protein antibody; Roaz antibody; Smad and Olf interacting zinc finger protein antibody; Smad- and Olf-interacting zinc finger protein antibody; Zfp104 antibody; ZFP423 antibody; zinc finger protein 423, mouse, homolog of antibody; Zinc finger protein 423 antibody; ZN423_HUMAN antibody; ZNF423 antibody; ZNF423 zinc finger protein 423 antibody
-
宿主:Rabbit
-
反應種屬:Human
-
免疫原:Peptide sequence from Human Zinc finger protein 423 protein (39-57AA)
-
免疫原種屬:Homo sapiens (Human)
-
標記方式:Non-conjugated
本頁面中的產品,ZNF423 Antibody (CSB-PA026738OA01HU),的標記方式是Non-conjugated。對于ZNF423 Antibody,我們還提供其他標記。見下表:
-
克隆類型:Polyclonal
-
抗體亞型:IgG
-
純化方式:Antigen Affinity Purified
-
濃度:It differs from different batches. Please contact us to confirm it.
-
保存緩沖液:Preservative: 0.03% Proclin 300
Constituents: 50% Glycerol, 0.01M PBS, pH 7.4 -
產品提供形式:Liquid
-
應用范圍:ELISA, IHC, IF
-
推薦稀釋比:
Application Recommended Dilution IHC 1:20-1:200 IF 1:50-1:200 -
Protocols:
-
儲存條件:Upon receipt, store at -20°C or -80°C. Avoid repeated freeze.
-
貨期:Basically, we can dispatch the products out in 1-3 working days after receiving your orders. Delivery time maybe differs from different purchasing way or location, please kindly consult your local distributors for specific delivery time.
-
用途:For Research Use Only. Not for use in diagnostic or therapeutic procedures.
相關產品
靶點詳情
-
功能:Transcription factor that can both act as an activator or a repressor depending on the context. Plays a central role in BMP signaling and olfactory neurogenesis. Associates with SMADs in response to BMP2 leading to activate transcription of BMP target genes. Acts as a transcriptional repressor via its interaction with EBF1, a transcription factor involved in terminal olfactory receptor neurons differentiation; this interaction preventing EBF1 to bind DNA and activate olfactory-specific genes. Involved in olfactory neurogenesis by participating in a developmental switch that regulates the transition from differentiation to maturation in olfactory receptor neurons. Controls proliferation and differentiation of neural precursors in cerebellar vermis formation.
-
基因功能參考文獻:
- We identified calmodulin-like protein 3 (CALML3) as a key sensor of this SNP and a coregulator of ERalpha, which contributes to differential gene transcription regulation in an estrogen and SERM-dependent fashion. Furthermore, using CRISPR/Cas9-engineered ZR75-1 breast cancer cells with different ZNF423 SNP genotypes, striking differences in cellular responses to SERMs and PARP inhibitors, alone or in combination PMID: 28821270
- We report that CTSO reduces the protein levels of BRCA1 and ZNF423 through cysteine proteinase-mediated degradation. We also have identified a series of transcription factors of BRCA1 that are regulated by CTSO at the protein level. PMID: 28968398
- two multi-zinc finger transcription cofactors named ZNF423 and ZNF521 have been characterised as potent inhibitors of EBF1 and are emerging as potentially relevant contributors to the development of B-cell leukaemias PMID: 26788497
- ZNF423 is a target for epigenetic deregulation and BMP2-dependent pathways in childhood B precursor acute lymphoblastic leukemia. Aberrant ZNF423 inhibits EBF-1 target genes, leads to a B cell maturation arrest in vivo and is associated with poor outcome of ETV6-RUNX1-negative acute lymphoblastic leukemia. PMID: 24081948
- OAZ gene expression was highly enriched in mesenchymal stem cells (MSCs) compared with peripheral blood leukocytes and was increased in patients with systemic lupus erythematosus (SLE) compared with control subjects. PMID: 25219468
- ZNF423 expression is associated with poor outcome of ETV6-RUNX1-negative B precursor acute lymphoblastic leukemia patients. PMID: 24081948
- These findings suggest that expression of UBR5-ZNF423 protein might contribute to the transformation of a subset of Nasopharyngeal carcinoma PMID: 23878065
- Elevated expression of OAZ transcripts in systemic lupus erythematosus PBLs were strongly correlated with disease activity. PMID: 20359360
- The expression level of OAZ mRNA in the bone marrow and peripheral blood of SLE patients was significantly increased than those observed in normal controls. PMID: 20017333
- Low ZNF423 expression is associated with neuroblastoma. PMID: 19345331
顯示更多
收起更多
-
相關疾病:Nephronophthisis 14 (NPHP14); Joubert syndrome 19 (JBTS19)
-
亞細胞定位:Nucleus.
-
蛋白家族:Krueppel C2H2-type zinc-finger protein family
-
組織特異性:Expressed in brain, lung, skeletal muscle, heart, pancreas and kidney but not liver or placenta. Also expressed in aorta, ovary, pituitary, small intestine, fetal brain, fetal kidney and, within the adult brain, in the substantia nigra, medulla, amygdala,
-
數據庫鏈接:
Most popular with customers
-
-
YWHAB Recombinant Monoclonal Antibody
Applications: ELISA, WB, IHC, IF, FC
Species Reactivity: Human, Mouse, Rat
-
Phospho-YAP1 (S127) Recombinant Monoclonal Antibody
Applications: ELISA, WB, IHC
Species Reactivity: Human
-
-
-
-
-















