ZNF365 Antibody
-
中文名稱:ZNF365兔多克隆抗體
-
貨號:CSB-PA123199
-
規格:¥1100
-
圖片:
-
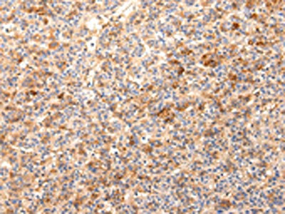
The image on the left is immunohistochemistry of paraffin-embedded Human liver cancer tissue using CSB-PA123199(ZNF365 Antibody) at dilution 1/20, on the right is treated with synthetic peptide. (Original magnification: ×200)
-
Gel: 12%SDS-PAGE, Lysate: 40 μg, Lane: Human liver cancer tissue, Primary antibody: CSB-PA123199(ZNF365 Antibody) at dilution 1/200 dilution, Secondary antibody: Goat anti rabbit IgG at 1/8000 dilution, Exposure time: 10 seconds
-
-
其他:
產品詳情
-
Uniprot No.:
-
基因名:ZNF365
-
別名:ZNF365 antibody; KIAA0844 antibody; Talanin antibody
-
宿主:Rabbit
-
反應種屬:Human
-
免疫原:Synthetic peptide of Human ZNF365
-
免疫原種屬:Homo sapiens (Human)
-
標記方式:Non-conjugated
-
抗體亞型:IgG
-
純化方式:Antigen affinity purification
-
濃度:It differs from different batches. Please contact us to confirm it.
-
保存緩沖液:-20°C, pH7.4 PBS, 0.05% NaN3, 40% Glycerol
-
產品提供形式:Liquid
-
應用范圍:ELISA,WB,IHC
-
推薦稀釋比:
Application Recommended Dilution ELISA 1:2000-1:5000 WB 1:500-1:2000 IHC 1:25-1:100 -
Protocols:
-
儲存條件:Upon receipt, store at -20°C or -80°C. Avoid repeated freeze.
-
貨期:Basically, we can dispatch the products out in 1-3 working days after receiving your orders. Delivery time maybe differs from different purchasing way or location, please kindly consult your local distributors for specific delivery time.
-
用途:For Research Use Only. Not for use in diagnostic or therapeutic procedures.
相關產品
靶點詳情
-
功能:May play a role in uric acid excretion.
-
基因功能參考文獻:
- It regulates cortical cell positioning and neurite extension by sustaining the anterograde transport of Lis1/DISC1 through control of Ndel1 phosphorylation PMID: 27333658
- The SNP rs10995251 in ZNF365 gene is associated with the susceptibility to bronchial asthma in children. PMID: 26287344
- we discuss the expression of DISC1, DBZ, and SGK1 , their roles in the regulation of oligodendrocyte function, possible interactions of DISC1 and DBZ in relation to SZ, and the activation of the SGK1 signaling cascade in relation to MDD. PMID: 25705664
- We evaluated the association of polymorphisms of ZNF365 gene with the metabolic disorders in children with urolithiasis PMID: 25060549
- Single-nucleotide polymorphism in ZNF365 gene is associated with Crohn's disease. PMID: 25489960
- In the absence of ZNF365, defective telomeres engage in aberrant recombination of telomere ends, leading to increased telomere sister chromatid exchange and formation of anaphase DNA bridges, including ultra-fine DNA bridges, and ultimately increased cytokinesis failure and aneuploidy PMID: 23776040
- These results suggest an homologous recombination repair-dependent function of ZNF365 in preventing genomic instability. PMID: 23966166
- Our findings suggest that RAB3GAP1 and ZNF365 are relevant candidate genes for SCD and will contribute to the mechanistic understanding of SCD susceptibility. PMID: 23593153
- Common variants at the 19p13.1 and ZNF365 loci are associated with ER subtypes of breast cancer and ovarian cancer risk in BRCA1 and BRCA2 mutation carriers. PMID: 22351618
- the non-synonymous Ala62Thr SNP, rs7076156, underlies the association between 10q21 and CD risk and suggest that this SNP acts by altering expression of genes under the control of ZNF365 isoform D. PMID: 21257989
- The association of PCNT2 and DBZ with schizophrenia and bipolar disorder in a case-control study of Japanese cohorts, was examined. PMID: 19191256
- A novel gene responsible for UAN was identified in an Italian population. PMID: 12740763
- findings indicate that Su48 can form a protein complex with Nde1 in the centrosome and plays an important role for successful mitosis PMID: 16682949
顯示更多
收起更多
-
相關疾病:Uric acid nephrolithiasis (UAN)
-
組織特異性:Isoform 4 is expressed in placenta, lung, kidney and pancreas.
-
數據庫鏈接:
Most popular with customers
-
YWHAB Recombinant Monoclonal Antibody
Applications: ELISA, WB, IHC, IF, FC
Species Reactivity: Human, Mouse, Rat
-
Phospho-YAP1 (S127) Recombinant Monoclonal Antibody
Applications: ELISA, WB, IHC
Species Reactivity: Human
-
-
-
-
-
-















