ZNF324 Antibody
-
中文名稱:ZNF324兔多克隆抗體
-
貨號:CSB-PA026673ESR2HU
-
規格:¥440
-
圖片:
-
Western blot
All lanes: ZNF324antibody at 1.57μg/ml
Lane 1: A549 whole cell lysate
Lane 2: 293T whole cell lysate
Lane 3: MCF-7 whole cell lysate
Lane 4: Jurkat whole cell lysate
Secondary
Goat polyclonal to rabbit IgG at 1/10000 dilution
Predicted band size: 61 kDa
Observed band size: 61 kDa -
Immunohistochemistry of paraffin-embedded human colon cancer using CSB-PA026673ESR2HU at dilution of 1:100
-
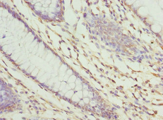
Immunohistochemistry of paraffin-embedded human gastric cancer using CSB-PA026673ESR2HU at dilution of 1:100
-
-
其他:
產品詳情
-
產品名稱:Rabbit anti-Homo sapiens (Human) ZNF324 Polyclonal antibody
-
Uniprot No.:
-
基因名:ZNF324
-
別名:Z324A_HUMAN antibody; ZF5128 antibody; Zinc finger protein 324A antibody; Zinc finger protein ZF5128 antibody; ZNF324 antibody; ZNF324A antibody
-
宿主:Rabbit
-
反應種屬:Human
-
免疫原:Recombinant Human Zinc finger protein 324A protein (1-270AA)
-
免疫原種屬:Homo sapiens (Human)
-
標記方式:Non-conjugated
-
克隆類型:Polyclonal
-
抗體亞型:IgG
-
純化方式:Antigen Affinity Purified
-
濃度:It differs from different batches. Please contact us to confirm it.
-
保存緩沖液:PBS with 0.02% sodium azide, 50% glycerol, pH7.3.
-
產品提供形式:Liquid
-
應用范圍:ELISA, WB, IHC
-
推薦稀釋比:
Application Recommended Dilution WB 1:1000-1:5000 IHC 1:20-1:200 -
Protocols:
-
儲存條件:Upon receipt, store at -20°C or -80°C. Avoid repeated freeze.
-
貨期:Basically, we can dispatch the products out in 1-3 working days after receiving your orders. Delivery time maybe differs from different purchasing way or location, please kindly consult your local distributors for specific delivery time.
-
用途:For Research Use Only. Not for use in diagnostic or therapeutic procedures.
相關產品
靶點詳情
-
功能:May be involved in transcriptional regulation. May be involved in regulation of cell proliferation.
-
亞細胞定位:Nucleus.
-
蛋白家族:Krueppel C2H2-type zinc-finger protein family
-
組織特異性:Expressed at high levels in the spleen, thymus, and PBMC, at low levels in the prostate, ovary, small intestine, colon (mucosal lining), placenta, lung, and pancreas, and very weakly expressed in the liver and kidney.
-
數據庫鏈接:
Most popular with customers
-
-
YWHAB Recombinant Monoclonal Antibody
Applications: ELISA, WB, IHC, IF, FC
Species Reactivity: Human, Mouse, Rat
-
Phospho-YAP1 (S127) Recombinant Monoclonal Antibody
Applications: ELISA, WB, IHC
Species Reactivity: Human
-
-
-
-
-















