ZNF282 Antibody
-
中文名稱:ZNF282兔多克隆抗體
-
貨號:CSB-PA026638LA01HU
-
規格:¥440
-
圖片:
-
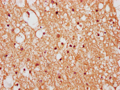
IHC image of CSB-PA026638LA01HU diluted at 1:400 and staining in paraffin-embedded human brain tissue performed on a Leica BondTM system. After dewaxing and hydration, antigen retrieval was mediated by high pressure in a citrate buffer (pH 6.0). Section was blocked with 10% normal goat serum 30min at RT. Then primary antibody (1% BSA) was incubated at 4°C overnight. The primary is detected by a biotinylated secondary antibody and visualized using an HRP conjugated SP system.
-
-
其他:
產品詳情
-
產品名稱:Rabbit anti-Homo sapiens (Human) ZNF282 Polyclonal antibody
-
Uniprot No.:
-
基因名:ZNF282
-
別名:ZNF282 antibody; HUB1Zinc finger protein 282 antibody; HTLV-I U5RE-binding protein 1 antibody; HUB-1 antibody
-
宿主:Rabbit
-
反應種屬:Human
-
免疫原:Recombinant Human Zinc finger protein 282 protein (240-384AA)
-
免疫原種屬:Homo sapiens (Human)
-
標記方式:Non-conjugated
本頁面中的產品,ZNF282 Antibody (CSB-PA026638LA01HU),的標記方式是Non-conjugated。對于ZNF282 Antibody,我們還提供其他標記。見下表:
-
克隆類型:Polyclonal
-
抗體亞型:IgG
-
純化方式:>95%, Protein G purified
-
濃度:It differs from different batches. Please contact us to confirm it.
-
保存緩沖液:Preservative: 0.03% Proclin 300
Constituents: 50% Glycerol, 0.01M PBS, pH 7.4 -
產品提供形式:Liquid
-
應用范圍:ELISA, IHC
-
推薦稀釋比:
Application Recommended Dilution IHC 1:200-1:500 -
Protocols:
-
儲存條件:Upon receipt, store at -20°C or -80°C. Avoid repeated freeze.
-
貨期:Basically, we can dispatch the products out in 1-3 working days after receiving your orders. Delivery time maybe differs from different purchasing way or location, please kindly consult your local distributors for specific delivery time.
-
用途:For Research Use Only. Not for use in diagnostic or therapeutic procedures.
相關產品
靶點詳情
-
功能:Binds to the U5 repressive element (U5RE) of the human T cell leukemia virus type I long terminal repeat. It recognizes the 5'-TCCACCCC-3' sequence as a core motif and exerts a strong repressive effect on HTLV-I LTR-mediated expression.
-
基因功能參考文獻:
- ZNF282 is E2F1 co-activator involved in esophageal squamous cell carcinoma PMID: 25373738
- SUMOylation of ZFP282 potentiates its positive effect on estrogen signaling in breast tumorigenesis. PMID: 22986521
-
亞細胞定位:Nucleus.
-
蛋白家族:Krueppel C2H2-type zinc-finger protein family
-
組織特異性:Ubiquitous.
-
數據庫鏈接:
Most popular with customers
-
-
YWHAB Recombinant Monoclonal Antibody
Applications: ELISA, WB, IHC, IF, FC
Species Reactivity: Human, Mouse, Rat
-
-
-
-
-
-















