ZNF260 Antibody
-
中文名稱:ZNF260兔多克隆抗體
-
貨號:CSB-PA026620LA01HU
-
規格:¥440
-
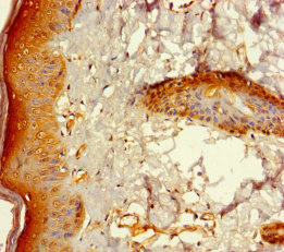
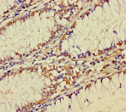
圖片:
-
其他:
產品詳情
-
產品名稱:Rabbit anti-Homo sapiens (Human) ZNF260 Polyclonal antibody
-
Uniprot No.:
-
基因名:ZNF260
-
別名:OZRF1 antibody; PEX1 antibody; Zfp-260 antibody; Zinc finger protein 260 antibody; ZN260_HUMAN antibody; ZNF260 antibody
-
宿主:Rabbit
-
反應種屬:Human
-
免疫原:Recombinant Human Zinc finger protein 260 protein (1-200AA)
-
免疫原種屬:Homo sapiens (Human)
-
標記方式:Non-conjugated
本頁面中的產品,ZNF260 Antibody (CSB-PA026620LA01HU),的標記方式是Non-conjugated。對于ZNF260 Antibody,我們還提供其他標記。見下表:
-
克隆類型:Polyclonal
-
抗體亞型:IgG
-
純化方式:>95%, Protein G purified
-
濃度:It differs from different batches. Please contact us to confirm it.
-
保存緩沖液:Preservative: 0.03% Proclin 300
Constituents: 50% Glycerol, 0.01M PBS, PH 7.4 -
產品提供形式:Liquid
-
應用范圍:ELISA, IHC
-
推薦稀釋比:
Application Recommended Dilution IHC 1:20-1:200 -
Protocols:
-
儲存條件:Upon receipt, store at -20°C or -80°C. Avoid repeated freeze.
-
貨期:Basically, we can dispatch the products out in 1-3 working days after receiving your orders. Delivery time maybe differs from different purchasing way or location, please kindly consult your local distributors for specific delivery time.
-
用途:For Research Use Only. Not for use in diagnostic or therapeutic procedures.
相關產品
靶點詳情
-
功能:Transcription factor that acts as a cardiac regulator and an effector of alpha1-adrenergic signaling. Binds to PE response elements (PERE) present in the promoter of genes such as ANF/NPPA and acts as a direct transcriptional activator of NPPA. Also acts as a cofactor with GATA4, a key cardiac regulator.
-
基因功能參考文獻:
- Zfp260 is a novel transcriptional regulator in normal and pathological heart development and a nuclear effector of alpha1-adrenergic signaling PMID: 16166646
-
亞細胞定位:Nucleus.
-
蛋白家族:Krueppel C2H2-type zinc-finger protein family
-
數據庫鏈接:
Most popular with customers
-
YWHAB Recombinant Monoclonal Antibody
Applications: ELISA, WB, IHC, IF, FC
Species Reactivity: Human, Mouse, Rat
-
Phospho-YAP1 (S127) Recombinant Monoclonal Antibody
Applications: ELISA, WB, IHC
Species Reactivity: Human
-
-
-
-
-
-
VDAC1 Recombinant Monoclonal Antibody
Applications: ELISA, WB, IHC
Species Reactivity: Human, Mouse, Rat















