ZNF224 Antibody
-
中文名稱:ZNF224兔多克隆抗體
-
貨號:CSB-PA026592LA01HU
-
規格:¥440
-
圖片:
-
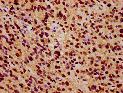
IHC image of CSB-PA026592LA01HU diluted at 1:500 and staining in paraffin-embedded human glioma performed on a Leica BondTM system. After dewaxing and hydration, antigen retrieval was mediated by high pressure in a citrate buffer (pH 6.0). Section was blocked with 10% normal goat serum 30min at RT. Then primary antibody (1% BSA) was incubated at 4°C overnight. The primary is detected by a biotinylated secondary antibody and visualized using an HRP conjugated SP system.
-
Immunofluorescence staining of Hela cells with CSB-PA026592LA01HU at 1:166, counter-stained with DAPI. The cells were fixed in 4% formaldehyde, permeabilized using 0.2% Triton X-100 and blocked in 10% normal Goat Serum. The cells were then incubated with the antibody overnight at 4°C. The secondary antibody was Alexa Fluor 488-congugated AffiniPure Goat Anti-Rabbit IgG(H+L).
-
-
其他:
產品詳情
-
產品名稱:Rabbit anti-Homo sapiens (Human) ZNF224 Polyclonal antibody
-
Uniprot No.:
-
基因名:ZNF224
-
別名:BMZF 2 antibody; BMZF-2 antibody; BMZF2 antibody; Bone marrow zinc finger 2 antibody; KOX22 antibody; Zinc finger 2; bone marrow antibody; Zinc finger protein 224 antibody; Zinc finger protein 233 antibody; Zinc finger protein 255 antibody; Zinc finger protein 27 (KOX 22) antibody; Zinc finger protein 27 antibody; Zinc finger protein KOX22 antibody; Zinc finger protein ZNF255 antibody; ZN224_HUMAN antibody; ZNF224 antibody; ZNF255 antibody; ZNF27 antibody
-
宿主:Rabbit
-
反應種屬:Human
-
免疫原:Recombinant Human Zinc finger protein 224 protein (477-607AA)
-
免疫原種屬:Homo sapiens (Human)
-
標記方式:Non-conjugated
本頁面中的產品,ZNF224 Antibody (CSB-PA026592LA01HU),的標記方式是Non-conjugated。對于ZNF224 Antibody,我們還提供其他標記。見下表:
-
克隆類型:Polyclonal
-
抗體亞型:IgG
-
純化方式:>95%, Protein G purified
-
濃度:It differs from different batches. Please contact us to confirm it.
-
保存緩沖液:Preservative: 0.03% Proclin 300
Constituents: 50% Glycerol, 0.01M PBS, pH 7.4 -
產品提供形式:Liquid
-
應用范圍:ELISA, IHC, IF
-
推薦稀釋比:
Application Recommended Dilution IHC 1:500-1:1000 IF 1:50-1:200 -
Protocols:
-
儲存條件:Upon receipt, store at -20°C or -80°C. Avoid repeated freeze.
-
貨期:Basically, we can dispatch the products out in 1-3 working days after receiving your orders. Delivery time maybe differs from different purchasing way or location, please kindly consult your local distributors for specific delivery time.
-
用途:For Research Use Only. Not for use in diagnostic or therapeutic procedures.
相關產品
靶點詳情
-
功能:May be involved in transcriptional regulation as a transcriptional repressor. The DEPDC1A-ZNF224 complex may play a critical role in bladder carcinogenesis by repressing the transcription of the A20 gene, leading to transport of NF-KB protein into the nucleus, resulting in suppression of apoptosis of bladder cancer cells.
-
基因功能參考文獻:
- identify the receptor tyrosine kinase Axl as a novel target of ZNF224 transcriptional repression activity. PMID: 30176265
- The analyses using human breast ductal carcinoma tissues exhibited that the expression of ZNF224 and miR-663a was increased in cancer compared to non-cancer region. PMID: 27105517
- we showed that ZNF224 positively modulates cyclin D3 gene expression. Consistently, we observed that alteration of ZNF224 expression leads to defects in cell cycle control. All together, our results strongly suggest that in Chronic lymphocytic leukaemia (CLL)cells high expression level of ZNF224 can lead to inappropriate cell growth and apoptosis resistance, thus contributing to CLL progression PMID: 28040726
- Increasing information on the mechanism through which ZNF224 can operate could lead to the identification of agents capable of modulating ZNF224 function, thus potentially paving the way to new therapeutic strategies for treatment of cancer PMID: 28215224
- REVIEW: ZNF224 is a multifunctional protein and alternative splicing, sub-cellular compartmentalization and isoform-specific interactions may modulate its activity PMID: 21187159
- Coimmunoprecipitation and immunocytochemistry revealed that DEPDC1 interacted and colocalized with zinc finger transcription factor ZNF224, a known transcriptional repressor. PMID: 20587513
- We demonstrate that ZNF224, a Kruppel-like zinc finger transcription factor, is the repressor protein that specifically binds to the negative cis-element AldA-NRE and affects the AldA-NRE-mediated transcription PMID: 12527367
- Differential expression and cellular localization of ZNF224 and ZNF255, two isoforms of the Kruppel-like zinc-finger protein family. PMID: 17900823
- CIC silencer activity extends over 26 bp (-595/-569), which specifically bind a protein ZNF224 present in HepG2 cell nuclear extracts. PMID: 19505435
- ZNF224 recruits the arginine methyltransferase PRMT5 on the transcriptional repressor complex of the aldolase A gene PMID: 19741270
顯示更多
收起更多
-
亞細胞定位:Nucleus. Note=Colocalizes with DEPDC1A at the nucleus.
-
蛋白家族:Krueppel C2H2-type zinc-finger protein family
-
組織特異性:Ubiquitous. Mainly expressed in fetal tissues.
-
數據庫鏈接:
Most popular with customers
-
-
YWHAB Recombinant Monoclonal Antibody
Applications: ELISA, WB, IHC, IF, FC
Species Reactivity: Human, Mouse, Rat
-
-
-
-
-
-















