ZMIZ1 Antibody
-
中文名稱:ZMIZ1兔多克隆抗體
-
貨號:CSB-PA103365
-
規格:¥1100
-
圖片:
-
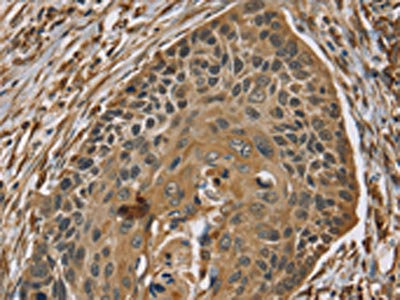
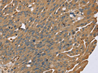
The image on the left is immunohistochemistry of paraffin-embedded Human breast cancer tissue using CSB-PA103365(ZMIZ1 Antibody) at dilution 1/40, on the right is treated with synthetic peptide. (Original magnification: ×200)
-
The image on the left is immunohistochemistry of paraffin-embedded Human esophagus cancer tissue using CSB-PA103365(ZMIZ1 Antibody) at dilution 1/40, on the right is treated with synthetic peptide. (Original magnification: ×200)
-
Gel: 6%SDS-PAGE, Lysate: 40 μg, Lane: Skov3 cells, Primary antibody: CSB-PA103365(ZMIZ1 Antibody) at dilution 1/200, Secondary antibody: Goat anti rabbit IgG at 1/8000 dilution, Exposure time: 2 minutes
-
-
其他:
產品詳情
-
Uniprot No.:
-
基因名:ZMIZ1
-
別名:hZIMP10 antibody; KIAA1224 antibody; MIZ antibody; PIAS like protein hZimp10 antibody; PIAS like protein on chromosome 10 antibody; PIAS like protein Zimp10 antibody; PIAS-like protein Zimp10 antibody; RAI 17 antibody; Retinoic acid induced 17 antibody; Retinoic acid induced protein 17 antibody; Retinoic acid-induced protein 17 antibody; TRAFIP10 antibody; Zimp10 antibody; Zinc finger containing Miz1 PIAS like protein on chromosome 10 antibody; Zinc finger MIZ domain-containing protein 1 antibody; Zinc finger MIZ-type containing 1 antibody; Zmiz1 antibody; ZMIZ1_HUMAN antibody
-
宿主:Rabbit
-
反應種屬:Human,Mouse
-
免疫原:Synthetic peptide of Human ZMIZ1
-
免疫原種屬:Homo sapiens (Human)
-
標記方式:Non-conjugated
-
抗體亞型:IgG
-
純化方式:Antigen affinity purification
-
濃度:It differs from different batches. Please contact us to confirm it.
-
保存緩沖液:-20°C, pH7.4 PBS, 0.05% NaN3, 40% Glycerol
-
產品提供形式:Liquid
-
應用范圍:ELISA,WB,IHC
-
推薦稀釋比:
Application Recommended Dilution ELISA 1:1000-1:2000 WB 1:200-1:1000 IHC 1:25-1:100 -
Protocols:
-
儲存條件:Upon receipt, store at -20°C or -80°C. Avoid repeated freeze.
-
貨期:Basically, we can dispatch the products out in 1-3 working days after receiving your orders. Delivery time maybe differs from different purchasing way or location, please kindly consult your local distributors for specific delivery time.
-
用途:For Research Use Only. Not for use in diagnostic or therapeutic procedures.
相關產品
靶點詳情
-
功能:Acts as transcriptional coactivator. Increases ligand-dependent transcriptional activity of AR and promotes AR sumoylation. The stimulation of AR activity is dependent upon sumoylation. Also functions as a transcriptional coactivator in the TGF-beta signaling pathway by increasing the activity of the SMAD3/SMAD4 transcriptional complex. Involved in transcriptional activation of a subset of NOTCH1 target genes including MYC. Involved in thymocyte and T cell development. Involved in the regulation of postmitotic positioning of pyramidal neurons in the developing cerebral cortex.
-
基因功能參考文獻:
- In a two-stage genome-wide association study and subsequent replication study to identify genetic factors associated with primary dysmenorrhoea in Chinese women, analysis provided evidence of a significant (P<5 x 10(-8)) association at rs76518691 in the gene ZMIZ1 and at rs7523831 near NGF. PMID: 28447608
- we have identified a molecular phenotype of MS defined by expression of the MS risk gene ZMIZ1 in blood, and by other genes, especially transcription factors. ZMIZ1 expression is affected by, and interacts with, the environmental risk factors EBV and Vitamin D. PMID: 28063629
- rs1250569 (ZMIZ1) and rs10114470 (TL1A) are two novel loci that indicate susceptibility to Inflammatory Bowel Disease in Han-Chinese patients. PMID: 28456797
- This case represents the first constitutional balanced translocation disrupting and fusing both MIZ-type containing and proline-rich 12 and provides clues for the potential function and effects of these in the central nervous system. PMID: 26163108
- At the ZMIZ1 locus, we show that perturbation of ZMIZ1 expression in human islets and beta-cells influences exocytosis and insulin secretion, highlighting a novel role for ZMIZ1 in the maintenance of glucose homeostasis. PMID: 26624892
- Targeting the NOTCH1-ZMIZ1 interaction might combat leukemic growth. PMID: 26522984
- the expression of SENP8, SAE1, PIAS1, PIAS2 and ZMIZ1 is deregulated in the majority of PTC tissues, likely contributing to the PTC phenotype. PMID: 26403403
- ZMIZ1 is a susceptibility gene for vitiligo in Chinese population. PMID: 24667117
- ZMIZ1 is overexpressed in a significant percentage of human breast, ovarian, and colon cancers in addition to human squamous cell carcinomas, suggesting that ZMIZ1 may play a broader role in epithelial cancers. PMID: 23426136
- ZMIZ1 and activated NOTCH1 are coexpressed in a subset of human T-ALL patients and cell lines. PMID: 23161489
- First line of evidence demonstrates a physiological role for endogenous Zimp10 in regulating Smad3/4-mediated transcription. PMID: 16777850
- (RAI17) was found to be upregulated in WT-Add1 vs MUT-Add1 overexpressing cells, possibly representing a key molecule/axis for the functional Add1-induced effect PMID: 17512505
- Expression of exogenous hZimp10 enhances the transcriptional activity of p53 and knockdown of endogenous hZimp10 reduces the transcriptional activity of p53. PMID: 17584785
- provides evidence to demonstrate a crucial role for Zimp10 in vasculogenesis PMID: 17967885
- Fusion of ZMIZ1 to ABL1 is associated with a B-cell acute lymphoblastic leukemia with a t(9;10)(q34;q22.3) translocation PMID: 18007576
顯示更多
收起更多
-
亞細胞定位:Nucleus, nucleoplasm. Cytoplasm. Nucleus.
-
組織特異性:Expressed most abundantly in ovary and, at lower levels, in prostate, spleen and testis. Weak expression, if any, in thymus, small intestine, colon and peripheral blood leukocytes.
-
數據庫鏈接:
Most popular with customers
-
-
YWHAB Recombinant Monoclonal Antibody
Applications: ELISA, WB, IHC, IF, FC
Species Reactivity: Human, Mouse, Rat
-
Phospho-YAP1 (S127) Recombinant Monoclonal Antibody
Applications: ELISA, WB, IHC
Species Reactivity: Human
-
-
-
-
-















