ZMAT3 Antibody
-
中文名稱:ZMAT3兔多克隆抗體
-
貨號:CSB-PA942507
-
規格:¥1100
-
圖片:
-
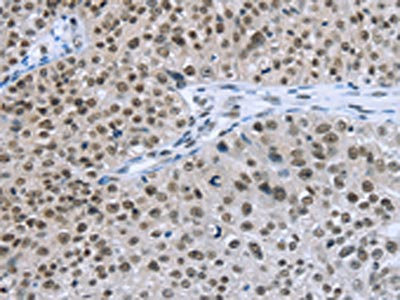
The image on the left is immunohistochemistry of paraffin-embedded Human colon cancer tissue using CSB-PA942507(ZMAT3 Antibody) at dilution 1/20, on the right is treated with fusion protein. (Original magnification: ×200)
-
The image on the left is immunohistochemistry of paraffin-embedded Human breast cancer tissue using CSB-PA942507(ZMAT3 Antibody) at dilution 1/20, on the right is treated with fusion protein. (Original magnification: ×200)
-
-
其他:
產品詳情
-
Uniprot No.:
-
基因名:
-
別名:FLJ12296 antibody; FLJ31683 antibody; MGC10613 antibody; OTTHUMP00000211906 antibody; OTTHUMP00000211907 antibody; p53 activated gene 608 antibody; p53 inducible zinc finger protein antibody; p53 target zinc finger protein antibody; p53-activated gene 608 protein antibody; PAG 608 antibody; WIG 1 antibody; WIG 1/PAG608 protein antibody; WIG1 antibody; WIG1/PAG608 protein antibody; Wildtype p53-induced gene antibody; Zinc finger matrin type 3 antibody; Zinc finger matrin-type protein 3 antibody; Zinc finger protein WIG 1 antibody; Zinc finger protein WIG-1 antibody; Zinc finger protein WIG1 antibody; ZMAT 3 antibody; Zmat3 antibody; ZMAT3_HUMAN antibody
-
宿主:Rabbit
-
反應種屬:Human,Mouse,Rat
-
免疫原:Fusion protein of Human ZMAT3
-
免疫原種屬:Homo sapiens (Human)
-
標記方式:Non-conjugated
-
抗體亞型:IgG
-
純化方式:Antigen affinity purification
-
濃度:It differs from different batches. Please contact us to confirm it.
-
保存緩沖液:-20°C, pH7.4 PBS, 0.05% NaN3, 40% Glycerol
-
產品提供形式:Liquid
-
應用范圍:ELISA,IHC
-
推薦稀釋比:
Application Recommended Dilution ELISA 1:1000-1:2000 IHC 1:25-1:100 -
Protocols:
-
儲存條件:Upon receipt, store at -20°C or -80°C. Avoid repeated freeze.
-
貨期:Basically, we can dispatch the products out in 1-3 working days after receiving your orders. Delivery time maybe differs from different purchasing way or location, please kindly consult your local distributors for specific delivery time.
-
用途:For Research Use Only. Not for use in diagnostic or therapeutic procedures.
相關產品
靶點詳情
-
功能:Acts as a bona fide target gene of p53/TP53. May play a role in the TP53-dependent growth regulatory pathway. May contribute to TP53-mediated apoptosis by regulation of TP53 expression and translocation to the nucleus and nucleolus.
-
基因功能參考文獻:
- WIG1 governs the miRNA-dependent and the miRNA-independent recruitment of AGO2 to lower the stability of and suppress the translation of ACOT7 mRNA. PMID: 28472401
- we propose that Wig1, a key p53 downstream molecule in HD condition, play an important role in stabilizing mutant Htt mRNA and thereby accelerating HD pathology in the mHtt-p53-Wig1 positive feedback manner PMID: 27206983
- expression of the p53 target Wig-1 is associated with HPV status and patient survival in cervical carcinoma PMID: 25379706
- Results suggest a role of Wig-1 as a survival factor that directs the p53 stress response toward cell cycle arrest rather than apoptosis through the regulation of FAS and 14-3-3sigma mRNA levels. PMID: 24469038
- PSF and MATR3 are cellular host factors that bind viral RNA and promote Rev activity. PMID: 23158102
- The data indicated a novel role for Wig1 in RNA-induced silencing complex target accessibility, which is a key step in RNA-mediated gene silencing. Fine tuning of p21 levels by Wig1 was essential for the prevention of cellular senescence. PMID: 23085987
- Wig-1 knockdown causes a dramatic inhibition of N-Myc expression and triggers differentiation in neuroblastoma cells carrying amplified N-Myc. PMID: 22513872
- WIG-1 might be involved in the zinc-induced cell cycle arrest and apoptosis of human esophageal squamous cell carcinoma cells PMID: 21559779
- WIG-1 might be a novel modifier in esophageal carcinogenesis, and the WIG-1 MAb should be useful in further study of the mechanism in WIG-1-related physiological reactions. PMID: 21050045
- The cellular distribution of the nuclear matrix protein matrin 3 is altered by novel phosphorylation induced by the alphaherpesvirus US3 kinase family. PMID: 20962082
- Results demonstrate that human Wig-1 can bind different types of double-stranded RNAs (dsRNAs), including dsRNAs resembling small interfering RNAs and microRNAs, and indicate that dsRNA binding has a role in Wig-1-mediated regulation of cell growth. PMID: 16844115
- Wig-1-binding proteins, hnRNP A2/B1 and RNA Helicase A, both of which are involved in RNA processing, were identified. PMID: 18519039
- Data demonstrated a direct interaction between Dicer and Wig-1 and both may play a common role in dsRNA-related gene regulation. PMID: 19127773
- the p53 target Wig-1 is a previously undescribed AU-rich element-regulating protein that acts as a positive feedback regulator of p53, with implications both for the steady-state levels of p53 and for the p53 stress response PMID: 19805223
顯示更多
收起更多
-
亞細胞定位:Nucleus. Nucleus, nucleolus.
-
組織特異性:Highly expressed in adult brain, and moderately in adult kidney and testis. Not detected in fetal brain, heart, pancreas, adrenal gland, liver or small intestine.
-
數據庫鏈接:
Most popular with customers
-
-
YWHAB Recombinant Monoclonal Antibody
Applications: ELISA, WB, IHC, IF, FC
Species Reactivity: Human, Mouse, Rat
-
Phospho-YAP1 (S127) Recombinant Monoclonal Antibody
Applications: ELISA, WB, IHC
Species Reactivity: Human
-
-
-
-
-















