ZDHHC4 Antibody
-
中文名稱:ZDHHC4兔多克隆抗體
-
貨號:CSB-PA873612LA01HU
-
規格:¥440
-
圖片:
-
Western Blot
Positive WB detected in: Hela whole cell lysate(30μg), HepG2 whole cell lysate(30μg), SY5Y whole cell lysate(30μg), MCF7 whole cell lysate(30μg), HT29 whole cell lysate(30μg),Mouse Liver tissue lysate(30μg),Rat Lung tissue lysate(30μg)
All lanes: ZDHHC4 antibody at 1:1000
Secondary
Goat polyclonal to rabbit IgG at 1/20000 dilution
Predicted band size: 40 kDa
Observed band size: 40 kDa
Exposure time: 120s -
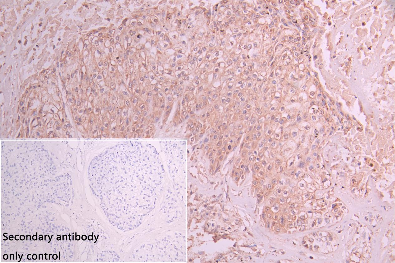
IHC image of CSB-PA873612LA01HU diluted at 1:50 and staining in paraffin-embedded human pancreatic tissue performed on a Leica BondTM system. After dewaxing and hydration, antigen retrieval was mediated by high pressure in a citrate buffer (pH 6.0). Section was blocked with 10% normal goat serum 30min at RT. Then primary antibody (1% BSA) was incubated at 4°C overnight. The primary is detected by a Goat anti-rabbit polymer IgG labeled by HRP and visualized using 0.05% DAB. Secondary antibody only control: uses 1% BSA instead of primary antibody
-
-
其他:
產品詳情
-
產品名稱:Rabbit anti-Homo sapiens (Human) ZDHHC4 Polyclonal antibody
-
Uniprot No.:
-
基因名:ZDHHC4
-
別名:1810021D01Rik antibody; 2900029I10Rik antibody; DC1 antibody; DHHC 4 antibody; DHHC-4 antibody; FLJ10479 antibody; MGC108810 antibody; OTTHUMP00000025197 antibody; OTTHUMP00000115925 antibody; OTTHUMP00000115926 antibody; OTTMUSP00000026321 antibody; OTTMUSP00000026322 antibody; Probable palmitoyltransferase ZDHHC4 antibody; ZDHC4_HUMAN antibody; ZDHHC4 antibody; Zinc finger DHHC domain containing protein 4 antibody; Zinc finger DHHC domain-containing protein 4 antibody; Zinc finger protein 374 antibody; ZNF374 antibody
-
宿主:Rabbit
-
反應種屬:Human, Mouse, Rat
-
免疫原:Recombinant Human Probable palmitoyltransferase ZDHHC4 protein (277-344AA)
-
免疫原種屬:Homo sapiens (Human)
-
標記方式:Non-conjugated
本頁面中的產品,ZDHHC4 Antibody (CSB-PA873612LA01HU),的標記方式是Non-conjugated。對于ZDHHC4 Antibody,我們還提供其他標記。見下表:
-
克隆類型:Polyclonal
-
抗體亞型:IgG
-
純化方式:Antigen Affinity Purified
-
濃度:It differs from different batches. Please contact us to confirm it.
-
保存緩沖液:Preservative: 0.03% Proclin 300
Constituents: 50% Glycerol, 0.01M PBS, PH 7.4 -
產品提供形式:Liquid
-
應用范圍:ELISA, WB, IHC
-
推薦稀釋比:
Application Recommended Dilution WB 1:500-1:3000 IHC 1:20-1:200 -
Protocols:
-
儲存條件:Upon receipt, store at -20°C or -80°C. Avoid repeated freeze.
-
貨期:Basically, we can dispatch the products out in 1-3 working days after receiving your orders. Delivery time maybe differs from different purchasing way or location, please kindly consult your local distributors for specific delivery time.
-
用途:For Research Use Only. Not for use in diagnostic or therapeutic procedures.
相關產品
靶點詳情
-
功能:Palmitoyltransferase that could catalyze the addition of palmitate onto protein substrates including the D(2) dopamine receptor DRD2.
-
亞細胞定位:Endoplasmic reticulum membrane; Multi-pass membrane protein. Golgi apparatus membrane; Multi-pass membrane protein. Cell membrane; Multi-pass membrane protein.
-
蛋白家族:DHHC palmitoyltransferase family
-
數據庫鏈接:
Most popular with customers
-
-
YWHAB Recombinant Monoclonal Antibody
Applications: ELISA, WB, IHC, IF, FC
Species Reactivity: Human, Mouse, Rat
-
Phospho-YAP1 (S127) Recombinant Monoclonal Antibody
Applications: ELISA, WB, IHC
Species Reactivity: Human
-
-
-
-
-















