YWHAG Antibody
-
中文名稱:YWHAG兔多克隆抗體
-
貨號:CSB-PA589658
-
規格:¥1100
-
圖片:
-
The image on the left is immunohistochemistry of paraffin-embedded Human brain tissue using CSB-PA589658(YWHAG Antibody) at dilution 1/100, on the right is treated with synthetic peptide. (Original magnification: ×200)
-
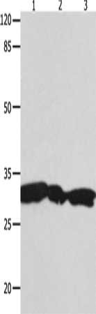
Gel: 10%SDS-PAGE, Lysate: 40 μg, Lane 1-3: Hela cells, 293T cells, Jurkat cells, Primary antibody: CSB-PA589658(YWHAG Antibody) at dilution 1/1800, Secondary antibody: Goat anti rabbit IgG at 1/8000 dilution, Exposure time: 10 seconds
-
-
其他:
產品詳情
-
Uniprot No.:
-
基因名:
-
別名:14 3 3 gamma antibody; 14 3 3 protein gamma antibody; 14 3 3 protein gamma subtype antibody; 14 3 3gamma antibody; 14-3-3 protein gamma antibody; 1433G_HUMAN antibody; 3 monooxygenase/tryptophan 5 monooxgenase activation protein gamma polypeptide antibody; KCIP 1 antibody; KCIP-1 antibody; KCIP1 antibody; N-terminally processed antibody; Protein kinase C inhibitor protein 1 antibody; Tyrosine 3 monooxygenase/tryptophan 5 monooxygenase activation protein gamma polypeptide antibody; Ywhag antibody
-
宿主:Rabbit
-
反應種屬:Human,Mouse,Rat
-
免疫原:Synthetic peptide of Human YWHAG
-
免疫原種屬:Homo sapiens (Human)
-
標記方式:Non-conjugated
-
抗體亞型:IgG
-
純化方式:Antigen affinity purification
-
濃度:It differs from different batches. Please contact us to confirm it.
-
保存緩沖液:-20°C, pH7.4 PBS, 0.05% NaN3, 40% Glycerol
-
產品提供形式:Liquid
-
應用范圍:ELISA,WB,IHC
-
推薦稀釋比:
Application Recommended Dilution ELISA 1:2000-1:10000 WB 1:1000-1:5000 IHC 1:50-1:200 -
Protocols:
-
儲存條件:Upon receipt, store at -20°C or -80°C. Avoid repeated freeze.
-
貨期:Basically, we can dispatch the products out in 1-3 working days after receiving your orders. Delivery time maybe differs from different purchasing way or location, please kindly consult your local distributors for specific delivery time.
-
用途:For Research Use Only. Not for use in diagnostic or therapeutic procedures.
相關產品
靶點詳情
-
功能:Adapter protein implicated in the regulation of a large spectrum of both general and specialized signaling pathways. Binds to a large number of partners, usually by recognition of a phosphoserine or phosphothreonine motif. Binding generally results in the modulation of the activity of the binding partner.
-
基因功能參考文獻:
- 14-3-3gamma protein directly interacts with the kinase domain of CaMKK2 and the region containing the inhibitory phosphorylation site Thr(145) within the N-terminal extension. CaMKK isoforms differ in their 14-3-3-mediated regulations and the interaction between 14-3-3 protein and the N-terminal 14-3-3-binding motif of CaMKK2 might be stabilized by small-molecule compounds. PMID: 29649512
- Findings indicate the roles and molecular mechanisms of 14-3-3GAMMA protein (14-3-3gamma) in epithelial-mesenchymal transition (EMT), migration, and neoplasm invasion. PMID: 29848704
- Study demonstrated a mechanism by which 14-3-3gamma restricts centrosome duplication to once per cell cycle, by inhibiting cdc25C and cdk1 activation resulting in decrease phosphorylation of T199 in NPM1. Also, loss of 14-3-3gamma causes centrosome over-duplication, centrosome clustering and tumor formation in mice. PMID: 27253419
- Study identified 14-3-3gamma as a binding partner for segment a of ANO1 and enhanced the surface expression of ANO1. In addition, its gene silencing of 14-3-3gamma inhibited migration and invasion of these glioblastoma cell lines. PMID: 27212225
- These results suggest that a major role of 14-3-3gamma in desmosome assembly is to transport PG to the cell border leading to the initiation of desmosome formation. PMID: 29253567
- hypermethylation of the 14-3-3 gene promoter accounts for the decreased 14-3-3 gamma in uterine leiomyomas and that such a low level of expression may be involved in the pathogenesis of leiomyomas PMID: 27100507
- MiR-217 directly targeted 3'UTR of YWHAG and suppressed the expression of YWHAG. PMID: 28126486
- Data indicate angiopoietin-like 4 (ANGPTL4) as a key player that coordinates an increase in cellular energy flux crucial for EMT via an ANGPTL4/14-3-3gamma signaling axis. PMID: 28745316
- 14-3-3gamma regulates the differentiation ability of CPNE1 through the binding with C2A domain of CPNE1 in HiB5 cells. PMID: 28412242
- YWHAG de novo mutations cause early onset epilepsy, including epileptic encephalopathies and intellectual disability. PMID: 28777935
- Study found that the overexpression of 14-3-3gamma in utero in the developing mouse cortex results in delays in pyramidal neuron migration. PMID: 27288018
- The present study revealed the tumor suppressive role of miR-509-5p in non-small cell lung cancer (NSCLC) by targeting YWHAG, suggesting that miR-509-5p/YWHAG axis might be considered as a novel and potential target for clinical diagnosis and therapeutics of NSCLC. PMID: 27894843
- 14-3-3 protein expression was quantitatively analyzed in cerebrospinal fluid of 231 sporadic Creutzfeldt-Jakob disease and 2035 control patients. PMID: 25947081
- Data suggest that miR-181b-3p functions as a metastasis activator by promoting Snail-induced epithelial-mesenchymal transition in breast cancer cells by directly targeting YWHAG. PMID: 27102539
- Loss of p53 function may result in upregulation of 14-3-3gamma in lung cancers PMID: 25384678
- Changes for CRMP2, TCP1epsilon, TPM2 and 14-3-3gamma were confirmed in experimental tumors and in a series of 28 human SI-NETs. PMID: 25224486
- These results showed that the cell surface expression of TRPM4 channels is mediated by 14-3-3gamma binding. PMID: 25047048
- Proteomics analysis show that Ser40 of TH protein does not significantly contribute to the binding of 14-3-3gamma, and rather has reduced accessibility in the TH:14-3-3gamma complex. PMID: 24947669
- physiological changes in phosphate anions concentration can modulate affinity and specificity of interaction of 14-3-3 with its multiple targets and therefore the actual phosphointeractome of 14-3-3. PMID: 23977325
- High 14-3-3gamma expression was seen in 59.5% of non-small cell lung cancers. PMID: 24870749
- miR-141/YWHAG and miR-520e/RAB11A are two potential miRNA/protein target pairs associated with severe obesity. PMID: 22537031
- The normalisation capability of 14-3-3 gamma was superior to traditional LC in quantifying Western blot signals of the platelet AD-biomarker Monoamine Oxidase B of patient versus controls. PMID: 24284060
- 14-3-3gamma was induced in B cells by T-dependent and T-independent primary CSR-inducing stimuli in vitro. PMID: 23851690
- The region surrounding pSer19 of Tyrosine hydroxylase adopts an extended conformation in the 14-3-3gamma-bound state, whereas adopts a bent conformation when free in solution. PMID: 24055376
- Mitotic Plk1 activity is regulated not only by Plk1-Thr210 phosphorylation, but also by Plk1 binding to 14-3-3gamma following Plk1-Ser99 phosphorylation downstream of the PI3K-Akt signalling pathway. PMID: 23695676
- high 14-3-3gamma expression is associated with poor survival in NPC patients. Thus, this study has identified that the 14-3-3gamma involves in the carcinogenesis of NPC. PMID: 23500129
- Increased expression of 14-3-3gamma in breast cancer is associated significantly with tumor progression and poor prognosis. PMID: 22658894
- The peripheral binding of 14-3-3gamma to membranes involves isoform-specific histidine residues. PMID: 23189152
- Using individual amino acid substitutions within the 14-3-3gamma VRII, we identified two residues required for and two contributing to the gamma-specific phenotypes. PMID: 23115241
- 14-3-3gamma protein binds strongly to long DNA targets and shows very strong preference for supercoiled DNA. PMID: 22856523
- hypoxia can activate p53 through inactivation of MDMX by the ATR-Chk1-MDMX-14-3-3gamma pathway. PMID: 22556425
- description of a protein complex that mediates carrier formation and contains budding and fission molecules, as well as other molecules, such as the adaptor protein 14-3-3gamma PMID: 22366688
- Increased expression of 14-3-3 gamma in lung cancer coincides with loss of functional p53. PMID: 21867493
- results support that membrane binding involves the non-conserved, convex area of 14-3-3gamma, and that Trp residues do not intercalate in the bilayer. PMID: 21420405
- a new role for 14-3-3gamma in protecting p21 from MDMX-mediated proteasomal turnover, which may partially account for DNA damage-induced elevation of p21 levels independent of p53. PMID: 21148311
- data do not exclude the possibility that YWHAG loss of function is also sufficient to cause neurological phenotypes PMID: 21109226
- Elevated expression of 14-3-3gamma in human hepatocellular carcinoma predicts extrahepatic metastasis and worse survival PMID: 20870266
- 14-3-3 protein gamma forms a complex with Checkpoint kinase 1 phosphorylated at Ser296, but not at ATR sites (Ser317 and Ser345). PMID: 20639859
- Abundant level of the phosphorylated FOXO1, its impaired nucleocytoplasmic shuttling, and the lowered expression of 14-3-3 protein in leiomyoma induces a shift in the cellular machinery toward a prosurvival execution program. PMID: 19772960
- 14-3-3 eta, beta, gamma and sigma isoforms were negatively expressed in meningioma. PMID: 20388496
- Zebrafish gene knockdowns imply roles for human YWHAG in infantile spasms and cardiomegaly. PMID: 20146355
- Aberrant expression of signaling-related proteins 14-3-3 gamma and RACK1 in fetal Down syndrome brain (trisomy 21). PMID: 11824616
- 14-3-3 suppresses importin alpha/beta-dependent nuclear localization of Thr157-phosphorylated p27, suggesting implications for cell cycle disorder in Akt-activated cancer cells. PMID: 15057270
- multiple interactions of AICD with FE65 and 14-3-3gamma modulate FE65-dependent gene transactivation PMID: 16223726
- Interaction of human 14-3-3gamma with the small heat shock protein Hsp20 was analyzed by means of size-exclusion chromatography and chemical crosslinking. PMID: 17109079
- Both single marker and haplotype analyses were negative for the Ywhag gene association with smoking initiation and nicotine dependence. PMID: 17284169
- our data indicate that 14-3-3gamma may contribute to tumorigenesis by promoting genomic instability. PMID: 17394238
- Detection of only 2 (14-3-3 eta and gamma) out of 7 different isoforms in synovial fluid suggests they are specific to the site of joint inflammation PMID: 17611984
- Report reduced expression of 14-3-3 gamma in uterine leiomyoma as identified by proteomics. PMID: 18054924
- human 14-3-3gamma binds to the ERK1/2 molecular scaffold KSR1, which is mediated by the C-terminal stretch of 14-3-3gamma PMID: 18426801
顯示更多
收起更多
-
亞細胞定位:Cytoplasm.
-
蛋白家族:14-3-3 family
-
組織特異性:Highly expressed in brain, skeletal muscle, and heart.
-
數據庫鏈接:
Most popular with customers
-
-
YWHAB Recombinant Monoclonal Antibody
Applications: ELISA, WB, IHC, IF, FC
Species Reactivity: Human, Mouse, Rat
-
Phospho-YAP1 (S127) Recombinant Monoclonal Antibody
Applications: ELISA, WB, IHC
Species Reactivity: Human
-
-
-
-
-















