-
中文名稱:YARS2兔多克隆抗體
-
貨號:CSB-PA903762
-
規格:¥1100
-
圖片:
-
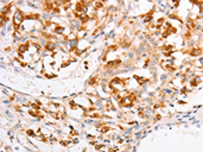
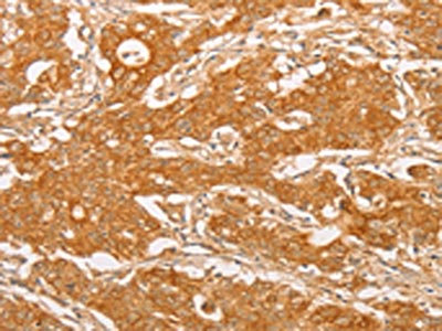
The image on the left is immunohistochemistry of paraffin-embedded Human gastic cancer tissue using CSB-PA903762(YARS2 Antibody) at dilution 1/20, on the right is treated with fusion protein. (Original magnification: ×200)
-
The image on the left is immunohistochemistry of paraffin-embedded Human thyroid cancer tissue using CSB-PA903762(YARS2 Antibody) at dilution 1/20, on the right is treated with fusion protein. (Original magnification: ×200)
-
Gel: 6%SDS-PAGE, Lysate: 40 μg, Lane 1-5: NIH/3T3 cells, A172 cells, HepG2 cells, K562 cells, Hela cells, Primary antibody: CSB-PA903762(YARS2 Antibody) at dilution 1/250, Secondary antibody: Goat anti rabbit IgG at 1/8000 dilution, Exposure time: 30 seconds
-
-
其他:
產品詳情
-
Uniprot No.:
-
基因名:YARS2
-
別名:CGI 04 antibody; FLJ13995 antibody; mitochondrial antibody; MLASA2 antibody; mt TyrRS antibody; SYYM_HUMAN antibody; Tyrosine tRNA ligase 2 mitochondrial antibody; Tyrosine tRNA ligase antibody; Tyrosine tRNA ligase mitochondrial antibody; Tyrosine--tRNA ligase antibody; Tyrosyl tRNA synthetase 2 mitochondrial antibody; Tyrosyl tRNA synthetase mitochondrial precursor antibody; Tyrosyl-tRNA synthetase antibody; TyrRS antibody; YARS 2 antibody; YARS2 antibody
-
宿主:Rabbit
-
反應種屬:Human,Mouse,Rat
-
免疫原:Fusion protein of Human YARS2
-
免疫原種屬:Homo sapiens (Human)
-
標記方式:Non-conjugated
-
抗體亞型:IgG
-
純化方式:Antigen affinity purification
-
濃度:It differs from different batches. Please contact us to confirm it.
-
保存緩沖液:-20°C, pH7.4 PBS, 0.05% NaN3, 40% Glycerol
-
產品提供形式:Liquid
-
應用范圍:ELISA,WB,IHC
-
推薦稀釋比:
Application Recommended Dilution ELISA 1:2000-1:5000 WB 1:500-1:2000 IHC 1:25-1:100 -
Protocols:
-
儲存條件:Upon receipt, store at -20°C or -80°C. Avoid repeated freeze.
-
貨期:Basically, we can dispatch the products out in 1-3 working days after receiving your orders. Delivery time maybe differs from different purchasing way or location, please kindly consult your local distributors for specific delivery time.
-
用途:For Research Use Only. Not for use in diagnostic or therapeutic procedures.
引用文獻
相關產品
靶點詳情
-
功能:Catalyzes the attachment of tyrosine to tRNA(Tyr) in a two-step reaction: tyrosine is first activated by ATP to form Tyr-AMP and then transferred to the acceptor end of tRNA(Tyr).
-
基因功能參考文獻:
- The p.Leu392Ser variant is likely a newly identified founder YARS2 mutation in mitochondrial myopathy. PMID: 28395030
- The mutation in YARS2 gene is a nuclear modifier for the phenotypic manifestation of Leber's hereditary optic neuropathy-associated mitochondrial DNA mutation. PMID: 26647310
- Data identified novel YARS2 mutations and noted marked phenotypic variability among YARS2 MLASA patients, with phenotypes ranging from mild to lethal, suggesting that the background mtDNA haplotype may be contributing to the phenotypic variability. PMID: 24344687
- The study confirms mutations in YARS2 as a cause of MLASA and shows that, like some of the cytoplasmic ARSs, mitochondrial ARSs occur in high-molecular-weight complexes. PMID: 22504945
- first example of a TyrRS lacking specificity toward N1-N72 and thus of a TyrRS disobeying the identity rules PMID: 15840810
- The YARS2 mutation reported here is an alternative cause of MLASA. PMID: 20598274
- The gene for mitochondrial tyrosyl-tRNA synthetase is described and the initial characterization of the enzyme is reported. Genes for the remaining missing synthetases have also been found with the exception of human glutaminyl-tRNA synthetase. PMID: 15779907
- the structure of a strictly mitochondrial human synthetase, namely tyrosyl-tRNA synthetase (mt-TyrRS), in complex with an adenylate analog at 2.2 A resolution PMID: 17997975
- the apparent occurrence of an unusual TG 3' splice site in intron 5 is discussed PMID: 17672918
顯示更多
收起更多
-
相關疾病:Myopathy with lactic acidosis and sideroblastic anemia 2 (MLASA2)
-
亞細胞定位:Mitochondrion matrix.
-
蛋白家族:Class-I aminoacyl-tRNA synthetase family
-
數據庫鏈接:
Most popular with customers
-
-
Phospho-YAP1 (S127) Recombinant Monoclonal Antibody
Applications: ELISA, WB, IHC
Species Reactivity: Human
-
-
-
-
-
-















