YAP1 Antibody
-
中文名稱:YAP1兔多克隆抗體
-
貨號:CSB-PA026244LA01HU
-
規格:¥440
-
圖片:
-
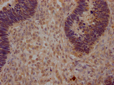
IHC image of CSB-PA026244LA01HU diluted at 1:200 and staining in paraffin-embedded human ovarian cancer performed on a Leica BondTM system. After dewaxing and hydration, antigen retrieval was mediated by high pressure in a citrate buffer (pH 6.0). Section was blocked with 10% normal goat serum 30min at RT. Then primary antibody (1% BSA) was incubated at 4°C overnight. The primary is detected by a Goat anti-rabbit polymer IgG labeled by HRP and visualized using 0.05% DAB.
-
Immunofluorescence staining of HepG2 cells with CSB-PA026244LA01HU at 1:100, counter-stained with DAPI. The cells were fixed in 4% formaldehyde and blocked in 10% normal Goat Serum. The cells were then incubated with the antibody overnight at 4°C. The secondary antibody was Alexa Fluor 488-congugated AffiniPure Goat Anti-Rabbit IgG(H+L).
-
-
其他:
產品詳情
-
產品名稱:Rabbit anti-Homo sapiens (Human) YAP1 Polyclonal antibody
-
Uniprot No.:
-
基因名:
-
別名:65 kDa Yes associated protein antibody; 65 kDa Yes-associated protein antibody; COB1 antibody; YAp 1 antibody; YAP 65 antibody; YAP antibody; YAP-1 antibody; YAP1 antibody; YAP1_HUMAN antibody; YAP2 antibody; YAP65 antibody; yes -associated protein delta antibody; Yes associated protein 1 65kDa antibody; Yes associated protein 1 antibody; Yes associated protein 2 antibody; yes associated protein beta antibody; YKI antibody; Yorkie homolog antibody
-
宿主:Rabbit
-
反應種屬:Human
-
免疫原:Recombinant Human Transcriptional coactivator YAP1 protein (155-504AA)
-
免疫原種屬:Homo sapiens (Human)
-
標記方式:Non-conjugated
本頁面中的產品,YAP1 Antibody (CSB-PA026244LA01HU),的標記方式是Non-conjugated。對于YAP1 Antibody,我們還提供其他標記。見下表:
-
克隆類型:Polyclonal
-
抗體亞型:IgG
-
純化方式:>95%, Protein G purified
-
濃度:It differs from different batches. Please contact us to confirm it.
-
保存緩沖液:Preservative: 0.03% Proclin 300
Constituents: 50% Glycerol, 0.01M PBS, PH 7.4 -
產品提供形式:Liquid
-
應用范圍:ELISA, IHC, IF
-
推薦稀釋比:
Application Recommended Dilution IHC 1:200-1:500 IF 1:100-1:500 -
Protocols:
-
儲存條件:Upon receipt, store at -20°C or -80°C. Avoid repeated freeze.
-
貨期:Basically, we can dispatch the products out in 1-3 working days after receiving your orders. Delivery time maybe differs from different purchasing way or location, please kindly consult your local distributors for specific delivery time.
-
用途:For Research Use Only. Not for use in diagnostic or therapeutic procedures.
相關產品
靶點詳情
-
功能:Transcriptional regulator which can act both as a coactivator and a corepressor and is the critical downstream regulatory target in the Hippo signaling pathway that plays a pivotal role in organ size control and tumor suppression by restricting proliferation and promoting apoptosis. The core of this pathway is composed of a kinase cascade wherein STK3/MST2 and STK4/MST1, in complex with its regulatory protein SAV1, phosphorylates and activates LATS1/2 in complex with its regulatory protein MOB1, which in turn phosphorylates and inactivates YAP1 oncoprotein and WWTR1/TAZ. Plays a key role in tissue tension and 3D tissue shape by regulating cortical actomyosin network formation. Acts via ARHGAP18, a Rho GTPase activating protein that suppresses F-actin polymerization. Plays a key role in controlling cell proliferation in response to cell contact. Phosphorylation of YAP1 by LATS1/2 inhibits its translocation into the nucleus to regulate cellular genes important for cell proliferation, cell death, and cell migration. The presence of TEAD transcription factors are required for it to stimulate gene expression, cell growth, anchorage-independent growth, and epithelial mesenchymal transition (EMT) induction. Suppresses ciliogenesis via acting as a transcriptional corepressor of the TEAD4 target genes AURKA and PLK1. In conjunction with WWTR1, involved in the regulation of TGFB1-dependent SMAD2 and SMAD3 nuclear accumulation.; Activates the C-terminal fragment (CTF) of ERBB4 (isoform 3).; Activates the C-terminal fragment (CTF) of ERBB4 (isoform 3).
-
基因功能參考文獻:
- Studies indicate that the transcriptional co-activators YAP and TAZ recently emerged as key mediators of the biological effects that are observed in response to extracellular matrix (ECM) elasticity and cell shape. PMID: 22895435
- loss of p53 or LKB1 relieves DVL-linked reciprocal inhibition between the Wnt and nuclear YAP activity PMID: 29895829
- that lncRNA B4GALT1-AS1 promotes OS cells stemness and migration via recruiting HuR to enhance YAP activity PMID: 30182452
- The miR-590-5p/YAP axis may be an important novel mechanism in the pathogenesis of CD and colorectal cancer. PMID: 29912317
- The observed decrease in total YAP levels in endothelial cells exposed to pulsatile flow is due to degradation via a proteasome-independent mechanism. PMID: 29758328
- disruption of TAZ/YAP activity alleviates tumor burden in Lats1/2-deficient mice and inhibits human malignant peripheral nerve sheath tumors cell proliferation PMID: 29438698
- Molecular mechanisms of YAP protein in the lung physiological conditions and lung diseases.[review] PMID: 30385178
- Report that YAP is subject to non-proteolytic, K63-linked polyubiquitination by the SCF(SKP2) E3 ligase complex (SKP2), which is reversed by the deubiquitinase OTUD1. The non-proteolytic ubiquitination of YAP enhances its interaction with its nuclear binding partner TEAD, thereby inducing YAP's nuclear localization, transcriptional activity, and growth-promoting function. PMID: 29891922
- Dual governing of YAP and COX-2 may lead to the discovery of promising therapeutic strategies for HCC patients. PMID: 29505957
- YAP messenger RNA (mRNA) and protein expression levels were less in preeclamptic placentas. Yes-associated protein enhanced cell invasion, reduced the cellular apoptotic response, and had no effect on proliferation. PMID: 29303055
- Study indicated that lncRNAATB functions as a ceRNA to promote MM proliferation and invasion by enhancing Yes associated protein 1 expression by competitively sponging microRNA miR5905p. PMID: 29956757
- O-GlcNAcylation of YAP was required for high-glucose-induced liver tumorigenesis. PMID: 28474680
- These results unveil a novel mechanism of YAP activation in cancer and open the possibility to target GR to prevent cancer stem cells self-renewal and chemoresistance. PMID: 28102225
- High YAP1 expression is associated with the pathogenesis of gastric cancer. PMID: 30066917
- YAP1 as a fluid mechanosensor that functions to regulate genes that promote metastasis. PMID: 28098159
- These observations revealed the importance of YAP in promoting TKI-resistance and combined YAP inhibition can be a potential therapy delaying the occurrence of TKI-resistance in lung adenocarcinoma. PMID: 29321482
- High Yap expression is associated with resistance to EGFR inhibitors in colorectal cancer. PMID: 30106444
- High YAP1 expression is associated with malignant melanoma. PMID: 30106445
- Data (including data from studies in knockout mice) suggest that KIBRA plays important role in regulating HPO activity, YAP signaling, and actin cytoskeletal dynamics in podocytes; expression of KIBRA and YAP plus phosphorylation of YAP are up-regulated in glomeruli of patients with focal segmental glomerulosclerosis. (KIBRA = kidney/brain protein-KIBRA; HPO = hepatopoietin protein; YAP = Yes associated protein-1) PMID: 28982981
- YAP/TAZ mechanotransduction integrates with cell-cell communication pathways for fine-grained orchestration of stem cell decisions. PMID: 28513598
- YAP1 regulates the SOX2 expression in urothelial carcinoma of the bladder.COX2 and YAP1 signaling pathways are connected with each other to induce SOX2 expression, cancer stem cell enrichment, and acquired resistance to chemotherapy in urothelial carcinoma of the bladder. PMID: 29180467
- our study showed for the first time that MLK7-AS1 interacted with miR-375 to promote proliferation, metastasis, and EMT process in ovarian cancer cells through upregulating YAP1. PMID: 30249278
- Loss of DLG5 expression promoted breast cancer progression by inactivating the Hippo signaling pathway and increasing nuclear YAP. PMID: 28169360
- YAP enhances gastric cancer cell proliferation. PMID: 30021363
- miR-205 targets YAP1 and inhibits proliferation and invasion of thyroid cancer cells. PMID: 29845281
- FAK controls the nuclear translocation and activation of YAP in response to mechanical activation and submit that the YAP-dependent process of durotaxis requires a cell with an asymmetric distribution of active and inactive FAK molecules. PMID: 29070586
- the tumor promoting role of YAP is involved in SHP2 which functions as a tumor promoter in vitro but as a tumor suppressor in vivo PMID: 29699904
- The combined treatment significantly sensitized the A549/DDP cells to DDPinduced growth inhibition by reducing YAP promoter activity. PMID: 29901163
- These results reveal a novel positive feedback loop involving CD44S and YAP1, in which CD44S functions as both an upstream regulator and a downstream effector of YAP1 in hepatocellular carcinoma. PMID: 29649630
- hypoxic stress in the hepatocellular carcinoma (HCC)cells promoted YAP binding to HIF-1a in the nucleus and sustained HIF-1a protein stability to bind to PKM2 gene and directly activates PKM2 transcription to accelerate glycolysis PMID: 30180863
- PTEN lipid phosphatase inactivation abolished the MOB1-LATS1/2 interaction, decreased YAP phosphorylation and finally promoted YAP nuclear translocation, which enhanced the synergistic effect of YAP-TEAD, thus inducing cell proliferation and migration. PMID: 30134988
- Up-regulation of COPB2 inhibited cell apoptosis and promoted cell growth and tumorigenesis through up-regulating YAP1 expression in lung adenocarcinoma. PMID: 29674272
- In the present review, we focus on the functions of YAP/TAZ in cancer, discuss their potential as new therapeutic target for tumor treatment, and provide valuable suggestions for further study in this field. PMID: 29749524
- HuR acts as a tumor promoter by enhancing YAP expression in osteosarcoma cells. PMID: 29597092
- These results indicate a negative link between miR-622 and YAP1 and further confirm that YAP1 is a direct target of miR-622, suggesting that miR-622 could be a new important therapeutic strategy for gliomas treatment. PMID: 28796324
- YAP1 and LATS1 can be considered as new prognostic factors in clear cell renal cell carcinoma. PMID: 29850494
- Yap1 expression in aggressive thyroid cancer. PMID: 28120182
- These results suggested that silibinin induced glioblastoma cell apoptosis concomitant with autophagy which might be due to simultaneous inhibition of mTOR and YAP and silibinin induced autophagy exerted a protective role against cell apoptosis in both A172 and SR cells. PMID: 29780826
- these observations suggest that Zyxin promotes colon cancer tumorigenesis in a mitotic-phosphorylation-dependent manner and through CDK8-mediated YAP activation. PMID: 29967145
- we discover that Verteporfin (VP) inhibits YAP-induced bladder cancer cell growth and invasion via repressing the target genes' expression of Hippo signaling pathway. PMID: 29725256
- Myeloid Zinc Finger 1 and GA Binding Protein Co-Operate with Sox2 in Regulating the Expression of Yes-Associated Protein 1 in Cancer Cells PMID: 28905448
- lncBRM and YAP1 signalling may serve as biomarkers for diagnosis and potential drug targets for hepatocellular carcinoma. PMID: 27905400
- lncARSR interacts with Yes-associated protein (YAP) to block its phosphorylation by LATS1, facilitating YAP nuclear translocation. PMID: 27886176
- YAP contributes to glioma cell migration and invasion by regulating N-cadherin and Twist, as well as cytoskeletal reorganization. PMID: 29306996
- LIFR attenuates tumor metastasis by suppressing YAP expression, suggesting that LIFR may serve as a potential target for clear cell renal cell carcinoma treatment. PMID: 29902078
- Serine/threonine-protein kinase proteins, also known as P21-activated kinase (PAK), and the mechanosensitive factor, Yes-associated protein 1 (YAP-1) are core mediators of pro-fibrotic integrin beta-1 signaling. PMID: 27535340
- The gene transcription and protein expression of YAP may be involved in the development of prostate cancer and may be considered a potential target for the treatment of such cancers. PMID: 29286134
- Upregulated miR-200a enhances treatment resistance via antagonizing TP53INP1 and YAP1 in breast cancer. PMID: 29329575
- Bioinformatics analysis and luciferase reporter assays indicated that miR625 targeted the 3'untranslated region of Yesassociated protein 1 (YAP1). PMID: 29257207
- functional evaluation of a HTM cell monolayer using a permeability assay demonstrated that the inhibition of YAP and TAZ attenuated the DEX-induced impairment of permeability. These findings suggest that YAP and TAZ play pivotal roles in the DEX-induced cytoskeletal changes of HTM cells, and reveal novel potential mechanisms for the development and progression of glaucoma PMID: 29115373
顯示更多
收起更多
-
相關疾病:Coloboma, ocular, with or without hearing impairment, cleft lip/palate, and/or mental retardation (COB1)
-
亞細胞定位:Cytoplasm. Nucleus.
-
蛋白家族:YAP1 family
-
組織特異性:Increased expression seen in some liver and prostate cancers. Isoforms lacking the transactivation domain found in striatal neurons of patients with Huntington disease (at protein level).
-
數據庫鏈接:
Most popular with customers
-
-
YWHAB Recombinant Monoclonal Antibody
Applications: ELISA, WB, IHC, IF, FC
Species Reactivity: Human, Mouse, Rat
-
Phospho-YAP1 (S127) Recombinant Monoclonal Antibody
Applications: ELISA, WB, IHC
Species Reactivity: Human
-
-
-
-
-















