XRRA1 Antibody
-
中文名稱:XRRA1兔多克隆抗體
-
貨號:CSB-PA747397LA01HU
-
規格:¥440
-
圖片:
-
Western blot
All lanes: XRRA1 antibody at 6µg/ml
Lane 1: HepG2 whole cell lysate
Lane 2: Mouse kidney tissue
Lane 3: HL60 whole cell lysate
Lane 4: U251 whole cell lysate
Secondary
Goat polyclonal to rabbit IgG at 1/10000 dilution
Predicted band size: 90, 68, 89, 84, 59 kDa
Observed band size: 90 kDa -
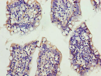
Immunohistochemistry of paraffin-embedded human small intestine tissue using CSB-PA747397LA01HU at dilution of 1:100
-
-
其他:
產品詳情
-
產品名稱:Rabbit anti-Homo sapiens (Human) XRRA1 Polyclonal antibody
-
Uniprot No.:
-
基因名:XRRA1
-
別名:XRRA1 antibody; X-ray radiation resistance-associated protein 1 antibody
-
宿主:Rabbit
-
反應種屬:Human, Mouse
-
免疫原:Recombinant Human X-ray radiation resistance-associated protein 1 protein (101-400AA)
-
免疫原種屬:Homo sapiens (Human)
-
標記方式:Non-conjugated
本頁面中的產品,XRRA1 Antibody (CSB-PA747397LA01HU),的標記方式是Non-conjugated。對于XRRA1 Antibody,我們還提供其他標記。見下表:
-
克隆類型:Polyclonal
-
抗體亞型:IgG
-
純化方式:>95%, Protein G purified
-
濃度:It differs from different batches. Please contact us to confirm it.
-
保存緩沖液:Preservative: 0.03% Proclin 300
Constituents: 50% Glycerol, 0.01M PBS, PH 7.4 -
產品提供形式:Liquid
-
應用范圍:ELISA, WB, IHC
-
推薦稀釋比:
Application Recommended Dilution WB 1:1000-1:5000 IHC 1:20-1:200 -
Protocols:
-
儲存條件:Upon receipt, store at -20°C or -80°C. Avoid repeated freeze.
-
貨期:Basically, we can dispatch the products out in 1-3 working days after receiving your orders. Delivery time maybe differs from different purchasing way or location, please kindly consult your local distributors for specific delivery time.
-
用途:For Research Use Only. Not for use in diagnostic or therapeutic procedures.
相關產品
靶點詳情
-
功能:May be involved in the response of cells to X-ray radiation.
-
基因功能參考文獻:
- our results identify a novel link between XRRA1 and the ATM/CHK1/2 pathway and suggest that XRRA1 is involved in a DNA damage response that drives radio- and chemoresistance by regulating the ATM/CHK1/2 pathway. PMID: 29082250
- Molecular cloning and gene expression patterns of XRRA1. PMID: 12908878
-
亞細胞定位:Cytoplasm. Nucleus.
-
組織特異性:Expressed predominantly in testis followed by prostate and ovary. Low levels found in other tissues including peripheral blood leukocytes, spleen, thymus, small intestine and colon. Also expressed in neuroblastoma, glioma, breast, lung, leukemia, renal, o
-
數據庫鏈接:
Most popular with customers
-
-
YWHAB Recombinant Monoclonal Antibody
Applications: ELISA, WB, IHC, IF, FC
Species Reactivity: Human, Mouse, Rat
-
Phospho-YAP1 (S127) Recombinant Monoclonal Antibody
Applications: ELISA, WB, IHC
Species Reactivity: Human
-
-
-
-
-















