XPO1 Antibody
-
中文名稱:XPO1兔多克隆抗體
-
貨號:CSB-PA026221LA01HU
-
規格:¥440
-
圖片:
-
Western Blot
Positive WB detected in: K562 whole cell lysate, NIH/3T3 whole cell lysate
All lanes: XPO1 antibody at 3μg/ml
Secondary
Goat polyclonal to rabbit IgG at 1/50000 dilution
Predicted band size: 124 kDa
Observed band size: 124 kDa -
IHC image of CSB-PA026221LA01HU diluted at 1:150 and staining in paraffin-embedded human testis tissue performed on a Leica BondTM system. After dewaxing and hydration, antigen retrieval was mediated by high pressure in a citrate buffer (pH 6.0). Section was blocked with 10% normal goat serum 30min at RT. Then primary antibody (1% BSA) was incubated at 4°C overnight. The primary is detected by a biotinylated secondary antibody and visualized using an HRP conjugated SP system.
-
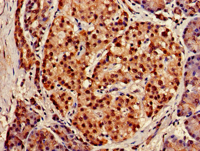
IHC image of CSB-PA026221LA01HU diluted at 1:150 and staining in paraffin-embedded human pancreatic tissue performed on a Leica BondTM system. After dewaxing and hydration, antigen retrieval was mediated by high pressure in a citrate buffer (pH 6.0). Section was blocked with 10% normal goat serum 30min at RT. Then primary antibody (1% BSA) was incubated at 4°C overnight. The primary is detected by a biotinylated secondary antibody and visualized using an HRP conjugated SP system.
-
Immunofluorescent analysis of Hela cells using CSB-PA026221LA01HU at dilution of 1:100 and Alexa Fluor 488-congugated AffiniPure Goat Anti-Rabbit IgG(H+L)
-
-
其他:
產品詳情
-
產品名稱:Rabbit anti-Homo sapiens (Human) XPO1 Polyclonal antibody
-
Uniprot No.:
-
基因名:
-
別名:Chromosome region maintenance 1 protein homolog antibody; CRM 1 antibody; CRM1 homolog antibody; DKFZp686B1823 antibody; emb antibody; Exp 1 antibody; Exp1 antibody; Exportin 1 antibody; Exportin-1 antibody; Exportin1 antibody; XPO 1 antibody; xpo1 antibody; XPO1_HUMAN antibody
-
宿主:Rabbit
-
反應種屬:Human, Mouse
-
免疫原:Recombinant Human Exportin-1 protein (625-845AA)
-
免疫原種屬:Homo sapiens (Human)
-
標記方式:Non-conjugated
本頁面中的產品,XPO1 Antibody (CSB-PA026221LA01HU),的標記方式是Non-conjugated。對于XPO1 Antibody,我們還提供其他標記。見下表:
-
克隆類型:Polyclonal
-
抗體亞型:IgG
-
純化方式:>95%, Protein G purified
-
濃度:It differs from different batches. Please contact us to confirm it.
-
保存緩沖液:Liquid in PBS containing 50% glycerol, 0.5% BSA and 0.02% sodium azide
-
產品提供形式:Liquid
-
應用范圍:ELISA, WB, IHC, IF
-
推薦稀釋比:
Application Recommended Dilution WB 1:500-1:5000 IHC 1:20-1:200 IF 1:50-1:200 -
Protocols:
-
儲存條件:Upon receipt, store at -20°C or -80°C. Avoid repeated freeze.
-
貨期:Basically, we can dispatch the products out in 1-3 working days after receiving your orders. Delivery time maybe differs from different purchasing way or location, please kindly consult your local distributors for specific delivery time.
-
用途:For Research Use Only. Not for use in diagnostic or therapeutic procedures.
相關產品
靶點詳情
-
功能:Mediates the nuclear export of cellular proteins (cargos) bearing a leucine-rich nuclear export signal (NES) and of RNAs. In the nucleus, in association with RANBP3, binds cooperatively to the NES on its target protein and to the GTPase RAN in its active GTP-bound form (Ran-GTP). Docking of this complex to the nuclear pore complex (NPC) is mediated through binding to nucleoporins. Upon transit of a nuclear export complex into the cytoplasm, disassembling of the complex and hydrolysis of Ran-GTP to Ran-GDP (induced by RANBP1 and RANGAP1, respectively) cause release of the cargo from the export receptor. The directionality of nuclear export is thought to be conferred by an asymmetric distribution of the GTP- and GDP-bound forms of Ran between the cytoplasm and nucleus. Involved in U3 snoRNA transport from Cajal bodies to nucleoli. Binds to late precursor U3 snoRNA bearing a TMG cap.; (Microbial infection) Mediates the export of unspliced or incompletely spliced RNAs out of the nucleus from different viruses including HIV-1, HTLV-1 and influenza A. Interacts with, and mediates the nuclear export of HIV-1 Rev and HTLV-1 Rex proteins. Involved in HTLV-1 Rex multimerization.
-
基因功能參考文獻:
- We describe three in vitro reconstituted disassembly intermediates, which show binding of a Crm1 export complex via two FG-repeat patches, cargo-release by RanBP2's Ran-binding domains and retention of free Crm1 at RanBP2 after Ran-GTP hydrolysis. PMID: 27160050
- Nuclear entrapment of p33ING1b by inhibition of exportin-1 triggers apoptosis in head and neck squamous cell cancer cells. PMID: 29729696
- CDK4 and XPO1 are not altered in a rare undifferentiated sarcoma, making them therapeutic targets PMID: 27329820
- The subcellular distributions of IkappaB and NFkappaB are indicative of carcinogenesis. Inhibition of XPO1 results in intranuclear retention of IkappaB, which inhibits NFkappaB and thereby provides a novel mechanism for drug therapy in sarcoma. This effect can be further enhanced in relatively selinexor-resistant sarcoma cell lines by pretreatment with the proteasome inhibitor carfilzomib. PMID: 28314790
- this work advocates for assessing 2p+ and XPO1 mutations before choosing a chronic lymphocytic leukemia therapy. PMID: 28344316
- Importin-beta and CRM1 control a RANBP2 spatiotemporal switch essential for mitotic kinetochore function. PMID: 28600321
- We provide evidence for a regulatory role of CRM1 (chromosome-region-maintenance-1; also known as XPO1, exportin-1) in juxta-nuclear microtubule-dependent adenovirus transport. Leptomycin B (LMB) abolishes nuclear targeting of adenovirus. It binds to CRM1, precludes CRM1-cargo binding and blocks signal-dependent nuclear export. PMID: 28515232
- in leukemia cell lines an XPO1 heterozygous mutation confers similar resistance against selinexor as homozygous substitution, demonstrating that SINE resistance can be obtained by a single and dominant mutation of the cysteine528 residue in XPO1 PMID: 27634897
- XPO1 inhibitor combination therapy with bortezomib or carfilzomib induces nuclear localization of IkappaBalpha and overcomes acquired proteasome inhibitor resistance in human multiple myeloma. PMID: 27806331
- KPT-8602 is highly specific for XPO1 inhibition and demonstrates potent anti-leukemic activity supporting clinical application of the second-generation SINE compound for the treatment of Acute Lymphoblastic Leukemia PMID: 27780859
- Taken together, these results provide evidence that XPO1 inhibition represents a new therapeutic strategy for overcoming platinum resistance in women with ovarian cancer PMID: 27649553
- Selinexor, a selective inhibitor of XPO1, is currently being tested as single agent in clinical trials in acute myeloid leukemia. PMID: 27358488
- Nuclear export receptor CRM1 recognizes diverse conformations in nuclear export signals. PMID: 28282025
- These results suggest a differential interaction between human Crm1 and mouse Crm1 and many lentiviral Rev proteins, which may partially explain the HIV replicative defect in mice. PMID: 29028476
- Combined targeting of XPO1 and ERalpha in several tamoxifen-resistant cell lines and tumor xenografts with the XPO1 inhibitor, Selinexor, and tamoxifen restored tamoxifen sensitivity and prevented recurrence in vivo. PMID: 27533791
- Results suggest that the cancer-inhibitory activity of sodium butyrate and its derivatives on liver carcinogenesis may be attributed to retention of p53 and CRM1 proteins in the nucleus, an event that may trigger activation of p53-mediated apoptotic cell death in neoplastic cells. PMID: 27013579
- REVIEW: the role of XPO1 in B cell hematological malignancies PMID: 28196522
- Selinexor, an inhibitor of XPO1, induces cell cycle arrest independent of alterations in the KIT signaling pathway. PMID: 26918731
- Authors investigated the clinical significance of XPO1 mutations in patients with CLL. PMID: 27468087
- Here, the authors identify cellular nuclear transport factor 2 (NTF2)-like export protein 1 (NXT1) as a novel binding partner of nucleoprotein (NP) that stimulates NP-mediated nuclear export via the CRM1-dependent pathway. PMID: 27483302
- Data show that the cytoplasmic localization of promyelocytic leukaemia (PML) is mediated by its nuclear export in a chromosomal maintenance 1 (CRM1)-dependent manner. PMID: 26549027
- CRM1 and CDK5 co-expression was an independent prognostic factors for gastric cancer (GC). Combined CRM1 and CDK5 expression could provide a prognostic model for overall survival of GC. PMID: 28373767
- Anti-tumor activity of selective exportin 1 inhibitors is enhanced in non-Hodgkin lymphoma through combination with mTOR inhibitor and dexamethasone. PMID: 27693556
- the functional consequences of a recurrent cancer-related mutation, which targets a residue near CRM1 NES-binding cleft, was investigated. PMID: 27312238
- we characterized the biologic significance of CRM1 in the context of Ewing sarcoma and determined the therapeutic merit of CRM1 inhibition for this malignancy. PMID: 26956669
- XPO1 E571K mutation represents a genetic hallmark of the PMBL subtype and serves as a new relevant PMBL biomarker. SINE compounds appear active for both mutated and wild-type protein PMID: 27312795
- CRM1 mediates nuclear export of influenza A nucleoprotein. PMID: 28399435
- the detection of the XPO1 E571K mutation in biopsy and plasma cell-free DNA by digital PCR may be used as a novel biomarker in classical Hodgkin lymphoma for both diagnosis and minimal residual disease, and pinpoints a crucial role of XPO1 in classical Hodgkin lymphoma pathogenesis. PMID: 27479820
- The study demonstrated the association of NUP98-IQCG with CRM1, and found that NUP98-IQCG expression inhibits the CRM1-mediated nuclear export of p65 and enhances the transcriptional activity of nuclear factor-kappaB. Moreover, IQCG could be entrapped in the nucleus by NUP98-IQCG, and the fusion protein interacts with calmodulin via the IQ motif in a calcium-independent manner. PMID: 27864780
- XPO1 inhibition has downstream effects on the 3D nuclear organization of the genome. PMID: 26991404
- findings suggest that mitotic abnormalities can be prevented by the modulation of CRM1 and survivin. We demonstrated the ability of compound 'IV08.009' to efficiently protect cultured keratinocytes from mitotic abnormalities PMID: 26859314
- the interplay between CRM-1 and p27Kip1 may provide potentially potent biomarkers and functional targets for the development of future cholangiocarcinoma treatments. PMID: 27279267
- Data show that functional Exportin 1 (XPO1/CRM1) inhibition correlates to XPO1 occupancy by selinexor in U2OS cells. PMID: 26654943
- The results indicate that highly selective targeting of Nup98-fusion proteins to Hox cluster regions via prebound Crm1 induces the formation of higher order chromatin structures that causes aberrant Hox gene regulation. PMID: 26740045
- Together, our study identifies CRM1 as a valid target in ovarian cancer and provides a basis for the development of S109 in ovarian cancer. PMID: 26055813
- this regulation was conserved in HIV-2 and was dependent on the CRM1-dependent nuclear export pathway suggesting a role of the RNA helicase in interconnecting nuclear export with ribosome recruitment of the viral unspliced mRNA PMID: 27012366
- HIV-1 depends on host-cell-encoded factors to complete its life cycle; data suggest nucleus-located NAF1 (HIV Nef-associated factor 1) promotes nuclear export of un-spliced HIV-1 gag mRNA; association between NAF1 and CRM1 is required for this function. PMID: 26733199
- The binding of nuclear export signals to CRM1 in both orientations results in a large expansion in nuclear export signal consensus patterns and therefore a corresponding expansion of potential nuclear export signals in the proteome. PMID: 26349033
- Findings indicate that exportin 1 protein (CRM1) is a valid target for the treatment of colorectal cancer. PMID: 25996664
- our results elucidate that RanGAP1 is actively transported between the nuclear and cytoplasmic compartments, and that the cytoplasmic and NPC localization of RanGAP1 is dependent on CRM1-mediated nuclear export. PMID: 26506250
- Ribosomal biogenesis appears to be a key component through which XPO1 contributes to tumor cell survival. PMID: 26340096
- review of physiological function of chromosome region maintenance 1 protein. PMID: 26048327
- Our study suggests SINE-mediated XPO1/CRM1 inhibition as a novel therapeutic option for DMPM. PMID: 25948791
- These data suggest that CRM1 plays an important role in lung carcinogenesis. PMID: 25629636
- The export receptor Crm1 forms a dimer to promote nuclear export of HIV RNA. PMID: 25486595
- This study identifies a cellular protein named RBM14 that is associated with XPO1 (CRM1), a nuclear protein that binds to the HIV-1 Rev protein and mediates nuclear export of incompletely spliced HIV-1 viral RNAs PMID: 25589658
- The new CRM1 inhibitors, therefore, hold strong potential and warrant further clinical investigations for PDAC. PMID: 24899509
- CRM1 has a role in regulating HOXA gene transcription in CALM-AF10 leukemias PMID: 25027513
- Studied CRM1 expression in esophageal squamous cell carcinoma; statistical analysis demonstrated that patients with high CRM1 levels indicated shorter survival period. We further found that silencing CRM1 caused apoptosis in ESCC cell lines. PMID: 25148895
- CRM1 as a new therapeutic target for non-Hodgkin lymphoma. PMID: 25466285
顯示更多
收起更多
-
亞細胞定位:Cytoplasm. Nucleus, nucleoplasm. Nucleus, Cajal body. Nucleus, nucleolus. Note=Located in the nucleoplasm, Cajal bodies and nucleoli. Shuttles between the nucleus/nucleolus and the cytoplasm.
-
蛋白家族:Exportin family
-
組織特異性:Expressed in heart, brain, placenta, lung, liver, skeletal muscle, pancreas, spleen, thymus, prostate, testis, ovary, small intestine, colon and peripheral blood leukocytes. Not expressed in the kidney.
-
數據庫鏈接:
Most popular with customers
-
-
YWHAB Recombinant Monoclonal Antibody
Applications: ELISA, WB, IHC, IF, FC
Species Reactivity: Human, Mouse, Rat
-
Phospho-YAP1 (S127) Recombinant Monoclonal Antibody
Applications: ELISA, WB, IHC
Species Reactivity: Human
-
-
-
-
-















