XK Antibody
-
中文名稱:XK兔多克隆抗體
-
貨號:CSB-PA908755
-
規格:¥1100
-
圖片:
-
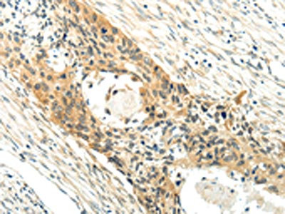
The image on the left is immunohistochemistry of paraffin-embedded Human liver cancer tissue using CSB-PA908755(XK Antibody) at dilution 1/20, on the right is treated with synthetic peptide. (Original magnification: ×200)
-
The image on the left is immunohistochemistry of paraffin-embedded Human esophagus cancer tissue using CSB-PA908755(XK Antibody) at dilution 1/20, on the right is treated with synthetic peptide. (Original magnification: ×200)
-
Gel: 8%SDS-PAGE, Lysate: 40 μg, Lane 1-2: Human normal liver and placenta tissue, Primary antibody: CSB-PA908755(XK Antibody) at dilution 1/350 dilution, Secondary antibody: Goat anti rabbit IgG at 1/8000 dilution, Exposure time: 2 minutes
-
-
其他:
產品詳情
-
Uniprot No.:
-
基因名:XK
-
別名:XK antibody; XKR1 antibody; XRG1 antibody; Membrane transport protein XK antibody; Kell complex 37 kDa component antibody; Kx antigen antibody; XK-related protein 1 antibody
-
宿主:Rabbit
-
反應種屬:Human
-
免疫原:Synthetic peptide of Human XK
-
免疫原種屬:Homo sapiens (Human)
-
標記方式:Non-conjugated
-
抗體亞型:IgG
-
純化方式:Antigen affinity purification
-
濃度:It differs from different batches. Please contact us to confirm it.
-
保存緩沖液:-20°C, pH7.4 PBS, 0.05% NaN3, 40% Glycerol
-
產品提供形式:Liquid
-
應用范圍:ELISA,WB,IHC
-
推薦稀釋比:
Application Recommended Dilution ELISA 1:2000-1:5000 WB 1:500-1:2000 IHC 1:20-1:100 -
Protocols:
-
儲存條件:Upon receipt, store at -20°C or -80°C. Avoid repeated freeze.
-
貨期:Basically, we can dispatch the products out in 1-3 working days after receiving your orders. Delivery time maybe differs from different purchasing way or location, please kindly consult your local distributors for specific delivery time.
-
用途:For Research Use Only. Not for use in diagnostic or therapeutic procedures.
相關產品
靶點詳情
-
功能:May be involved in sodium-dependent transport of neutral amino acids or oligopeptides.
-
基因功能參考文獻:
- the expression of KX is critical to normal morphology, and null mutations are associated with the McLeod neuroacanthocytosis syndrome. PMID: 26308465
- The XK gene was not linked to hypermutability in red cells from patients with paroxysmal nocturnal hemoglobinuria. PMID: 24816235
- study reports the clinical findings and a novel nonsense hemizygous mutation, c.154C>T (p.Gln52X) at exon 1 of XK gene in a Taiwanese family with McLeod syndrome PMID: 24635891
- Novel XK protein mutations are reported in two patients who exhibit typical clinical characteristics of McLeod syndrome. PMID: 21463873
- This study identified one non-synonymous and one intron variant in mood disorder and schizophrenia subjects, respectively, in XK. PMID: 21145924
- In human cortex, the results show expression of XK in cortical neurons with an apparent cytoplasmic localization. PMID: 17379193
- Sequence analysis demonstrated a 5 bp deletion in exon 2 of the XK gene in McLeod syndrome. PMID: 17469188
顯示更多
收起更多
-
相關疾?。?/div>McLeod syndrome (MLS)亞細胞定位:Cell membrane; Multi-pass membrane protein.蛋白家族:XK family組織特異性:High levels in skeletal muscle, heart, brain, and pancreas; low levels in placenta, lung, liver, and kidney.數據庫鏈接:
Most popular with customers
-
-
YWHAB Recombinant Monoclonal Antibody
Applications: ELISA, WB, IHC, IF, FC
Species Reactivity: Human, Mouse, Rat
-
Phospho-YAP1 (S127) Recombinant Monoclonal Antibody
Applications: ELISA, WB, IHC
Species Reactivity: Human
-
-
-
-
-















