WT1 Antibody
-
中文名稱:WT1兔多克隆抗體
-
貨號:CSB-PA11609A0Rb
-
規格:¥440
-
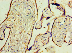
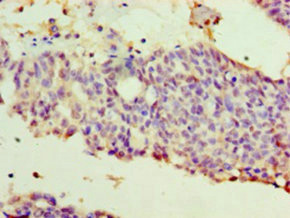
圖片:
-
其他:
產品詳情
-
產品名稱:Rabbit anti-Homo sapiens (Human) WT1 Polyclonal antibody
-
Uniprot No.:
-
基因名:
-
別名:WIT 2 antibody; WT 1 antibody; AWT1 antibody; FWT1 antibody; GUD antibody; NPHS4 antibody; WAGR antibody; Wilms tumor 1 antibody; Wilms Tumor antibody; Wilms tumor protein antibody; Wilms' tumor gene antibody; Wilms' tumor protein antibody; WIT2 antibody; WT antibody; WT1 antibody; WT1_HUMAN antibody; WT33 antibody
-
宿主:Rabbit
-
反應種屬:Human
-
免疫原:Recombinant Human Wilms tumor protein (1-449AA)
-
免疫原種屬:Homo sapiens (Human)
-
標記方式:Non-conjugated
本頁面中的產品,WT1 Antibody (CSB-PA11609A0Rb),的標記方式是Non-conjugated。對于WT1 Antibody,我們還提供其他標記。見下表:
-
克隆類型:Polyclonal
-
抗體亞型:IgG
-
純化方式:>95%, Protein G purified
-
濃度:It differs from different batches. Please contact us to confirm it.
-
保存緩沖液:Preservative: 0.03% Proclin 300
Constituents: 50% Glycerol, 0.01M PBS, PH 7.4 -
產品提供形式:Liquid
-
應用范圍:ELISA, IHC
-
推薦稀釋比:
Application Recommended Dilution IHC 1:20-1:200 -
Protocols:
-
儲存條件:Upon receipt, store at -20°C or -80°C. Avoid repeated freeze.
-
貨期:Basically, we can dispatch the products out in 1-3 working days after receiving your orders. Delivery time maybe differs from different purchasing way or location, please kindly consult your local distributors for specific delivery time.
-
用途:For Research Use Only. Not for use in diagnostic or therapeutic procedures.
相關產品
靶點詳情
-
功能:Transcription factor that plays an important role in cellular development and cell survival. Recognizes and binds to the DNA sequence 5'-GCG(T/G)GGGCG-3'. Regulates the expression of numerous target genes, including EPO. Plays an essential role for development of the urogenital system. It has a tumor suppressor as well as an oncogenic role in tumor formation. Function may be isoform-specific: isoforms lacking the KTS motif may act as transcription factors. Isoforms containing the KTS motif may bind mRNA and play a role in mRNA metabolism or splicing. Isoform 1 has lower affinity for DNA, and can bind RNA.
-
基因功能參考文獻:
- inflammatory cytokineinduced WT1 overexpression may promote the formation of psoriatic skin lesions via regulation of the proliferation and apoptosis of keratinocytes. PMID: 30132523
- BRG1, the essential ATPase subunit of the SWI/SNF chromatin-remodelling complex, is required for expression of Wilms' tumour 1 (Wt1), fetal epicardium-derived cell activation and subsequent differentiation into coronary smooth muscle, and restoration of Wt1 activity upon myocardial infarction. PMID: 28737171
- Study shows that WT1 expression in breast cancer (BC) occurs at low frequency. Also, the results demonstrate that WT1 plays a role in regulating the epithelial-mesenchymal balance of BC cells and that WT1-expressing tumors are mainly associated with a mesenchymal phenotype. WT1 gene expression also correlates with CYP3A4 levels and is associated with poor response to taxane treatment. PMID: 28345629
- Study provides evidence that the renal specific phenotype of nail patella-like renal disease associated with LMX1B R246Q mutation may be due to dominant negative effect on WT1(- KTS) specific isoforms causing a disruption of the WT1 isoform ratio and subsequent decrease in key podocyte related genes. PMID: 28059119
- MDS and acute myeloid leukemia were the major target diseases to provide proof of concept for the therapeutic potential of the WT1 peptide vaccine. WT1 vaccination-induced clinical responses or usefulness were also shown for chronic myeloid leukemia, multiple myeloma, and acute lymphoblastic leukemia, as well as various types of solid cancers. Non-Hodgkin's lymphoma and myeloproliferative neoplasms may be target diseases PMID: 29041012
- Total heterogeneous methylation of WT1 conferred a significantly higher risk of Colorectal Cancer.The gene methylation status of blood leukocytes may be associated with CRC risk. PMID: 29291617
- excessive expression of WT1 was detected in ovaries of Polycystic Ovary Syndrome patients providing novel insights into the relationship between hyperandrogenism and polycystic ovaries of PCOS and WT1. PMID: 29414825
- WT1 isoforms containing or lacking an insert, KTS, between zinc finger 3 and 4 have different binding patterns to both DNA and RNA targets in acute myeloid leukemia. (Review) PMID: 29240258
- study identifies a novel mechanism of hepatocellular carcinoma inhibition through beta-catenin-independent Wnt signalling, which is regulated by WT1-associated LEF1 repression. The study also highlights mangiferin as a promising Wnt inhibitor for HCC treatment. PMID: 29953980
- our data demonstrate that WT1 protein undergoes proteolytic processing by caspase-3 in chemotherapeutic drugs-induced apoptosis. This processing is associated with a reduction of WT1 protein. PMID: 28395566
- WT1 reduces malignancy of malignant mesothelioma cell lines and might be a new molecular target in mesothelioma therapy PMID: 28054314
- WT1 overexpression indicates a poor prognosis in patients with some gynecological tumors, but more studies are needed to confirm these findings. PMID: 29995811
- No increased frequencies were observed for WT1-specific T cells. PMID: 28544366
- in vitro evidence to demonstrate that Wilms' tumor 1 (WT1) negatively regulates the expression of the atRA synthetic enzymes, ALDH1A1, ALDH1A2 and ALDH1A3, in the 293 cell line, leading to significant blockage of atRA production. PMID: 28677722
- the results of the present study are consistent with the hypothesis that miR-590 may promote G401 cell proliferation via downregulation of it specific target gene, WT1 as miR-590 expression level increased in Wilms' tumor tissues compared with normal kidney tissues. PMID: 28498419
- our data demonstrated that NR4A1 protein physically associates with the WT1 promoter, and enhanced WT1 promoter transactivation and knockdown of WT1 in MIN6 cells induced apoptosis. These findings suggest that NR4A1 protects pancreatic beta-cells against H2O2 mediated apoptosis by up-regulating WT1 expression. PMID: 28342843
- Multiple studies provide evidence that WT1 plays a significant role in a variety of cancers occurring mainly in childhood and adolescence, but with involvement in some adult cancers. Also, Wt1 has a tumor suppressive function and oncogenic properties as well. PMID: 27417955
- Study highlighted the importance of WT1 mutations in developmental renal disorders and showed that novel genetic technologies, particularly rapid sequencing techniques, have allowed the identification of far more WT1 mutations, relevant to clinical practice, and thus highlighting the range of WT1 disease and variable phenotype-genotype correlation. PMID: 27417956
- Study reviews the dynamic expression pattern of WT1 gene during embryonic development and its many functions in the regulation of the expression of target genes acting in tissue development, growth, differentiation, and apoptosis. [review] PMID: 27417957
- correlation between relapse and MRD(WT1) was stronger in blood than in bone marrow samples PMID: 28067876
- WT1 overexpression is associated with minimal residual disease in acute myeloid leukemia. PMID: 29096332
- WT1 expression status represents a good molecular marker of prognosis, response to treatment, and minimal residual disease monitoring in acute myeloid leukemia with normal karyotype PMID: 28163010
- Review/Meta-analysis: WT1 rs16754 polymorphism is associated with better survival in acute myeloid leukemia. PMID: 26992216
- we report that CUG initiation site for WT1 protein synthesis (CUG)-translated WT1 (cugWT1), an N-terminally extended form of canonical AUG initiation site for WT1 protein synthesis (AUG)-translated WT1 (augWT1), was overexpressed in most cancer cell lines and cancer tissues and functioned as an oncogene PMID: 29040381
- Furthermore, chromatin immunoprecipitation assays revealed that COL4A1 and WNT4 promoter is directly bound by wild-type WT1 protein, but not the p.F435L WT1 variant. Thus, we identified a novel functional variant of WT1 functionally associated with idiopathic non-obstructive azoospermia. PMID: 27990711
- Data reveal that MiR-193a directly targets WT1 and indirectly modulates E-cadherin and that overexpression of WT1 partially prevents miR-193a-induced inhibition of migration and invasion of non-small cell lung cancers, suggesting that WT1 plays an important role in the anti-metastasis by miR-193a. PMID: 27821145
- WT1 cooperates with TET2 to upregulate MEG3 expression places TET2-WT1-MEG3 signaling axis as a central tumor suppressive pathway in AML, therefore emphasizing the potentials of this axis in AML diagnosis and therapy. PMID: 28400619
- Concomitant monitoring of WT1 and FLT3-ITD expression in FLT3-ITD acute myeloid leukemia patients PMID: 28211167
- Study shows WT1 Haploinsufficiency Supports Milder Renal Manifestation in Two Patients with Denys-Drash Syndrome. PMID: 28081536
- WT1 isoform-overexpressing cell sublines were established from a triple negative breast cancer cell line, MDA-MB-231, by stable transfection, and the aggressive behavior of the cell sublines were evaluated. Only the WT1 isoform B- and isoform C-overexpressing cell sublines showed the significant increase in vasculogenic mimicry forming capability compared to the parental cell line and other isoform cell sublines. PMID: 29024629
- This study demonstrated that WT1 is a good marker for monitoring the response to therapy in patients affected by myelofibrosis. PMID: 27167495
- major repressor of the CMIP gene in physiological situations PMID: 27650733
- Study results show the role of WT1 in regulating decidualization in human endometrial stromal cells. C/EBPbeta is an upstream gene that regulates WT1 expression by binding to the novel enhancer region. PMID: 28977591
- MicroRNA-193a inhibits breast cancer proliferation and metastasis by downregulating WT1. PMID: 29016617
- Study reveals a novel role for Wt1 in early mammalian development and identifies proteases as critical mediators of the maternal-embryonic interaction. Data also suggest that the role of Wt1 in regulating fertility is conserved in mammals. PMID: 28334862
- WT1 acts as a tumour promoter in osteosarcoma and it could be a potential therapeutic target. PMID: 28107196
- a novel role of WT1 mutations in the deregulation of epigenetic programs in leukemic cells through its interaction with TET proteins (Review) PMID: 27252512
- Mutations of WT1 gene is associated with Acute myeloid leukemia. PMID: 27636548
- The findings of the present study indicate that all females with SRNS-FSGS should be screened for WT1 gene mutation to diagnose whether they have FS for possible gonadectomy. PMID: 27934809
- Denys-Drash syndrome associated WT1 glutamine 369 mutants have altered sequence-preferences in DNA binding and altered responses to epigenetic cytosine modifications. PMID: 27596598
- Sequence variants in NPHS4 were identified in families with CRB2-related syndrome. PMID: 27004616
- WT1 modulates Akt/JNK signaling pathway mediated autophagy by controlling the expression of growth arrest-specific 1 (Gas1). PMID: 27453337
- WT1 knock-down gave a corresponding decrease in QPRT gene and protein expression. Chromatin-immunoprecipitation revealed WT1 binding to a conserved site in the first intron of the QPRT gene. PMID: 27889611
- WT1 helps to differentiate Wilms' tumour from other paediatric renal tumours. It may help in differentiating the two subgroups of Wilms' tumour which have distinct molecular pathogenesis and biological behaviour, however, further prospective studies are required for validation of this hypothesis. PMID: 27748279
- a high WT1 mutation rate was observed in this group of steroid-resistant nephrotic syndrome patients PMID: 28257282
- Predictive value of pretransplantation molecular minimal residual disease assessment by WT1 gene expression in FLT3-positive acute myeloid leukemia. PMID: 28159598
- Wilms' tumor 1 is expressed in endometrial intra-epithelial neoplasia. Cellular endometrial intra-epithelial neoplasia Wilms' tumor 1 positivity was 100% and vascular Wilms' tumor 1 positivity was 85%. The endometrial adenocarcinoma group had 67% cellular Wilms' tumor 1 positivity and 73% vascular positivity. PMID: 27062662
- WT1 localizes to the cytoplasm and mirn16-1 is decreased in nephrotic syndrome PMID: 28299339
- WTI expression correlates with disease status both at the time of diagnosis and then different phases of the treatment. High WT1 burden in both these patients is indicative of early recurrence of the disease along with shorter disease-free and overall survival. The low WT1 expression (< 200 copies/ml) in 2 patients after induction and consolidation therapy respectively was suggestive of better prognosis. PMID: 27225156
- miR-361 was downregulated in NSCLC tissues and cell lines. Ectopic expression of miR-361 suppressed the proliferation, migration and invasion of NSCLC cells via the direct targeting of WT1. PMID: 27779659
顯示更多
收起更多
-
相關疾病:Frasier syndrome (FS); Wilms tumor 1 (WT1); Denys-Drash syndrome (DDS); Nephrotic syndrome 4 (NPHS4); Meacham syndrome (MEACHS); Mesothelioma, malignant (MESOM)
-
亞細胞定位:Nucleus. Nucleus, nucleolus. Cytoplasm.; [Isoform 1]: Nucleus speckle.; [Isoform 4]: Nucleus, nucleoplasm.
-
蛋白家族:EGR C2H2-type zinc-finger protein family
-
組織特異性:Expressed in the kidney and a subset of hematopoietic cells.
-
數據庫鏈接:
Most popular with customers
-
-
Phospho-YAP1 (S127) Recombinant Monoclonal Antibody
Applications: ELISA, WB, IHC
Species Reactivity: Human
-
-
-
-
-
-















