-
中文名稱:WNT4兔多克隆抗體
-
貨號:CSB-PA026137LA01HU
-
規格:¥440
-
圖片:
-
Western blot
All lanes: WNT4 antibody at 8μg/ml + MCF-7 whole cell lysate
Secondary
Goat polyclonal to rabbit IgG at 1/10000 dilution
Predicted band size: 40, 33 kDa
Observed band size: 40 kDa -
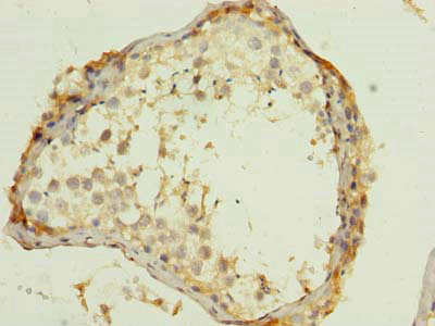
Immunohistochemistry of paraffin-embedded human testis tissue using CSB-PA026137LA01HU at dilution of 1:100
-
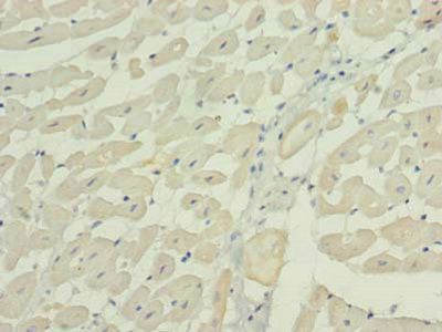
Immunohistochemistry of paraffin-embedded human heart tissue using CSB-PA026137LA01HU at dilution of 1:100
-
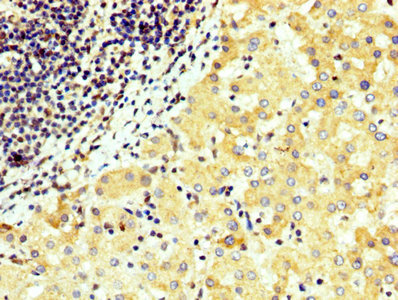
IHC image of CSB-PA026137LA01HU diluted at 1:300 and staining in paraffin-embedded human liver cancer performed on a Leica BondTM system. After dewaxing and hydration, antigen retrieval was mediated by high pressure in a citrate buffer (pH 6.0). Section was blocked with 10% normal goat serum 30min at RT. Then primary antibody (1% BSA) was incubated at 4°C overnight. The primary is detected by a biotinylated secondary antibody and visualized using an HRP conjugated SP system.
-
-
其他:
產品詳情
-
產品名稱:Rabbit anti-Homo sapiens (Human) WNT4 Polyclonal antibody
-
Uniprot No.:
-
基因名:
-
別名:MGC123964 antibody; Protein Wnt-4 antibody; RP23-246F18.1 antibody; SERKAL antibody; Wingless type MMTV integration site family member 4 precursor antibody; WNT 4 antibody; WNT 4 protein precursor antibody; WNT4 antibody; WNT4_HUMAN antibody
-
宿主:Rabbit
-
反應種屬:Human
-
免疫原:Recombinant Human Protein Wnt-4 protein (23-351AA)
-
免疫原種屬:Homo sapiens (Human)
-
標記方式:Non-conjugated
本頁面中的產品,WNT4 Antibody (CSB-PA026137LA01HU),的標記方式是Non-conjugated。對于WNT4 Antibody,我們還提供其他標記。見下表:
-
克隆類型:Polyclonal
-
抗體亞型:IgG
-
純化方式:>95%, Protein G purified
-
濃度:It differs from different batches. Please contact us to confirm it.
-
保存緩沖液:Preservative: 0.03% Proclin 300
Constituents: 50% Glycerol, 0.01M PBS, PH 7.4 -
產品提供形式:Liquid
-
應用范圍:ELISA, WB, IHC
-
推薦稀釋比:
Application Recommended Dilution WB 1:500-1:2000 IHC 1:20-1:200 -
Protocols:
-
儲存條件:Upon receipt, store at -20°C or -80°C. Avoid repeated freeze.
-
貨期:Basically, we can dispatch the products out in 1-3 working days after receiving your orders. Delivery time maybe differs from different purchasing way or location, please kindly consult your local distributors for specific delivery time.
-
用途:For Research Use Only. Not for use in diagnostic or therapeutic procedures.
引用文獻
- Exosomes from Placenta-Derived Mesenchymal Stem Cells Are Involved in Liver Regeneration in Hepatic Failure Induced by Bile Duct Ligation JH Jun,Stem Cells International,2020
- Cloning and characterization of wnt4a gene in a natural triploid teleost, Qi river crucian carp (Carassius auratus) Wu L, et al,General and Comparative Endocrinology,2019
相關產品
靶點詳情
-
功能:Ligand for members of the frizzled family of seven transmembrane receptors. Plays an important role in the embryonic development of the urogenital tract and the lung. Required for normal mesenchyme to epithelium transition during embryonic kidney development. Required for the formation of early epithelial renal vesicles during kidney development. Required for normal formation of the Mullerian duct in females, and normal levels of oocytes in the ovaries. Required for normal down-regulation of 3 beta-hydroxysteroid dehydrogenase in the ovary. Required for normal lung development and for normal patterning of trachael cartilage rings.
-
基因功能參考文獻:
- Annotation of rs2072920 in WNT4 in tissues might be related to obesity. PMID: 28272483
- We found a genetic association between rs11031006 (FSHB) SNP and endometriosis. WNT4 and VEZT genes constitute the most consistently associated genes with endometriosis. In the present study, an association of rs7521902 (WNT4) and rs10859871 (VEZT) was confirmed in women with endometriosis at the genotypic but not the allelic level. PMID: 28901453
- urinary Wnt4 could be a potential noninvasive biomarker for the early detection of tubular injury. PMID: 27600466
- were not able to replicate or further verify the genetic association of polymorphisms in WNT4 and WNT5B with bone mineral density PMID: 28078366
- These findings demonstrate that autocrine human growth hormone regulates WNT4 expression and that WNT4 is a potential therapeutic target in human breast cancer. PMID: 27323961
- WNT4 encodes wingless-type MMTV integration site family member 4. WNT4 mutations have been found in women with mullerian duct abnormalities, primary amenorrhea, and hyperandrogenism and common variants in WNT4, which are in high linkage disequilibrium with our index SNPs, are associated with endometriosis, ovarian cancer,and bone mineral density of WNT4, and the T allele generates a strong ESR1-binding site. PMID: 28877031
- Our MRKH families included 43 quads, 26 trios, and 30 duos. Of our MRKH probands, 87/147 (59%) had MRKH type 1 and 60/147 (41%) had type 2 with additional anomalies. CONCLUSION(S): Although the prevalence of WNT4, HNF1B, and LHX1 point mutations is low in people with MRKH, the prevalence of CNVs was approximately 19%. PMID: 28600106
- WNT4 drives a novel signaling pathway in ILC cells, with a critical role in estrogen-induced growth that may also mediate endocrine resistance. WNT4 signaling may represent a novel target to modulate endocrine response specifically for patients with ILC. PMID: 27650553
- The etiology of MRKH syndrome is still largely unknown, probably because of its intrinsic heterogeneity. Several candidate causative genes have been investigated, but to date only WNT4 has been associated with MRKH with hyperandrogenism. This review summarizes and discusses the clinical features and details progress to date in understanding the genetics of MRKH syndrome. PMID: 27716927
- We highlight the cooperation of WNT4, RSPO1 and FOXL2 within a regulatory network and the need for further research to better understand their role in defining and maintaining ovarian identity. PMID: 27604691
- The WNT4 expression level in eutopic endometrium was significantly reduced compared with that in normal endometrium of the control group. PMID: 26363035
- Results suggest that the Wnt4 gene encodes signals that are important for various aspects of female reproductive tract development. PMID: 26721931
- Studied the roles of WNT4 and WNT5A in human decidulization and their relationship with preeclampsia. PMID: 26848991
- Polymorphisms on WNT4 gene might be involved in the pathogenesis of endometriosis in the infertile women. PMID: 26139156
- the expression of WNT4, a Wnt ligand, and three targets of Wnt-ss-catenin transcription activation, namely, MMP7, cyclinD1 (CD1) and c-MYC in 141 penile tissue cores from 101 unique samples, were investigated. PMID: 25901368
- The results demonstrated that WNT4 rs2235529 is associated with endometriosis in Chinese Han women, which may result in aberrant expression of WNT4, leading to the pathogenesis of endometriosis. PMID: 25682310
- Wnt4 might be a key gene during parathyroid hormone-induced epithelial mesenchymal transformation of proximal kidney tubule cells. PMID: 25337242
- The 5'-flanking region of the Wnt4 gene is responsive to Pax8. Pax8 modulates the expression of Wnt4 in thyroid cells. PMID: 25270402
- Our results suggest that the rs10965235 SNP in the CDKN2B-AS gene and the rs16826658 SNP near the WNT4 gene were significantly associated with endometriosis in this Korean population. PMID: 25154675
- We report an adolescent girl with the cardinal features of MURCS association, obesity, and clinical findings of hyperandrogenism who did not show any exonic mutation of the WNT4 gene PMID: 24356390
- These data indicate that Wnt4 signaling is deregulated in most pituitary adenomas and its excessive activation may inhibit pituitary tumor invasion. PMID: 24200887
- State anxiety assessed two months before the examination was positively and negatively correlated with miR-16 and its target WNT4 mRNA levels, respectively. PMID: 24130753
- The WNT4 ligand plays a role in regulating the cell growth of leukemia-derived cells by arresting cells in the G1 cell cycle phase. PMID: 24274766
- Analysis of bronchial biopsy samples shows a very strong correlation between Wnt4 and interleukin (IL)8 gene expression, suggesting a role for Wnt4 in chronic lung inflammation. PMID: 23463699
- heterozygous WNT4 variants are likely to play a causative role in renal hypodysplasia. PMID: 23520208
- We confirm WNT4, CDKN2BAS and FN1 as the first identified common loci for endometriosis. PMID: 23142796
- Recent developments have demonstrated that ovarian development is an active process (rather than a default process); ovarian development/function requires expression of WNT4, RSPO1, and FOXL2. [REVIEW] PMID: 23044875
- Studies uncovered a linear pathway involving BMP2, WNT4/beta-catenin, and Forkhead box protein O1 that operates in human endometrium to critically control decidualization. PMID: 23142810
- Mutations in the WNT4 gene is not associated with premature ovarian failure. PMID: 22951804
- Mutations in WNT4 are not responsible for Mullerian duct abnormalities in Chinese women. PMID: 22503279
- Wnt/beta-catenin pathway forms a negative feedback loop during TGF-beta1 induced human normal skin fibroblast-to-myofibroblast transition PMID: 22041457
- Possible role of WNT4 in Han Chinese women with premature ovarian failure. PMID: 21624127
- Report a new WNT4 gene mutation in atypical Mayer-Rokitansky-Kuster-Hauser syndrome. PMID: 21377155
- These observations highlight the distinct roles of WNT11 and WNT4 during the early stages of retinoic acid-induced neuronal differentiation. PMID: 21280163
- Wnt4 is specifically involved in joint development. PMID: 20709709
- Findings provide the first convincing line of evidence that EAF and Wnt4 form an auto-regulatory negative feedback loop in vivo. PMID: 20161747
- at least 1 cause of Mayer-Rokitansky-Kuster-Hauser (MRKH) syndrome is a loss of function mutation of the Wnt4 (wingless-type MMTV integration site family member 4) gene. PMID: 20060343
- The age-related down-regulation of Wnt4 (and subsequently FoxN1), and the prominent increase in LAP2alpha expression, was investigated in thymic epithelial cells. PMID: 20502698
- The current results support a view that WNT4 may have a role in oocyte selection and follicle formation and maturation in human ovaries. PMID: 19962424
- Results demonstrated significant up-regulation of WNT-3, WNT-4, WNT-5B, WNT-7B, WNT-9A, WNT-10A, and WNT-16B in patients with CLL compared to normal subjects. PMID: 19863181
- Wnt 4a gene encodes a growth factor that participates in the formation of the kidney, adrenal, mammary gland, pituitary, and female reproductive tract. Wnt4 is required for the initial steps of the formation of Mullerian ducts. PMID: 19849868
- WNT-4 protein is expressed in the developing nephron during morphogenetic period of the kidney. PMID: 12768078
- Down-regulation of Wnt-4 and up-regulation of Wnt-5a are possible markers of the malignant phenotype of human squamous cell carcinoma. PMID: 12841867
- overexpression disrupts normal testicular vasculature and inhibits testosterone synthesis by repressing steroidogenic factor 1/beta-catenin synergy PMID: 12949260
- matrilysin may have a role in renal tubular injury and progression of tubulointerstitial fibrosis, and Wnt4 may regulate matrilysin expression in the kidney PMID: 15149334
- Their different spatial expression patterns suggest that Wnt4 and Wnt5a proteins are not functionally linked to type II collagen and type X collagen synthesis in in vitro chondrogenic models of mesenchyme stem cells PMID: 15389636
- sequencing of all five exons of WNT-4 demonstrated no mutant alleles in any of 8 46,XX true hermaphrodites. The possibility of the existence of causative mutations in the untranslated regions of WNT-4, or within introns cannot be ruled out. PMID: 15589122
- It is thus likely that both RE1 and RE2 are necessary in rendering p63/p73-specific activation of the WNT4 promoter. PMID: 16343436
- Bone morphogenetic protein-2 modulates Wnt and frizzled expression and enhances the canonical pathway of Wnt signaling in normal keratinocytes PMID: 16442268
- These data show that DKK3 and WNT4 have multiple actions on steroidogenesis in adrenocortical cells, including effects on overall steroidogenesis (aldosterone and cortisol biosynthesis) and distinct effects on steroidogenic enzyme mRNA levels. PMID: 16981135
顯示更多
收起更多
-
相關疾?。?/div>46,XX sex reversal with dysgenesis of kidneys, adrenals, and lungs (SERKAL); Mullerian aplasia and hyperandrogenism (MULLAPL)亞細胞定位:Secreted, extracellular space, extracellular matrix.蛋白家族:Wnt family數據庫鏈接:
Most popular with customers
-
-
YWHAB Recombinant Monoclonal Antibody
Applications: ELISA, WB, IHC, IF, FC
Species Reactivity: Human, Mouse, Rat
-
Phospho-YAP1 (S127) Recombinant Monoclonal Antibody
Applications: ELISA, WB, IHC
Species Reactivity: Human
-
-
-
-
-















