WLS Antibody
-
中文名稱:WLS兔多克隆抗體
-
貨號:CSB-PA716359LA01HU
-
規格:¥440
-
圖片:
-
Western Blot
Positive WB detected in: HepG2 whole cell lysate
All lanes: WLS antibody at 5.4µg/ml
Secondary
Goat polyclonal to rabbit IgG at 1/50000 dilution
Predicted band size: 63, 52 kDa
Observed band size: 52 kDa -
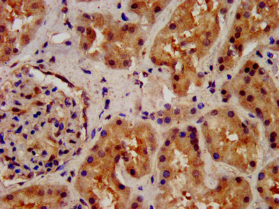
IHC image of CSB-PA716359LA01HU diluted at 1:200 and staining in paraffin-embedded human kidney tissue performed on a Leica BondTM system. After dewaxing and hydration, antigen retrieval was mediated by high pressure in a citrate buffer (pH 6.0). Section was blocked with 10% normal goat serum 30min at RT. Then primary antibody (1% BSA) was incubated at 4°C overnight. The primary is detected by a biotinylated secondary antibody and visualized using an HRP conjugated SP system.
-
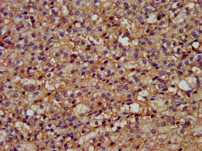
IHC image of CSB-PA716359LA01HU diluted at 1:200 and staining in paraffin-embedded human adrenal gland tissue performed on a Leica BondTM system. After dewaxing and hydration, antigen retrieval was mediated by high pressure in a citrate buffer (pH 6.0). Section was blocked with 10% normal goat serum 30min at RT. Then primary antibody (1% BSA) was incubated at 4°C overnight. The primary is detected by a biotinylated secondary antibody and visualized using an HRP conjugated SP system.
-
-
其他:
產品詳情
-
產品名稱:Rabbit anti-Homo sapiens (Human) WLS Polyclonal antibody
-
Uniprot No.:
-
基因名:WLS
-
別名:WLS; C1orf139; GPR177; UNQ85/PRO18667; Protein wntless homolog; Integral membrane protein GPR177; Protein evenness interrupted homolog; EVI; Putative NF-kappa-B-activating protein 373
-
宿主:Rabbit
-
反應種屬:Human
-
免疫原:Recombinant Human Protein wntless homolog protein (123-232AA)
-
免疫原種屬:Homo sapiens (Human)
-
標記方式:Non-conjugated
本頁面中的產品,WLS Antibody (CSB-PA716359LA01HU),的標記方式是Non-conjugated。對于WLS Antibody,我們還提供其他標記。見下表:
-
克隆類型:Polyclonal
-
抗體亞型:IgG
-
純化方式:>95%, Protein G purified
-
濃度:It differs from different batches. Please contact us to confirm it.
-
保存緩沖液:Preservative: 0.03% Proclin 300
Constituents: 50% Glycerol, 0.01M PBS, pH 7.4 -
產品提供形式:Liquid
-
應用范圍:ELISA, WB, IHC
-
推薦稀釋比:
Application Recommended Dilution WB 1:500-1:5000 IHC 1:200-1:500 -
Protocols:
-
儲存條件:Upon receipt, store at -20°C or -80°C. Avoid repeated freeze.
-
貨期:Basically, we can dispatch the products out in 1-3 working days after receiving your orders. Delivery time maybe differs from different purchasing way or location, please kindly consult your local distributors for specific delivery time.
-
用途:For Research Use Only. Not for use in diagnostic or therapeutic procedures.
相關產品
靶點詳情
-
功能:Regulates Wnt proteins sorting and secretion in a feedback regulatory mechanism. This reciprocal interaction plays a key role in the regulation of expression, subcellular location, binding and organelle-specific association of Wnt proteins. Plays also an important role in establishment of the anterior-posterior body axis formation during development.
-
基因功能參考文獻:
- GPR177 as a novel candidate for prognostic marker as well as a promising target for treatment of gastric cancer patients. PMID: 29555015
- Wls is differentially expressed in Intrahepatic Cholangiocarcinoma tissues and positively related to tumor stage and lymphatic invasion. PMID: 29526886
- These data showed that Wls was differentially expressed in HCC. Statistical analysis results suggest that Wls expression might increase as HCC progresses. PMID: 29127606
- Wls-SEC12 binding is stable, with the interacting interface biochemically mapped to cytosolic segments of individual proteins. Mutant Wls that fails to communicate with the COPII machinery cannot effectively support Wnt secretion. These data suggest that formation of early Wnt secretory vesicles is carefully regulated to ensure proper export of functional ligands PMID: 28515233
- we identified novel associations in WLS , ARHGAP1 , and 5' of MEF2C ( P- values < 8x10 - 5 ; false discovery rate (FDR) q-values < 0.01) that were much more strongly associated with BMD compared to the GWAS SNPs. PMID: 27616567
- Our data suggest that Wls protein is related to tumor metastasis and advanced TNM stage, and may be used as a new marker for prognosis of gastric carcinoma. PMID: 28110490
- These results indicate that WLS may play a role in invasion and metastasis of colorectal carcinoma. PMID: 27102079
- Dysfunction of Wntless triggers the retrograde Golgi-to-ER transport of Wingless and induces ER stress. PMID: 26887613
- Genetic variation at the WLS and CCDC170/ESR1 loci were found to be significantly associated with bone mineral density PMID: 26911590
- This study has revealed a strong association between the expression of WLS and HER2 that has important biological and clinical implications. PMID: 25258105
- This study identified CMTM8 as a new candidate tumor suppressor gene and GPR177 as a new candidate oncogene in osteosarcoma. PMID: 25551557
- GPR177 played an essential role in disease relapse and poor survival in patients with B-cell precursor acute lymphoblastic leukemia. PMID: 25115440
- endogenous WLS binds Wnts in the endoplasmic reticulum, cycles to the plasma membrane, and then returns to the endoplasmic reticulum through the Golgi. PMID: 24768165
- Colorectal tumors express elevated levels of Wnt3 and GPR177. PMID: 24162018
- The data suggest that the common variants of WLS analyzed in this study are not associated with opioid or cocaine addiction. PMID: 23566366
- Evi expression in psoriatic skin biopsies is down-regulated, suggesting that Evi-deficient mice developed skin lesions that resemble human psoriasis. PMID: 23918954
- findings lead to a proposed mechanism by which Gpr177 controls skeletal development through modulation of autocrine and paracrine Wnt signals in a lineage-specific fashion PMID: 23188710
- WLS functions as a negative regulator of melanoma proliferation and spontaneous metastasis by activating WNT/beta-catenin signalling. PMID: 23129487
- The Evi/Wls overexpression is sufficient to promote downstream Wnt signalling. PMID: 22147553
- Findings demonstrate that endocytosis motifs can occur in the intracellular loops of multipass membrane proteins and, moreover, provide direct evidence that the trafficking of Wls is required for efficient secretion of Wnt signaling proteins. PMID: 22027831
- The relatively ubiquitous expression of GPR177 suggests that this protein may serve to regulate Wnt secretion in a variety of embryonic and adult tissue types. PMID: 20652957
- These findings suggest a previously unrecognized role for GPR177 in regulating cellular response to opioid agonist drugs, and could create new avenues of investigation regarding the pharmacotherapy of drug dependence. PMID: 20214800
顯示更多
收起更多
-
亞細胞定位:Golgi apparatus membrane; Multi-pass membrane protein. Cytoplasmic vesicle membrane; Multi-pass membrane protein. Cell membrane; Multi-pass membrane protein. Endoplasmic reticulum membrane; Multi-pass membrane protein. Golgi apparatus membrane; Multi-pass membrane protein. Early endosome membrane; Multi-pass membrane protein.
-
蛋白家族:Wntless family
-
數據庫鏈接:
Most popular with customers
-
-
YWHAB Recombinant Monoclonal Antibody
Applications: ELISA, WB, IHC, IF, FC
Species Reactivity: Human, Mouse, Rat
-
Phospho-YAP1 (S127) Recombinant Monoclonal Antibody
Applications: ELISA, WB, IHC
Species Reactivity: Human
-
-
-
-
-















