WDR91 Antibody
-
中文名稱:WDR91兔多克隆抗體
-
貨號:CSB-PA026077LA01HU
-
規格:¥440
-
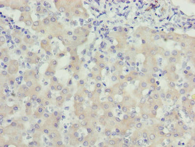
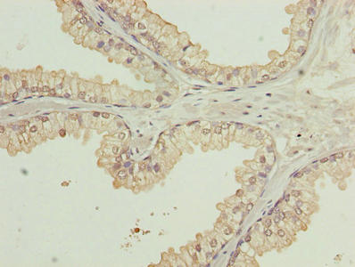
圖片:
-
其他:
產品詳情
-
產品名稱:Rabbit anti-Homo sapiens (Human) WDR91 Polyclonal antibody
-
Uniprot No.:
-
基因名:WDR91
-
別名:HSPC049 antibody; WD repeat containing protein 91 antibody; WD repeat domain 91 antibody; WD repeat-containing protein 91 antibody; WDR 91 antibody; WDR91 antibody; WDR91_HUMAN antibody
-
宿主:Rabbit
-
反應種屬:Human
-
免疫原:Recombinant Human WD repeat-containing protein 91 protein (1-747AA)
-
免疫原種屬:Homo sapiens (Human)
-
標記方式:Non-conjugated
本頁面中的產品,WDR91 Antibody (CSB-PA026077LA01HU),的標記方式是Non-conjugated。對于WDR91 Antibody,我們還提供其他標記。見下表:
-
克隆類型:Polyclonal
-
抗體亞型:IgG
-
純化方式:>95%, Protein G purified
-
濃度:It differs from different batches. Please contact us to confirm it.
-
保存緩沖液:Preservative: 0.03% Proclin 300
Constituents: 50% Glycerol, 0.01M PBS, PH 7.4 -
產品提供形式:Liquid
-
應用范圍:ELISA, IHC
-
推薦稀釋比:
Application Recommended Dilution IHC 1:20-1:200 -
Protocols:
-
儲存條件:Upon receipt, store at -20°C or -80°C. Avoid repeated freeze.
-
貨期:Basically, we can dispatch the products out in 1-3 working days after receiving your orders. Delivery time maybe differs from different purchasing way or location, please kindly consult your local distributors for specific delivery time.
-
用途:For Research Use Only. Not for use in diagnostic or therapeutic procedures.
相關產品
靶點詳情
-
功能:Functions as a negative regulator of the PI3 kinase/PI3K activity associated with endosomal membranes via BECN1, a core subunit of the PI3K complex. By modifying the phosphatidylinositol 3-phosphate/PtdInsP3 content of endosomal membranes may regulate endosome fusion, recycling, sorting and early to late endosome transport. It is for instance, required for the delivery of cargos like BST2/tetherin from early to late endosome and thereby participates indirectly to their degradation by the lysosome. May play a role in meiosis.
-
基因功能參考文獻:
- suggest a role for the WDR81-WDR91 complex in the fusion of endolysosomal compartments and the absence of WDR81 leads to impaired receptor trafficking and degradation PMID: 27126989
- WDR91 serves as a Rab7 effector that is essential for neuronal development by facilitating endosome conversion in the endosome-lysosome pathway. PMID: 28860274
-
亞細胞定位:Early endosome membrane; Peripheral membrane protein. Late endosome membrane.
-
蛋白家族:WD repeat WDR91 family
-
數據庫鏈接:
Most popular with customers
-
-
YWHAB Recombinant Monoclonal Antibody
Applications: ELISA, WB, IHC, IF, FC
Species Reactivity: Human, Mouse, Rat
-
Phospho-YAP1 (S127) Recombinant Monoclonal Antibody
Applications: ELISA, WB, IHC
Species Reactivity: Human
-
-
-
-
-















