WDR35 Antibody
-
中文名稱:WDR35兔多克隆抗體
-
貨號:CSB-PA879071LA01HU
-
規格:¥440
-
圖片:
-
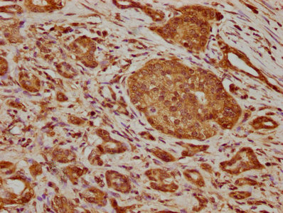
IHC image of CSB-PA879071LA01HU diluted at 1:200 and staining in paraffin-embedded human pancreatic cancer performed on a Leica BondTM system. After dewaxing and hydration, antigen retrieval was mediated by high pressure in a citrate buffer (pH 6.0). Section was blocked with 10% normal goat serum 30min at RT. Then primary antibody (1% BSA) was incubated at 4°C overnight. The primary is detected by a biotinylated secondary antibody and visualized using an HRP conjugated SP system.
-
-
其他:
產品詳情
-
產品名稱:Rabbit anti-Homo sapiens (Human) WDR35 Polyclonal antibody
-
Uniprot No.:
-
基因名:WDR35
-
別名:Intraflagellar transport protein 121 homolog antibody; KIAA1336 antibody; MGC33196 antibody; Naofen antibody; WD repeat domain 35 antibody; WD repeat-containing protein 35 antibody; WDR35 antibody; WDR35_HUMAN antibody
-
宿主:Rabbit
-
反應種屬:Human
-
免疫原:Recombinant Human WD repeat-containing protein 35 protein (954-1181AA)
-
免疫原種屬:Homo sapiens (Human)
-
標記方式:Non-conjugated
本頁面中的產品,WDR35 Antibody (CSB-PA879071LA01HU),的標記方式是Non-conjugated。對于WDR35 Antibody,我們還提供其他標記。見下表:
-
克隆類型:Polyclonal
-
抗體亞型:IgG
-
純化方式:>95%, Protein G purified
-
濃度:It differs from different batches. Please contact us to confirm it.
-
保存緩沖液:Preservative: 0.03% Proclin 300
Constituents: 50% Glycerol, 0.01M PBS, pH 7.4 -
產品提供形式:Liquid
-
應用范圍:ELISA, IHC
-
推薦稀釋比:
Application Recommended Dilution IHC 1:200-1:500 -
Protocols:
-
儲存條件:Upon receipt, store at -20°C or -80°C. Avoid repeated freeze.
-
貨期:Basically, we can dispatch the products out in 1-3 working days after receiving your orders. Delivery time maybe differs from different purchasing way or location, please kindly consult your local distributors for specific delivery time.
-
用途:For Research Use Only. Not for use in diagnostic or therapeutic procedures.
相關產品
靶點詳情
-
功能:As a component of the IFT complex A (IFT-A), a complex required for retrograde ciliary transport and entry into cilia of G protein-coupled receptors (GPCRs), it is involved in ciliogenesis and ciliary protein trafficking. May promote CASP3 activation and TNF-stimulated apoptosis.
-
基因功能參考文獻:
- Homozygous missense mutation in WDR35 gene is associated with multiple congenital anomalies, including brain malformations and skeletal dysplasia suggestive of cranioectodermal dysplasia ciliopathy. PMID: 29174089
- The observations of the Sensenbrenner syndrome patient in this study provide additional clinical data and expand the molecular spectrum of Sensenbrenner syndrome. Moreover, the two variants identified in the proband provide further evidence for the WDR35 mutations as the most common cause of this rare syndrome. PMID: 29134781
- A differential diagnosis of Sensenbrenner Syndrome was made after a novel homozygous missense mutation in WDR35 was identified in a patient with initial diagnosis of Jeune syndrome. PMID: 28870638
- Wdr35 regulates cilium assembly by selectively regulating transport of distinct cargoes. PMID: 27806291
- Psychomotor development was apparently normal. Molecular analysis in one of the affected individuals identified compound heterozygosity for a nonsense (c.1922T>G, p.(Leu641*)) and missense (c.2522A>T, p.(Asp841Val)) variants in WDR35. We PMID: 28332779
- Splicing variants in WDR35, and possibly in other IFT-A components, underlie a number of Ellis-van Creveld syndrome cases by disrupting targeting of both the EvC complex and Smoothened to cilia. PMID: 25908617
- report on the detection of novel WDR35 mutations in two unrelated cranioectodermal dysplasia patients PMID: 22486404
- A pathogenic WDR35 mutation was identified in a family with a complex clinical presentation that includes significant overlap of the phenotypes described in Sensenbrenner syndrome and the unclassified short-rib polydactyly syndromes. PMID: 22987818
- Through structural modeling, we show that WDR35 has strong homology to the COPI coatamers involved in vesicular trafficking and that short-rib polydactyly mutations affect key structural elements in WDR35. PMID: 21473986
- WDR35 is homologous to TULP4 (from the Tubby superfamily) and has previously been characterized as an intraflagellar transport component, confirming that Sensenbrenner syndrome is a ciliary disorder. PMID: 20817137
- These results indicated that naofen may function as a novel modulator activating caspase-3, and promoting TNF-alpha-stimulated apoptosis. PMID: 20193664
顯示更多
收起更多
-
相關疾病:Cranioectodermal dysplasia 2 (CED2); Short-rib thoracic dysplasia 7 with or without polydactyly (SRTD7)
-
亞細胞定位:Cytoplasm, cytoskeleton, microtubule organizing center, centrosome. Cytoplasm, cytoskeleton, cilium axoneme. Cytoplasm, cytoskeleton, cilium basal body.
-
數據庫鏈接:
Most popular with customers
-
-
YWHAB Recombinant Monoclonal Antibody
Applications: ELISA, WB, IHC, IF, FC
Species Reactivity: Human, Mouse, Rat
-
Phospho-YAP1 (S127) Recombinant Monoclonal Antibody
Applications: ELISA, WB, IHC
Species Reactivity: Human
-
-
-
-
-















