WDFY4 Antibody
-
中文名稱:WDFY4兔多克隆抗體
-
貨號:CSB-PA747798LA01HU
-
規格:¥440
-
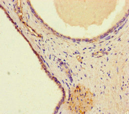
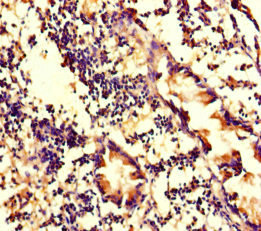
圖片:
-
其他:
產品詳情
-
產品描述:
The WDFY4 polyclonal antibody is raised in rabbits against the peptide corresponding to amino acid residues 1-322 of the human WDFY4 protein. It occurs as an unconjugated IgG. It is purified by protein G and reaches up to 95% in purity. And it only reacts with human WDFY4 protein. Validations of this antibody have been done in ELISA and IHC assays. The target protein WDFY4 is required for the cross-presentation of cell- and bacterial-associated antigens. It also plays a key role in cDC1-mediated viral and tumor immunity.
-
產品名稱:Rabbit anti-Homo sapiens (Human) WDFY4 Polyclonal antibody
-
Uniprot No.:
-
基因名:WDFY4
-
別名:WDFY4 antibody; C10orf64 antibody; KIAA1607WD repeat- and FYVE domain-containing protein 4 antibody
-
宿主:Rabbit
-
反應種屬:Human
-
免疫原:Recombinant Human WD repeat- and FYVE domain-containing protein 4 protein (1-322AA)
-
免疫原種屬:Homo sapiens (Human)
-
標記方式:Non-conjugated
本頁面中的產品,WDFY4 Antibody (CSB-PA747798LA01HU),的標記方式是Non-conjugated。對于WDFY4 Antibody,我們還提供其他標記。見下表:
-
克隆類型:Polyclonal
-
抗體亞型:IgG
-
純化方式:>95%, Protein G purified
-
濃度:It differs from different batches. Please contact us to confirm it.
-
保存緩沖液:Preservative: 0.03% Proclin 300
Constituents: 50% Glycerol, 0.01M PBS, PH 7.4 -
產品提供形式:Liquid
-
應用范圍:ELISA, IHC
-
推薦稀釋比:
Application Recommended Dilution IHC 1:20-1:200 -
Protocols:
-
儲存條件:Upon receipt, store at -20°C or -80°C. Avoid repeated freeze.
-
貨期:Basically, we can dispatch the products out in 1-3 working days after receiving your orders. Delivery time maybe differs from different purchasing way or location, please kindly consult your local distributors for specific delivery time.
-
用途:For Research Use Only. Not for use in diagnostic or therapeutic procedures.
相關產品
靶點詳情
-
功能:Plays a critical role in the regulation of cDC1-mediated cross-presentation of viral and tumor antigens in dendritic cells. Mechanistically, acts near the plasma membrane and interacts with endosomal membranes to promote endosomal-to-cytosol antigen trafficking. Plays also a role in B-cell survival through regulation of autophagy.
-
基因功能參考文獻:
- A significantly increased risk for RA associated with the WDFY4 rs7097397 AG genotype. PMID: 24549174
- rs877819 SNP in WDFY4 may be associated with systemic lupus erythematosus by reduced binding of YY1 and downregulating WDFY4 expression. PMID: 22972472
- Genetic variants in ETS1 and WDFY4 were found to be associated with systemic lupus erythematosus, in the Asian population studied. PMID: 20169177
-
亞細胞定位:Early endosome. Endoplasmic reticulum.
-
數據庫鏈接:
Most popular with customers
-
-
YWHAB Recombinant Monoclonal Antibody
Applications: ELISA, WB, IHC, IF, FC
Species Reactivity: Human, Mouse, Rat
-
Phospho-YAP1 (S127) Recombinant Monoclonal Antibody
Applications: ELISA, WB, IHC
Species Reactivity: Human
-
-
-
-
-















