WAC Antibody
-
中文名稱:WAC兔多克隆抗體
-
貨號:CSB-PA861133HA01HU
-
規格:¥440
-
圖片:
-
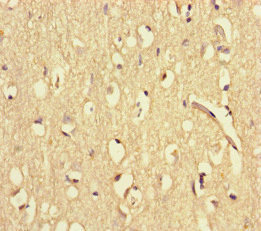
Immunohistochemistry of paraffin-embedded human brain tissue using CSB-PA861133HA01HU at dilution of 1:100
-
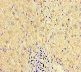
Immunohistochemistry of paraffin-embedded human liver cancer using CSB-PA861133HA01HU at dilution of 1:100
-
Immunofluorescent analysis of MCF-7 cells using CSB-PA861133HA01HU at dilution of 1:100 and Alexa Fluor 488-congugated AffiniPure Goat Anti-Rabbit IgG(H+L)
-
-
其他:
產品詳情
-
產品名稱:Rabbit anti-Homo sapiens (Human) WAC Polyclonal antibody
-
Uniprot No.:
-
基因名:WAC
-
別名:1110067P07Rik antibody; BA48B24 antibody; BA48B24.1 antibody; BM 016 antibody; FLJ31290 antibody; KIAA1844 antibody; MGC10753 antibody; OTTHUMP00000019380 antibody; OTTHUMP00000019382 antibody; PRO1741 antibody; wac antibody; WAC_HUMAN antibody; WW domain containing adapter protein with coiled coil antibody; WW domain containing adaptor with coiled coil antibody; WW domain-containing adapter protein with coiled-coil antibody; Wwp4 antibody
-
宿主:Rabbit
-
反應種屬:Human
-
免疫原:Recombinant Human WW domain-containing adapter protein with coiled-coil protein (10-102AA)
-
免疫原種屬:Homo sapiens (Human)
-
標記方式:Non-conjugated
本頁面中的產品,WAC Antibody (CSB-PA861133HA01HU),的標記方式是Non-conjugated。對于WAC Antibody,我們還提供其他標記。見下表:
-
克隆類型:Polyclonal
-
抗體亞型:IgG
-
純化方式:>95%, Protein G purified
-
濃度:It differs from different batches. Please contact us to confirm it.
-
保存緩沖液:Preservative: 0.03% Proclin 300
Constituents: 50% Glycerol, 0.01M PBS, PH 7.4 -
產品提供形式:Liquid
-
應用范圍:ELISA, IHC, IF
-
推薦稀釋比:
Application Recommended Dilution IHC 1:20-1:200 IF 1:50-1:200 -
Protocols:
-
儲存條件:Upon receipt, store at -20°C or -80°C. Avoid repeated freeze.
-
貨期:Basically, we can dispatch the products out in 1-3 working days after receiving your orders. Delivery time maybe differs from different purchasing way or location, please kindly consult your local distributors for specific delivery time.
-
用途:For Research Use Only. Not for use in diagnostic or therapeutic procedures.
相關產品
靶點詳情
-
功能:Acts as a linker between gene transcription and histone H2B monoubiquitination at 'Lys-120' (H2BK120ub1). Interacts with the RNA polymerase II transcriptional machinery via its WW domain and with RNF20-RNF40 via its coiled coil region, thereby linking and regulating H2BK120ub1 and gene transcription. Regulates the cell-cycle checkpoint activation in response to DNA damage. Positive regulator of amino acid starvation-induced autophagy. Also acts as a negative regulator of basal autophagy. Positively regulates MTOR activity by promoting, in an energy-dependent manner, the assembly of the TTT complex composed of TELO2, TTI1 and TTI2 and the RUVBL complex composed of RUVBL1 and RUVBL2 into the TTT-RUVBL complex. This leads to the dimerization of the mTORC1 complex and its subsequent activation. May negatively regulate the ubiquitin proteasome pathway.
-
基因功能參考文獻:
- Our observation allows us to redefine the smallest region of overlap among patients reported so far, with a size of 80 Kb and which contains only the WAC gene. These findings strengthen the hypothesis that haploinsufficency of WAC gene might be likely responsible for intellectual disability and behavior disorders. PMID: 27119754
- De novo WAC loss-of-function mutations were identified through exome sequencing of individuals with unexplained intellectual disability. PMID: 26757981
- WAC loss-of-function mutations cause a recognisable syndrome characterised by dysmorphic features, developmental delay and hypotonia and recapitulate 10p11.23 microdeletion syndrome PMID: 26264232
- The identification of SCOC and WAC as novel regulatory proteins with diverse functions in autophagy contributes towards a fuller understanding of autophagosome formation. PMID: 22354037
-
相關疾病:DeSanto-Shinawi syndrome (DESSH)
-
亞細胞定位:Nucleus speckle. Nucleus.
-
數據庫鏈接:
Most popular with customers
-
-
YWHAB Recombinant Monoclonal Antibody
Applications: ELISA, WB, IHC, IF, FC
Species Reactivity: Human, Mouse, Rat
-
Phospho-YAP1 (S127) Recombinant Monoclonal Antibody
Applications: ELISA, WB, IHC
Species Reactivity: Human
-
-
-
-
-















