VPS52 Antibody
-
中文名稱:VPS52兔多克隆抗體
-
貨號:CSB-PA850779LA01HU
-
規格:¥440
-
圖片:
-
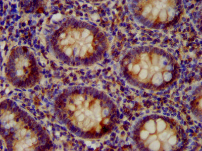
IHC image of CSB-PA850779LA01HU diluted at 1:200 and staining in paraffin-embedded human small intestine tissue performed on a Leica BondTM system. After dewaxing and hydration, antigen retrieval was mediated by high pressure in a citrate buffer (pH 6.0). Section was blocked with 10% normal goat serum 30min at RT. Then primary antibody (1% BSA) was incubated at 4°C overnight. The primary is detected by a biotinylated secondary antibody and visualized using an HRP conjugated SP system.
-
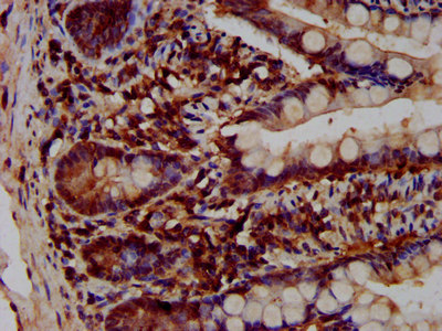
IHC image of CSB-PA850779LA01HU diluted at 1:200 and staining in paraffin-embedded human appendix tissue performed on a Leica BondTM system. After dewaxing and hydration, antigen retrieval was mediated by high pressure in a citrate buffer (pH 6.0). Section was blocked with 10% normal goat serum 30min at RT. Then primary antibody (1% BSA) was incubated at 4°C overnight. The primary is detected by a biotinylated secondary antibody and visualized using an HRP conjugated SP system.
-
-
其他:
產品詳情
-
產品名稱:Rabbit anti-Homo sapiens (Human) VPS52 Polyclonal antibody
-
Uniprot No.:
-
基因名:VPS52
-
別名:VPS52 antibody; SACM2LVacuolar protein sorting-associated protein 52 homolog antibody; SAC2 suppressor of actin mutations 2-like protein antibody
-
宿主:Rabbit
-
反應種屬:Human
-
免疫原:Recombinant Human Vacuolar protein sorting-associated protein 52 homolog protein (277-377AA)
-
免疫原種屬:Homo sapiens (Human)
-
標記方式:Non-conjugated
本頁面中的產品,VPS52 Antibody (CSB-PA850779LA01HU),的標記方式是Non-conjugated。對于VPS52 Antibody,我們還提供其他標記。見下表:
-
克隆類型:Polyclonal
-
抗體亞型:IgG
-
純化方式:>95%, Protein G purified
-
濃度:It differs from different batches. Please contact us to confirm it.
-
保存緩沖液:Preservative: 0.03% Proclin 300
Constituents: 50% Glycerol, 0.01M PBS, pH 7.4 -
產品提供形式:Liquid
-
應用范圍:ELISA, IHC
-
推薦稀釋比:
Application Recommended Dilution IHC 1:200-1:500 -
Protocols:
-
儲存條件:Upon receipt, store at -20°C or -80°C. Avoid repeated freeze.
-
貨期:Basically, we can dispatch the products out in 1-3 working days after receiving your orders. Delivery time maybe differs from different purchasing way or location, please kindly consult your local distributors for specific delivery time.
-
用途:For Research Use Only. Not for use in diagnostic or therapeutic procedures.
相關產品
靶點詳情
-
功能:Acts as component of the GARP complex that is involved in retrograde transport from early and late endosomes to the trans-Golgi network (TGN). The GARP complex is required for the maintenance of the cycling of mannose 6-phosphate receptors between the TGN and endosomes, this cycling is necessary for proper lysosomal sorting of acid hydrolases such as CTSD. Acts as component of the EARP complex that is involved in endocytic recycling. The EARP complex associates with Rab4-positive endosomes and promotes recycling of internalized transferrin receptor (TFRC) to the plasma membrane.
-
基因功能參考文獻:
- Loss of heterozygosity and stop-gain mutation of VPS52 were found in gastric cancer. PMID: 28791438
- These data demonstrate that the beneficial properties of SFN extend beyond activation of the KEAP1-Nrf2-ARE system and warrant further interrogation given the current use of this agent in multiple clinical trials PMID: 27889639
- our data indicate that cisplatin resistance in HOCCs is partially attributable to their high expression of p62, which plays an important role in preventing ROS stress-induced apoptosis by regulating the Keap1-Nrf2-ARE signaling pathway. PMID: 25269472
- Golgi-associated retrograde protein orchestrates retrograde transport from endosomes to the trans-Golgi network by promoting vesicle tethering and assembly of SNARE complexes in consecutive, independent steps.[Golgi associated retrograde protein] PMID: 19620288
- Golgi associated retrograde protein complex, consisting of the Vps52, Vps53, and Vps54 proteins, shows significant conservation between various species but diversification and specialization result in important differences in human cells. PMID: 15878329
- Missorting of cathepsin D in GARP-depleted cells results from accumulation of recycling MPRs in a population of light, small vesicles downstream of endosomes. PMID: 18367545
顯示更多
收起更多
-
亞細胞定位:Golgi apparatus, trans-Golgi network membrane; Peripheral membrane protein. Endosome membrane; Peripheral membrane protein. Recycling endosome.
-
蛋白家族:VPS52 family
-
數據庫鏈接:
Most popular with customers
-
-
Phospho-YAP1 (S127) Recombinant Monoclonal Antibody
Applications: ELISA, WB, IHC
Species Reactivity: Human
-
-
-
-
-
-















