VPS41 Antibody
-
中文名稱:VPS41兔多克隆抗體
-
貨號:CSB-PA109581
-
規格:¥1100
-
圖片:
-
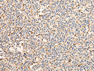
The image on the left is immunohistochemistry of paraffin-embedded Human liver cancer tissue using CSB-PA109581(VPS41 Antibody) at dilution 1/25, on the right is treated with fusion protein. (Original magnification: ×200)
-
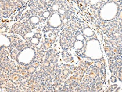
The image on the left is immunohistochemistry of paraffin-embedded Human thyroid cancer tissue using CSB-PA109581(VPS41 Antibody) at dilution 1/25, on the right is treated with fusion protein. (Original magnification: ×200)
-
-
其他:
產品詳情
-
Uniprot No.:
-
基因名:VPS41
-
別名:VPS41 antibody; Vacuolar protein sorting-associated protein 41 homolog antibody; S53 antibody
-
宿主:Rabbit
-
反應種屬:Human,Mouse
-
免疫原:Fusion protein of Human VPS41
-
免疫原種屬:Homo sapiens (Human)
-
標記方式:Non-conjugated
-
抗體亞型:IgG
-
純化方式:Antigen affinity purification
-
濃度:It differs from different batches. Please contact us to confirm it.
-
保存緩沖液:-20°C, pH7.4 PBS, 0.05% NaN3, 40% Glycerol
-
產品提供形式:Liquid
-
應用范圍:ELISA,IHC
-
推薦稀釋比:
Application Recommended Dilution ELISA 1:2000-1:5000 IHC 1:25-1:100 -
Protocols:
-
儲存條件:Upon receipt, store at -20°C or -80°C. Avoid repeated freeze.
-
貨期:Basically, we can dispatch the products out in 1-3 working days after receiving your orders. Delivery time maybe differs from different purchasing way or location, please kindly consult your local distributors for specific delivery time.
-
用途:For Research Use Only. Not for use in diagnostic or therapeutic procedures.
相關產品
靶點詳情
-
功能:Plays a role in vesicle-mediated protein trafficking to lysosomal compartments including the endocytic membrane transport and autophagic pathways. Believed to act in part as a core component of the putative HOPS endosomal tethering complex is proposed to be involved in the Rab5-to-Rab7 endosome conversion probably implicating MON1A/B, and via binding SNAREs and SNARE complexes to mediate tethering and docking events during SNARE-mediated membrane fusion. The HOPS complex is proposed to be recruited to Rab7 on the late endosomal membrane and to regulate late endocytic, phagocytic and autophagic traffic towards lysosomes. Involved in homotypic vesicle fusions between late endosomes and in heterotypic fusions between late endosomes and lysosomes implicated in degradation of endocytosed cargo. Required for fusion of autophagosomes with lysosomes. Links the HOPS complex to endosomal Rab7 via its association with RILP and to lysosomal membranes via its association with ARL8B, suggesting that these interactions may bring the compartments to close proximity for fusion. Involved in the direct trans-Golgi network to late endosomes transport of lysosomal membrane proteins independently of HOPS. Involved in sorting to the regulated secretory pathway presumably implicating the AP-3 adaptor complex. May play a role in HOPS-independent function in the regulated secretory pathway.
-
基因功能參考文獻:
- VPS18 recruits VPS41 to the human HOPS complex via a RING-RING interaction PMID: 28931724
- VPS41 subunit of HOPS complex was defined to be the major partner for interacting with RILP. PMID: 25445562
- hVps41 and VAMP7 are specifically involved in the fusion of trans-Golgi network-derived lysosome-associated membrane protein carriers with late endosomes. PMID: 23322049
- Vps41 knockdown impairs late endosome fusion and fusion between late endosomes and lysosomes. PMID: 23167963
- Both a functional heterotetrameric adaptor protein complex and a homotypic fusion and vacuole protein sorting-tethering complex are required for VPS41 to elicit neuroprotection in a transgenic model of Parkinson's disease. PMID: 22323726
- These data show that hVPS41 is protective against both alpha-syn and neurotoxic-mediated injury in invertebrate and cellular models of PD. PMID: 19850127
顯示更多
收起更多
-
亞細胞定位:Endosome membrane. Late endosome. Lysosome. Golgi apparatus, trans-Golgi network. Early endosome. Cytoplasmic vesicle, clathrin-coated vesicle.;
-
蛋白家族:VPS41 family
-
數據庫鏈接:
Most popular with customers
-
-
YWHAB Recombinant Monoclonal Antibody
Applications: ELISA, WB, IHC, IF, FC
Species Reactivity: Human, Mouse, Rat
-
Phospho-YAP1 (S127) Recombinant Monoclonal Antibody
Applications: ELISA, WB, IHC
Species Reactivity: Human
-
-
-
-
-















