VMP1 Antibody
-
中文名稱:VMP1兔多克隆抗體
-
貨號:CSB-PA292260
-
規格:¥1100
-
圖片:
-
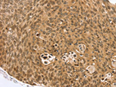
The image on the left is immunohistochemistry of paraffin-embedded Human esophagus cancer tissue using CSB-PA292260(VMP1 Antibody) at dilution 1/35, on the right is treated with synthetic peptide. (Original magnification: ×200)
-
The image on the left is immunohistochemistry of paraffin-embedded Human thyroid cancer tissue using CSB-PA292260(VMP1 Antibody) at dilution 1/35, on the right is treated with synthetic peptide. (Original magnification: ×200)
-
Gel: 8%SDS-PAGE, Lysate: 80 μg, Lane: 293T cell, Primary antibody: CSB-PA292260(VMP1 Antibody) at dilution 1/800 dilution, Secondary antibody: Goat anti rabbit IgG at 1/8000 dilution, Exposure time: 1 minute
-
-
其他:
產品詳情
-
Uniprot No.:
-
基因名:
-
別名:VMP1; TDC1; TMEM49; HSPC292; Vacuole membrane protein 1; Transmembrane protein 49
-
宿主:Rabbit
-
反應種屬:Human,Mouse,Rat
-
免疫原:Synthetic peptide of Human VMP1
-
免疫原種屬:Homo sapiens (Human)
-
標記方式:Non-conjugated
-
抗體亞型:IgG
-
純化方式:Antigen affinity purification
-
濃度:It differs from different batches. Please contact us to confirm it.
-
保存緩沖液:-20°C, pH7.4 PBS, 0.05% NaN3, 40% Glycerol
-
產品提供形式:Liquid
-
應用范圍:ELISA,WB,IHC
-
推薦稀釋比:
Application Recommended Dilution ELISA 1:2000-1:5000 WB 1:500-1:2000 IHC 1:25-1:100 -
Protocols:
-
儲存條件:Upon receipt, store at -20°C or -80°C. Avoid repeated freeze.
-
貨期:Basically, we can dispatch the products out in 1-3 working days after receiving your orders. Delivery time maybe differs from different purchasing way or location, please kindly consult your local distributors for specific delivery time.
-
用途:For Research Use Only. Not for use in diagnostic or therapeutic procedures.
相關產品
靶點詳情
-
功能:Phospholipid scramblase involved in lipid homeostasis and membrane dynamics processes. Has phospholipid scramblase activity toward cholesterol and phosphatidylserine, as well as phosphatidylethanolamine and phosphatidylcholine. Required for autophagosome formation: participates in early stages of autophagosome biogenesis at the endoplasmic reticulum (ER) membrane by reequilibrating the leaflets of the ER as lipids are extracted by ATG2 (ATG2A or ATG2B) to mediate autophagosome assembly. Regulates ATP2A2 activity to control ER-isolation membrane contacts for autophagosome formation. In addition to autophagy, involved in other processes in which phospholipid scramblase activity is required. Modulates ER contacts with lipid droplets, mitochondria and endosomes. Plays an essential role in formation of cell junctions. Upon stress such as bacterial and viral infection, promotes formation of cytoplasmic vacuoles followed by cell death. Involved in the cytoplasmic vacuolization of acinar cells during the early stage of acute pancreatitis.; (Microbial infection) Host factor required for infection by all flaviviruses tested such as Zika virus and Yellow fever virus. Probably required post-entry of the virus to facilitate the ER membrane remodeling necessary to form replication organelles.
-
基因功能參考文獻:
- It has been concluded that VMP1-mediated autophagy cooperated with Kras to promote pancreatic ductal adenocarcinoma initiation. PMID: 27415425
- VMP1 modulates SERCA2 activity to control endoplasmic reticulum contacts for autophagosome formation. PMID: 28890335
- We hypothesize that in autophagy VMP1 is required for the correct morphogenesis of the omegasome by regulating MCS at the site of autophagosome formation. PMID: 27861594
- expression of TMEM49 seems to be associated with the apoptosis and metastasis up signaling pathways of ovarian cancer, and suppression of its expression can inhibit cancer cell growth and metastasis PMID: 27023910
- Study indicated that the expression of VMP1 was down-regulated and negatively correlated to the prognosis of colorectal cancer. PMID: 26328607
- In colorectal cancer cells, VMP1-dependent autophagy appears to be pro-survival rather than pro-cell death. PMID: 24365149
- in patients with invasive ductal carcinoma of the breast, Vmp1 expression had significant influence on disease-free survival time, with Vmp1-negative patients showing poor prognosis PMID: 23710913
- These results underscore a novel role for VMP1 as a potential therapeutic target for combinatorial therapies aimed at sensitizing pancreatic cancer cells to chemotherapeutic agents PMID: 23460482
- The VMP1-Beclin 1 interaction regulates autophagy induction. PMID: 23316280
- upregulation of Vmp1 was associated with suppression of growth and pulmonary metastases of HCC. PMID: 22971212
- AKT1-GLI3-VMP1 pathway mediates KRAS oncogene-induced autophagy in cancer cells. PMID: 22535956
- The expression of VMP1 had significant negative influence on the survival rate of non-small-cell lung cancer patients. PMID: 22333543
- VMP1 is reduced by hypoxia, and down-regulation of VMP1 by miR-210 mediates hypoxia-induced HCC cell metastasis. PMID: 22144109
- A fusion transcript (RPS6KB1-VMP1) recurrently expressed in 30% of breast cancers is associated with clinical consequences and may indicate genomic instability altering the expression of oncogenic components such as MIR21 and RPS6KB1. PMID: 21467264
- Zymophagy, a novel selective autophagy pathway mediated by VMP1-USP9x-p62, prevents pancreatic cell death. PMID: 21173155
- VMP1 knockdown decreased autophagy and apoptosis in gemcitabine-treated cancer cells PMID: 20299819
- Endogenously expressed Vmp1 is essentially a cell membrane protein that is involved in cell-cell adhesion, invasion and metastasis. PMID: 17724469
- VMP1 as a novel autophagy-related membrane protein involved in the initial steps of the mammalian cell autophagic process. PMID: 17940279
- Vacuole membrane protein 1 is an endoplasmic reticulum protein required for organelle biogenesis, protein secretion, and development PMID: 18550798
顯示更多
收起更多
-
亞細胞定位:Endoplasmic reticulum-Golgi intermediate compartment membrane; Multi-pass membrane protein. Cell membrane; Multi-pass membrane protein. Vacuole membrane; Multi-pass membrane protein. Endoplasmic reticulum membrane; Multi-pass membrane protein.
-
蛋白家族:VMP1 family
-
數據庫鏈接:
Most popular with customers
-
-
YWHAB Recombinant Monoclonal Antibody
Applications: ELISA, WB, IHC, IF, FC
Species Reactivity: Human, Mouse, Rat
-
Phospho-YAP1 (S127) Recombinant Monoclonal Antibody
Applications: ELISA, WB, IHC
Species Reactivity: Human
-
-
-
-
-















