VIL1 Antibody
-
中文名稱:VIL1兔多克隆抗體
-
貨號:CSB-PA039084
-
規格:¥1100
-
圖片:
-
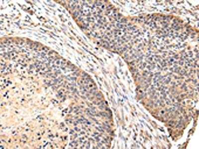
The image on the left is immunohistochemistry of paraffin-embedded Human esophagus cancer tissue using CSB-PA039084(VIL1 Antibody) at dilution 1/30, on the right is treated with fusion protein. (Original magnification: ×200)
-
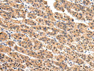
The image on the left is immunohistochemistry of paraffin-embedded Human liver cancer tissue using CSB-PA039084(VIL1 Antibody) at dilution 1/30, on the right is treated with fusion protein. (Original magnification: ×200)
-
Gel: 6%SDS-PAGE, Lysate: 40 μg, Lane: HT-29 cell, Primary antibody: CSB-PA039084(VIL1 Antibody) at dilution 1/250 dilution, Secondary antibody: Goat anti rabbit IgG at 1/8000 dilution, Exposure time: 3 seconds
-
-
其他:
產品詳情
-
Uniprot No.:
-
基因名:VIL1
-
別名:D2S1471 antibody; OTTHUMP00000164145 antibody; VIL antibody; VIL1 antibody; VILI_HUMAN antibody; Villin 1 antibody; Villin-1 antibody; Villin1 antibody
-
宿主:Rabbit
-
反應種屬:Human
-
免疫原:Full length fusion protein
-
免疫原種屬:Homo sapiens (Human)
-
標記方式:Non-conjugated
-
抗體亞型:IgG
-
純化方式:Antigen affinity purification
-
濃度:It differs from different batches. Please contact us to confirm it.
-
保存緩沖液:-20°C, pH7.4 PBS, 0.05% NaN3, 40% Glycerol
-
產品提供形式:Liquid
-
應用范圍:ELISA,WB,IHC
-
推薦稀釋比:
Application Recommended Dilution ELISA 1:1000-1:2000 WB 1:200-1:1000 IHC 1:25-1:100 -
Protocols:
-
儲存條件:Upon receipt, store at -20°C or -80°C. Avoid repeated freeze.
-
貨期:Basically, we can dispatch the products out in 1-3 working days after receiving your orders. Delivery time maybe differs from different purchasing way or location, please kindly consult your local distributors for specific delivery time.
-
用途:For Research Use Only. Not for use in diagnostic or therapeutic procedures.
相關產品
靶點詳情
-
功能:Epithelial cell-specific Ca(2+)-regulated actin-modifying protein that modulates the reorganization of microvillar actin filaments. Plays a role in the actin nucleation, actin filament bundle assembly, actin filament capping and severing. Binds phosphatidylinositol 4,5-bisphosphate (PIP2) and lysophosphatidic acid (LPA); binds LPA with higher affinity than PIP2. Binding to LPA increases its phosphorylation by SRC and inhibits all actin-modifying activities. Binding to PIP2 inhibits actin-capping and -severing activities but enhances actin-bundling activity. Regulates the intestinal epithelial cell morphology, cell invasion, cell migration and apoptosis. Protects against apoptosis induced by dextran sodium sulfate (DSS) in the gastrointestinal epithelium. Appears to regulate cell death by maintaining mitochondrial integrity. Enhances hepatocyte growth factor (HGF)-induced epithelial cell motility, chemotaxis and wound repair. Upon S.flexneri cell infection, its actin-severing activity enhances actin-based motility of the bacteria and plays a role during the dissemination.
-
基因功能參考文獻:
- Villin, Pro-Ex-C and progesterone/estrogen receptor expression have diagnostic and predictive roles in endocervical and endometrioid adenocarcinoma. PMID: 28832070
- Induction of cell stress alters the actin cytoskeleton in intestinal epithelial cells via changes in the actin-binding proteins villin-1 and gelsolin. PMID: 29274870
- Villin 1 is released in plasma during acute kidney injury and shows potential as an early marker for proximal tubular injury/necrosis. PMID: 28704336
- Villin has a higher positive expression in Primary Pulmonary Enteric Adenocarcinoma cases. Villin proved to be a very sensitive and helpful enteric marker in the differential diagnosis between PEAC and other lung adenocarcinomas. PMID: 28953659
- villin directly interacts with a transcriptional corepressor and ligand of the Slug promoter, ZBRK1. PMID: 26658611
- Data indicate an association between highly fucosylated glycans and caudal type homeobox 1 (CDX1) and/or villin mRNA expression that both correlate with cell differentiation. PMID: 26537799
- study demonstrates that G. duodenalis-mediated disruption of villin is, at least, in part dependent on activation of myosin light chain kinase PMID: 26334299
- Thus, villin plays an important role in establishing the balance between actin polymerization and actin severing to facilitate the initial steps of Salmonella entry. PMID: 25600187
- Collective expression pattern of tensin/profilin-1/villin-1/talin could be a biomarker to estimate the prognosis of esophageal squamous cell carcinoma patients. PMID: 25337239
- harmonin and villin autoantibodies are sensitive and specific markers of IPEX, differentiate IPEX, including atypical cases, from other early childhood disorders associated with enteropathy PMID: 24250806
- villin immunohistochemistry is a reliable and superior adjunct in the diagnosis of microvillus inclusion disease PMID: 25517957
- Discriminated small-cell lung carcinoma from large-cell neuroendocrine lung carcinoma with immunohistochemical markers BAI3, CDX2 and VIL1. PMID: 24266897
- We demonstrated that the VIL1 gene is a potential candidate molecular marker for high serum AFP-associated HCC and a predictive candidate for the postoperative recurrence and poorer prognosis of HCC. PMID: 22530999
- study confirmed finding of VIL1 as a diagnostic marker of cervical adenocarcinoma PMID: 21623163
- identified villin, an actin-binding protein, as the 95 kDa antigen in four of five sera from patients with IPEX syndrome PMID: 21741320
- identified VIL1 as a novel biomarker of cervical adenocarcinoma PMID: 19377296
- villin has calcium-sensitive actin-capping and actin-depolymerizing sites PMID: 15272027
- tyrosine phosphorylation at residues 60, 81, and 256 of human villin plays an essential role in cell migration as well as in the reorganization of the actin cytoskeleton PMID: 15342783
- H. pylori induction of villin in the stomach correlates with activation and cooperative binding of Elk-1 and the SRF to the proximal promoter of villin PMID: 15576363
- By severing actin filaments and capping their barbed ends, villin increases the concentration of actin monomers available for polymerization. PMID: 17182858
- Together, our results show that in epithelial cells ATX and LPA act as strong stimulators of cell migration by recruiting PLC-gamma 1 and villin, both of which participate in the initiation of protrusion. PMID: 18054784
- Villin is an actin regulatory protein that organizes, integrates and regulates multiple epithelial cell functions. PMID: 18307996
- Cdx2 regulates intestinal villin expression through recruiting Brm-type SWI/SNF complex to the villin promoter. PMID: 19371634
- Tyrosine phosphorylation of villin regulates the organization of the actin cytoskeleton PMID: 11500485
顯示更多
收起更多
-
相關疾?。?/div>Biliary atresia is a chronic and progressive cholestatic liver disease of chilhood characterized by an abnormal villin gene expression and severe malformation of canalicular microvillus structure.亞細胞定位:Cytoplasm, cytoskeleton. Cell projection, lamellipodium. Cell projection, ruffle. Cell projection, microvillus. Cell projection, filopodium tip. Cell projection, filopodium.蛋白家族:Villin/gelsolin family組織特異性:Specifically expressed in epithelial cells. Major component of microvilli of intestinal epithelial cells and kidney proximal tubule cells. Expressed in canalicular microvilli of hepatocytes (at protein level).數據庫鏈接:
Most popular with customers
-
-
YWHAB Recombinant Monoclonal Antibody
Applications: ELISA, WB, IHC, IF, FC
Species Reactivity: Human, Mouse, Rat
-
Phospho-YAP1 (S127) Recombinant Monoclonal Antibody
Applications: ELISA, WB, IHC
Species Reactivity: Human
-
-
-
-
-















