VGF Antibody
-
中文名稱:VGF兔多克隆抗體
-
貨號:CSB-PA980886
-
規格:¥1100
-
圖片:
-
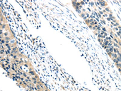
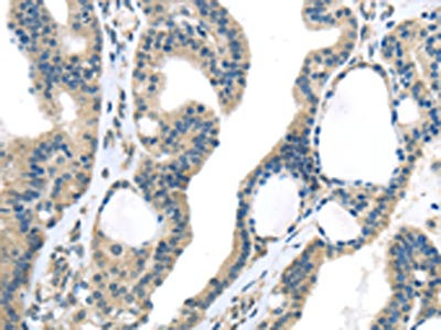
The image on the left is immunohistochemistry of paraffin-embedded Human thyroid cancer tissue using CSB-PA980886(VGF Antibody) at dilution 1/35, on the right is treated with synthetic peptide. (Original magnification: ×200)
-
The image on the left is immunohistochemistry of paraffin-embedded Human esophagus cancer tissue using CSB-PA980886(VGF Antibody) at dilution 1/35, on the right is treated with synthetic peptide. (Original magnification: ×200)
-
-
其他:
產品詳情
-
Uniprot No.:
-
基因名:
-
宿主:Rabbit
-
反應種屬:Human,Rat
-
免疫原:Synthetic peptide of Human VGF
-
免疫原種屬:Homo sapiens (Human)
-
標記方式:Non-conjugated
-
抗體亞型:IgG
-
純化方式:Antigen affinity purification
-
濃度:It differs from different batches. Please contact us to confirm it.
-
保存緩沖液:-20°C, pH7.4 PBS, 0.05% NaN3, 40% Glycerol
-
產品提供形式:Liquid
-
應用范圍:ELISA,IHC
-
推薦稀釋比:
Application Recommended Dilution ELISA 1:2000-1:5000 IHC 1:25-1:100 -
Protocols:
-
儲存條件:Upon receipt, store at -20°C or -80°C. Avoid repeated freeze.
-
貨期:Basically, we can dispatch the products out in 1-3 working days after receiving your orders. Delivery time maybe differs from different purchasing way or location, please kindly consult your local distributors for specific delivery time.
-
用途:For Research Use Only. Not for use in diagnostic or therapeutic procedures.
相關產品
靶點詳情
-
功能:Secreted polyprotein that is packaged and proteolytically processed by prohormone convertases PCSK1 and PCSK2 in a cell-type-specific manner. VGF and peptides derived from its processing play many roles in neurogenesis and neuroplasticity associated with learning, memory, depression and chronic pain.; Plays a role in the control of body fluid homeostasis by regulating vasopressin release. Suppresses presynaptic glutamatergic neurons connected to vasopressin neurons.; Plays a role in the control of body fluid homeostasis by regulating vasopressin release. Activates GABAergic interneurons which are inhibitory neurons of the nervous system and thereby suppresses presynaptic glutamatergic neurons. Stimulates also feeding behavior in an orexin-dependent manner in the hypothalamus. Functions as a positive regulator for the activation of orexin neurons resulting in elevated gastric acid secretion and gastric emptying.; Secreted multifunctional neuropeptide that binds to different cell receptors and thereby plays multiple physiological roles including modulation of energy expenditure, pain, response to stress, gastric regulation, glucose homeostasis as well as lipolysis. Activates the G-protein-coupled receptor C3AR1 via a folding-upon-binding mechanism leading to enhanced lipolysis in adipocytes. Interacts with C1QBP receptor in macrophages and microglia causing increased levels of intracellular calcium and hypersensitivity.; Plays a role in the regulation of memory formation and depression-related behaviors potentially by influencing synaptic plasticity and neurogenesis. Induces acute and transient activation of the NTRK2/TRKB receptor and subsequent CREB phosphorylation. Induces also insulin secretion in insulinoma cells by increasing intracellular calcium mobilization.; Has bactericidal activity against M. luteus, and antifungal activity against P. Pastoris.
-
亞細胞定位:[Neurosecretory protein VGF]: Secreted. Cytoplasmic vesicle, secretory vesicle. Note=Stored in secretory vesicles and then secreted, NERP peptides colocalize with vasopressin in the storage granules of hypothalamus.
-
組織特異性:Central and peripheral nervous systems, synthesized exclusively in neuronal and neuroendocrine cells.
-
數據庫鏈接:
Most popular with customers
-
-
YWHAB Recombinant Monoclonal Antibody
Applications: ELISA, WB, IHC, IF, FC
Species Reactivity: Human, Mouse, Rat
-
Phospho-YAP1 (S127) Recombinant Monoclonal Antibody
Applications: ELISA, WB, IHC
Species Reactivity: Human
-
-
-
-
-















