UXS1 Antibody
-
中文名稱:UXS1兔多克隆抗體
-
貨號:CSB-PA822754LA01HU
-
規格:¥440
-
圖片:
-
Western Blot
Positive WB detected in: JK whole cell lysate(20μg), HepG2 whole cell lysate(20μg), PC-3 whole cell lysate(20μg), A375 whole cell lysate(20μg)
All lanes: UXS1 antibody at 1:1000
Secondary
Goat polyclonal to rabbit IgG at 1/20000 dilution
Predicted band size: 48,49,29 kDa
Observed band size: 70-100 kDa
Exposure time: 120s -
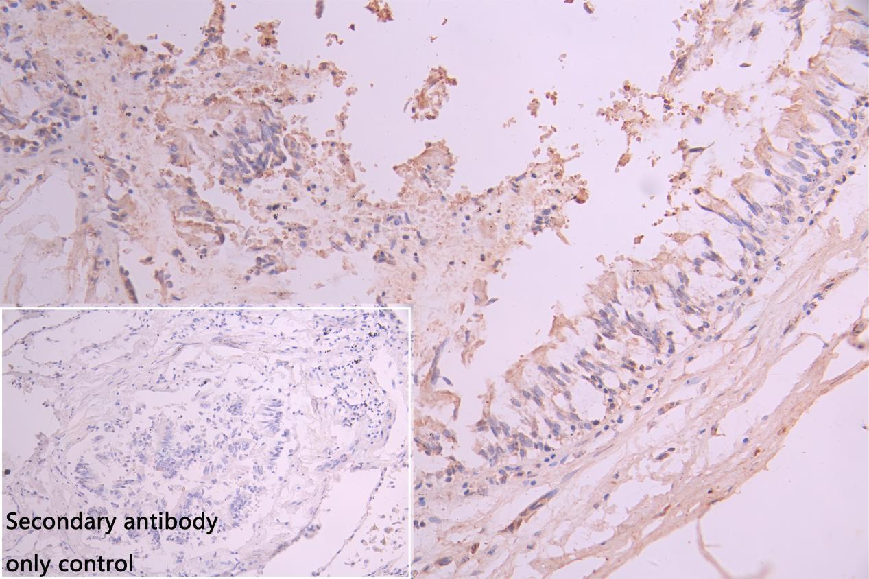
IHC image of CSB-PA822754LA01HU diluted at 1:50 and staining in paraffin-embedded human Lung tissue performed on a Leica BondTM system. After dewaxing and hydration, antigen retrieval was mediated by high pressure in a citrate buffer (pH 6.0). Section was blocked with 10% normal goat serum 30min at RT. Then primary antibody (1% BSA) was incubated at 4°C overnight. The primary is detected by a Goat anti-rabbit polymer IgG labeled by HRP and visualized using 0.05% DAB. Secondary antibody only control: uses 1% BSA instead of primary antibody
-
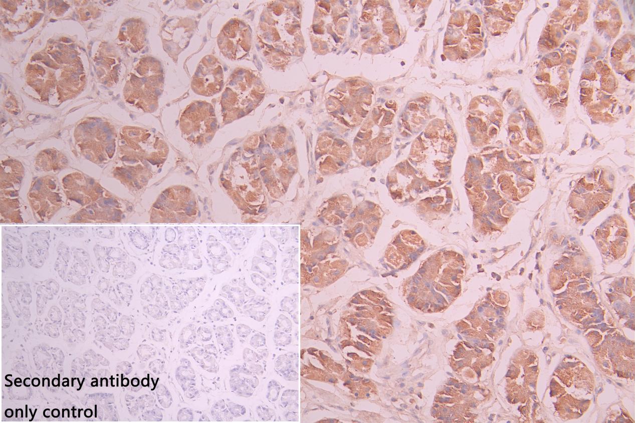
IHC image of CSB-PA822754LA01HU diluted at 1:50 and staining in paraffin-embedded human Stomach tissue performed on a Leica BondTM system. After dewaxing and hydration, antigen retrieval was mediated by high pressure in a citrate buffer (pH 6.0). Section was blocked with 10% normal goat serum 30min at RT. Then primary antibody (1% BSA) was incubated at 4°C overnight. The primary is detected by a Goat anti-rabbit polymer IgG labeled by HRP and visualized using 0.05% DAB. Secondary antibody only control: uses 1% BSA instead of primary antibody
-
-
其他:
產品詳情
-
產品名稱:Rabbit anti-Homo sapiens (Human) UXS1 Polyclonal antibody
-
Uniprot No.:
-
基因名:UXS1
-
別名:UXS1 antibody; UNQ2538/PRO6079 antibody; UDP-glucuronic acid decarboxylase 1 antibody; EC 4.1.1.35 antibody; UDP-glucuronate decarboxylase 1 antibody; UGD antibody; UXS-1 antibody
-
宿主:Rabbit
-
反應種屬:Human
-
免疫原:Recombinant Human UDP-glucuronic acid decarboxylase 1 protein (201-420AA)
-
免疫原種屬:Homo sapiens (Human)
-
標記方式:Non-conjugated
本頁面中的產品,UXS1 Antibody (CSB-PA822754LA01HU),的標記方式是Non-conjugated。對于UXS1 Antibody,我們還提供其他標記。見下表:
-
克隆類型:Polyclonal
-
抗體亞型:IgG
-
純化方式:Antigen affinity purification
-
濃度:It differs from different batches. Please contact us to confirm it.
-
保存緩沖液:Preservative: 0.03% Proclin 300
Constituents: 50% Glycerol, 0.01M PBS, PH 7.4 -
產品提供形式:Liquid
-
應用范圍:ELISA, WB, IHC
-
推薦稀釋比:
Application Recommended Dilution WB 1:500-1:2000 IHC 1:1:50-1:200 -
Protocols:
-
儲存條件:Upon receipt, store at -20°C or -80°C. Avoid repeated freeze.
-
貨期:Basically, we can dispatch the products out in 1-3 working days after receiving your orders. Delivery time maybe differs from different purchasing way or location, please kindly consult your local distributors for specific delivery time.
-
用途:For Research Use Only. Not for use in diagnostic or therapeutic procedures.
相關產品
靶點詳情
-
功能:Catalyzes the NAD-dependent decarboxylation of UDP-glucuronic acid to UDP-xylose. Necessary for the biosynthesis of the core tetrasaccharide in glycosaminoglycan biosynthesis.
-
基因功能參考文獻:
- The persistence of a latent hexamer-building interface in the human enzyme suggests that the ancestral UXS may have been a hexamer. PMID: 25521717
- hUXS forms a tetramer in solution that is important for activity. The higher activity of the tetramer coupled with the relative instability of the dimeric complex suggests that an association-dissociation mechanism may regulate hUXS activity. PMID: 23656592
- UDP-glucuronate decarboxylase, a key enzyme in proteoglycan synthesis: cloning, characterization, and localization. PMID: 11877387
- Complementation was achieved by expression of a cytoplasmic variant of UDP-xylose Synthase, which proves the existence of a functional Golgi UDP-xylose transporter[UDP-xylose Synthase] PMID: 19028698
-
亞細胞定位:Golgi apparatus, Golgi stack membrane; Single-pass type II membrane protein.
-
蛋白家族:NAD(P)-dependent epimerase/dehydratase family, UDP-glucuronic acid decarboxylase subfamily
-
數據庫鏈接:
Most popular with customers
-
-
YWHAB Recombinant Monoclonal Antibody
Applications: ELISA, WB, IHC, IF, FC
Species Reactivity: Human, Mouse, Rat
-
Phospho-YAP1 (S127) Recombinant Monoclonal Antibody
Applications: ELISA, WB, IHC
Species Reactivity: Human
-
-
-
-
-















