UST Antibody
-
中文名稱:UST兔多克隆抗體
-
貨號:CSB-PA897525LA01HU
-
規格:¥440
-
圖片:
-
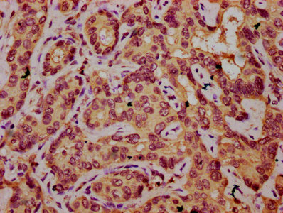
IHC image of CSB-PA897525LA01HU diluted at 1:200 and staining in paraffin-embedded human liver cancer performed on a Leica BondTM system. After dewaxing and hydration, antigen retrieval was mediated by high pressure in a citrate buffer (pH 6.0). Section was blocked with 10% normal goat serum 30min at RT. Then primary antibody (1% BSA) was incubated at 4°C overnight. The primary is detected by a biotinylated secondary antibody and visualized using an HRP conjugated SP system.
-
-
其他:
產品詳情
-
產品名稱:Rabbit anti-Homo sapiens (Human) UST Polyclonal antibody
-
Uniprot No.:
-
基因名:UST
-
別名:2OST antibody; DS2ST antibody; Uronyl 2-sulfotransferase antibody; uronyl-2-sulfotransferase antibody; Ust antibody; UST_HUMAN antibody
-
宿主:Rabbit
-
反應種屬:Human
-
免疫原:Recombinant Human Uronyl 2-sulfotransferase protein (85-183AA)
-
免疫原種屬:Homo sapiens (Human)
-
標記方式:Non-conjugated
本頁面中的產品,UST Antibody (CSB-PA897525LA01HU),的標記方式是Non-conjugated。對于UST Antibody,我們還提供其他標記。見下表:
-
克隆類型:Polyclonal
-
抗體亞型:IgG
-
純化方式:>95%, Protein G purified
-
濃度:It differs from different batches. Please contact us to confirm it.
-
保存緩沖液:Preservative: 0.03% Proclin 300
Constituents: 50% Glycerol, 0.01M PBS, pH 7.4 -
產品提供形式:Liquid
-
應用范圍:ELISA, IHC
-
推薦稀釋比:
Application Recommended Dilution IHC 1:200-1:500 -
Protocols:
-
儲存條件:Upon receipt, store at -20°C or -80°C. Avoid repeated freeze.
-
貨期:Basically, we can dispatch the products out in 1-3 working days after receiving your orders. Delivery time maybe differs from different purchasing way or location, please kindly consult your local distributors for specific delivery time.
-
用途:For Research Use Only. Not for use in diagnostic or therapeutic procedures.
相關產品
靶點詳情
-
功能:Sulfotransferase that catalyzes the transfer of sulfate to the position 2 of uronyl residues. Has mainly activity toward iduronyl residues in dermatan sulfate, and weaker activity toward glucuronyl residues of chondroitin sulfate. Has no activity toward desulfated N-resulfated heparin.
-
基因功能參考文獻:
- Results show that overexpression of 2OST alone in the HEK293 cells did not appreciably affect heparan sulfate (HS) chain length. Also, its simultaneous overexpression with Hsepi abolished the effect of Hsepi overexpression on the HS chain lengh. PMID: 27511124
- Statistical analysis showed the strongest evidence for a variant located in an intron of UST associated with job-related exhaustion. PMID: 23620144
- 2OST transfers sulfate preferentially to the GlcA residue located in a unique sequence, -GalNAc(4SO(4))-GlcA-GalNAc(6SO(4))-. PMID: 16192264
- analysis of differences and similarities various residues play in the biological roles of the HS-2OST and CS-2OST enzymes PMID: 17227754
-
亞細胞定位:Golgi apparatus membrane; Single-pass type II membrane protein.
-
蛋白家族:Sulfotransferase 3 family
-
組織特異性:Widely expressed.
-
數據庫鏈接:
Most popular with customers
-
-
YWHAB Recombinant Monoclonal Antibody
Applications: ELISA, WB, IHC, IF, FC
Species Reactivity: Human, Mouse, Rat
-
Phospho-YAP1 (S127) Recombinant Monoclonal Antibody
Applications: ELISA, WB, IHC
Species Reactivity: Human
-
-
-
-
-















