USP48 Antibody
-
中文名稱:USP48兔多克隆抗體
-
貨號:CSB-PA774808LA01HU
-
規格:¥440
-
圖片:
-
Western Blot
Positive WB detected in: Hela whole cell lysate, MCF-7 whole cell lysate, SH-SY5Y whole cell lysate, HepG2 whole cell lysate, A549 whole cell lysate
All lanes: USP48 antibody at 3.5μg/ml
Secondary
Goat polyclonal to rabbit IgG at 1/50000 dilution
Predicted band size: 120, 113, 82, 46, 60, 18, 57, 121 kDa
Observed band size: 120 kDa -
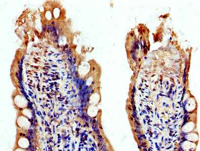
IHC image of CSB-PA774808LA01HU diluted at 1:200 and staining in paraffin-embedded human small intestine tissue performed on a Leica BondTM system. After dewaxing and hydration, antigen retrieval was mediated by high pressure in a citrate buffer (pH 6.0). Section was blocked with 10% normal goat serum 30min at RT. Then primary antibody (1% BSA) was incubated at 4°C overnight. The primary is detected by a biotinylated secondary antibody and visualized using an HRP conjugated SP system.
-
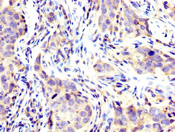
IHC image of CSB-PA774808LA01HU diluted at 1:200 and staining in paraffin-embedded human pancreatic cancer performed on a Leica BondTM system. After dewaxing and hydration, antigen retrieval was mediated by high pressure in a citrate buffer (pH 6.0). Section was blocked with 10% normal goat serum 30min at RT. Then primary antibody (1% BSA) was incubated at 4°C overnight. The primary is detected by a biotinylated secondary antibody and visualized using an HRP conjugated SP system.
-
Immunofluorescence staining of Hela cells with CSB-PA774808LA01HU at 1:66, counter-stained with DAPI. The cells were fixed in 4% formaldehyde, permeabilized using 0.2% Triton X-100 and blocked in 10% normal Goat Serum. The cells were then incubated with the antibody overnight at 4°C. The secondary antibody was Alexa Fluor 488-congugated AffiniPure Goat Anti-Rabbit IgG(H+L).
-
-
其他:
產品詳情
-
產品名稱:Rabbit anti-Homo sapiens (Human) USP48 Polyclonal antibody
-
Uniprot No.:
-
基因名:USP48
-
別名:AAH67261 antibody; Deubiquitinating enzyme 48 antibody; DKFZp762M1713 antibody; EC 3.1.2.15 antibody; Kiaa4202 antibody; MGC132556 antibody; MGC14879 antibody; RAP1GA1 antibody; Synaptic ubiquitin specific protease antibody; synUSP antibody; Ubiquitin carboxyl terminal hydrolase 48 antibody; Ubiquitin carboxyl-terminal hydrolase 48 antibody; Ubiquitin specific peptidase 48 antibody; Ubiquitin specific processing protease 48 antibody; Ubiquitin specific protease 31 antibody; Ubiquitin specific protease 48 antibody; Ubiquitin thioesterase 48 antibody; Ubiquitin thiolesterase 48 antibody; Ubiquitin-specific-processing protease 48 antibody; UBP48_HUMAN antibody; USP31 antibody; USP48 antibody
-
宿主:Rabbit
-
反應種屬:Human
-
免疫原:Recombinant Human Ubiquitin carboxyl-terminal hydrolase 48 protein (358-508AA)
-
免疫原種屬:Homo sapiens (Human)
-
標記方式:Non-conjugated
本頁面中的產品,USP48 Antibody (CSB-PA774808LA01HU),的標記方式是Non-conjugated。對于USP48 Antibody,我們還提供其他標記。見下表:
-
克隆類型:Polyclonal
-
抗體亞型:IgG
-
純化方式:>95%, Protein G purified
-
濃度:It differs from different batches. Please contact us to confirm it.
-
保存緩沖液:Preservative: 0.03% Proclin 300
Constituents: 50% Glycerol, 0.01M PBS, pH 7.4 -
產品提供形式:Liquid
-
應用范圍:ELISA, WB, IHC, IF
-
推薦稀釋比:
Application Recommended Dilution WB 1:1000-1:5000 IHC 1:200-1:500 IF 1:50-1:200 -
Protocols:
-
儲存條件:Upon receipt, store at -20°C or -80°C. Avoid repeated freeze.
-
貨期:Basically, we can dispatch the products out in 1-3 working days after receiving your orders. Delivery time maybe differs from different purchasing way or location, please kindly consult your local distributors for specific delivery time.
-
用途:For Research Use Only. Not for use in diagnostic or therapeutic procedures.
相關產品
靶點詳情
-
功能:Recognizes and hydrolyzes the peptide bond at the C-terminal Gly of ubiquitin. Involved in the processing of poly-ubiquitin precursors as well as that of ubiquitinated proteins. May be involved in the regulation of NF-kappa-B activation by TNF receptor superfamily via its interactions with RELA and TRAF2. May also play a regulatory role at postsynaptic sites.
-
基因功能參考文獻:
- USP48 inactivation reduces chromosomal instability of Fanconi anemia (FA)-defective cells. Our results highlight a role for USP48 in controlling DNA repair and suggest it as a potential target that could be therapeutically exploited for FA. PMID: 29891926
- In contrast to other deubiquitinating enzymes (DUBs) that have been previously implicated in the regulation of Mdm2 protein stability, USP48 did not induce Mdm2 stabilization by significantly reducing Mdm2 ubiquitination levels. PMID: 28233861
- down-regulation of USP48 increases E-cadherin expression and epithelial barrier integrity through reducing TRAF2 stability PMID: 28874458
- study reveals that the USP48-Gli1 regulatory axis is critical for glioma cell proliferation and glioblastoma tumorigenesis. PMID: 28623188
- Data suggest that ubiquitin specific protease-48 (USP48) promotes genome stability by antagonizing BRCA1 E3 ligase function. PMID: 29335415
- this study demonstrates that USP48 controls the Ubiquitin/proteasome-system-dependent turnover of activated NF-kappaB/RelA in the nucleus. PMID: 25486460
- Northern blot analysis revealed a single USP31 transcript of approximately 4 kb, which was primarily expressed in the testis and lung. PMID: 15354349
- The Overexpression of USP31 in HEK 293T cells inhibited TNFalpha, CD40, LMP1, TRAF2, TRAF6 and IKKbeta-mediated NF-kappaB activation, but did not inhibit Smad-mediated transcription activation. PMID: 16214042
- data demonstrate a crucial role for the dynamic interaction between D3R and USP48 in the regulation of NHE3 expression and function PMID: 24308971
顯示更多
收起更多
-
亞細胞定位:Cytoplasm. Nucleus.
-
蛋白家族:Peptidase C19 family
-
組織特異性:Widely expressed.
-
數據庫鏈接:
Most popular with customers
-
-
YWHAB Recombinant Monoclonal Antibody
Applications: ELISA, WB, IHC, IF, FC
Species Reactivity: Human, Mouse, Rat
-
Phospho-YAP1 (S127) Recombinant Monoclonal Antibody
Applications: ELISA, WB, IHC
Species Reactivity: Human
-
-
-
-
-















