USP37 Antibody
-
中文名稱:USP37兔多克隆抗體
-
貨號:CSB-PA801223LA01HU
-
規格:¥440
-
圖片:
-
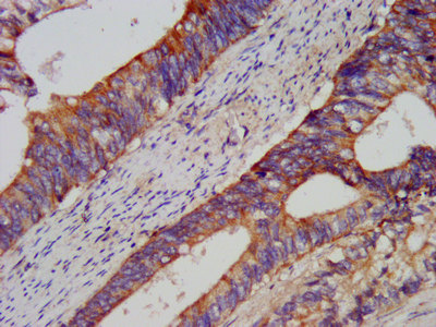
IHC image of CSB-PA801223LA01HU diluted at 1:200 and staining in paraffin-embedded human colon cancer performed on a Leica BondTM system. After dewaxing and hydration, antigen retrieval was mediated by high pressure in a citrate buffer (pH 6.0). Section was blocked with 10% normal goat serum 30min at RT. Then primary antibody (1% BSA) was incubated at 4°C overnight. The primary is detected by a biotinylated secondary antibody and visualized using an HRP conjugated SP system.
-
-
其他:
產品詳情
-
產品名稱:Rabbit anti-Homo sapiens (Human) USP37 Polyclonal antibody
-
Uniprot No.:
-
基因名:USP37
-
別名:Deubiquitinating enzyme 3 antibody; Deubiquitinating enzyme 37 antibody; EC 3.1.2.15 antibody; KIAA1594 antibody; MGC117261 antibody; OTTHUMP00000164146 antibody; tmp_locus_50 antibody; Ubiquitin carboxyl-terminal hydrolase 37 antibody; Ubiquitin specific peptidase 37 antibody; Ubiquitin specific processing protease 37 antibody; Ubiquitin specific protease 37 antibody; Ubiquitin thioesterase 37 antibody; Ubiquitin thiolesterase 37 antibody; Ubiquitin-specific-processing protease 37 antibody; UBP37_HUMAN antibody; USP37 antibody
-
宿主:Rabbit
-
反應種屬:Human
-
免疫原:Recombinant Human Ubiquitin carboxyl-terminal hydrolase 37 protein (671-797AA)
-
免疫原種屬:Homo sapiens (Human)
-
標記方式:Non-conjugated
本頁面中的產品,USP37 Antibody (CSB-PA801223LA01HU),的標記方式是Non-conjugated。對于USP37 Antibody,我們還提供其他標記。見下表:
-
克隆類型:Polyclonal
-
抗體亞型:IgG
-
純化方式:>95%, Protein G purified
-
濃度:It differs from different batches. Please contact us to confirm it.
-
保存緩沖液:Preservative: 0.03% Proclin 300
Constituents: 50% Glycerol, 0.01M PBS, pH 7.4 -
產品提供形式:Liquid
-
應用范圍:ELISA, IHC
-
推薦稀釋比:
Application Recommended Dilution IHC 1:200-1:500 -
Protocols:
-
儲存條件:Upon receipt, store at -20°C or -80°C. Avoid repeated freeze.
-
貨期:Basically, we can dispatch the products out in 1-3 working days after receiving your orders. Delivery time maybe differs from different purchasing way or location, please kindly consult your local distributors for specific delivery time.
-
用途:For Research Use Only. Not for use in diagnostic or therapeutic procedures.
相關產品
靶點詳情
-
功能:Deubiquitinase that antagonizes the anaphase-promoting complex (APC/C) during G1/S transition by mediating deubiquitination of cyclin-A (CCNA1 and CCNA2), thereby promoting S phase entry. Specifically mediates deubiquitination of 'Lys-11'-linked polyubiquitin chains, a specific ubiquitin-linkage type mediated by the APC/C complex. Also mediates deubiquitination of 'Lys-48'-linked polyubiquitin chains in vitro. Phosphorylation at Ser-628 during G1/S phase maximizes the deubiquitinase activity, leading to prevent degradation of cyclin-A (CCNA1 and CCNA2). Plays an important role in the regulation of DNA replication by stabilizing the licensing factor CDT1.
-
基因功能參考文獻:
- these findings reveal a role for REST-associated G9a and histone H3K9 methylation in the repression of USP37 expression in medulloblastoma. Reactivation of USP37 by G9a inhibition has the potential for therapeutic applications in REST-expressing medulloblastomas PMID: 28483947
- USP37 interacts with Cdt1 and is able to de-ubiquitinate Cdt1 in vivo and, USP37 is able to regulate the loading of MCM complexes onto the chromatin. PMID: 27296872
- USP37 associates with cohesin and contributes to sister chromatid resolution. Cohesion defects are rescued by expression of an RNAi-resistant USP37, but not the catalytically impaired USP37(C350A) mutant. PMID: 26299517
- USP37 is significantly upregulated in human lung cancer tissues, where its expression is positively correlated with c-Myc protein expression. PMID: 25284584
- These results suggested that the UIMs in USP37 contribute to the full enzymatic activity, but not ubiquitin chain substrate specificity, of USP37 possibly by holding the ubiquitin chain substrate in the proximity of the catalytic core. PMID: 24324262
- our findings of USP37-modulating PLZF/RARA stability and cell transformation suggest that USP37 is a potential therapeutic target for PLZF/RARA-associated APL PMID: 23208507
- USP37 links REST to the control of p27 stability and cell proliferation. PMID: 22665064
- Skp1-Cul1-F-box ubiquitin ligase (SCF(betaTrCP))-mediated destruction of the ubiquitin-specific protease USP37 during G2-phase promotes mitotic entry PMID: 23027877
- The deubiquitinase USP37 binds CDH1 and removes degradative polyubiquitin from cyclin A. USP37 was induced by E2F factors in G1, peaked at G1/S, and was degraded in late mitosis. Phosphorylation of USP37 by CDK2 stimulated its full activity. PMID: 21596315
顯示更多
收起更多
-
蛋白家族:Peptidase C19 family
-
組織特異性:Expressed in brain and prostate.
-
數據庫鏈接:
Most popular with customers
-
-
YWHAB Recombinant Monoclonal Antibody
Applications: ELISA, WB, IHC, IF, FC
Species Reactivity: Human, Mouse, Rat
-
Phospho-YAP1 (S127) Recombinant Monoclonal Antibody
Applications: ELISA, WB, IHC
Species Reactivity: Human
-
-
-
-
-















