USP28 Antibody
-
中文名稱:USP28兔多克隆抗體
-
貨號:CSB-PA850427ESR2HU
-
規格:¥440
-
圖片:
-
Western blot
All lanes: USP28 antibody at 3.08µg/ml + Hela whole cell lysate
Secondary
Goat polyclonal to rabbit IgG at 1/10000 dilution
Predicted band size: 123, 120, 67 kDa
Observed band size: 123 kDa -
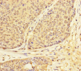
Immunohistochemistry of paraffin-embedded human ovarian cancer using CSB-PA850427ESR2HU at dilution of 1:100
-
-
其他:
產品詳情
-
產品名稱:Rabbit anti-Homo sapiens (Human) USP28 Polyclonal antibody
-
Uniprot No.:
-
基因名:
-
別名:Deubiquitinating enzyme 28 antibody; KIAA1515 antibody; Ubiquitin carboxyl terminal hydrolase 28 antibody; Ubiquitin carboxyl-terminal hydrolase 28 antibody; ubiquitin carboxyl-terminal hydrolase 28 variant 1 antibody; Ubiquitin specific peptidase 28 antibody; Ubiquitin specific processing protease 28 antibody; Ubiquitin specific protease 28 antibody; Ubiquitin thioesterase 28 antibody; Ubiquitin thiolesterase 28 antibody; Ubiquitin-specific-processing protease 28 antibody; UBP28_HUMAN antibody; USP 28 antibody; USP28 antibody; USP28 protein antibody
-
宿主:Rabbit
-
反應種屬:Human
-
免疫原:Recombinant Human Ubiquitin carboxyl-terminal hydrolase 28 protein (430-580AA)
-
免疫原種屬:Homo sapiens (Human)
-
標記方式:Non-conjugated
-
克隆類型:Polyclonal
-
抗體亞型:IgG
-
純化方式:Antigen Affinity Purified
-
濃度:It differs from different batches. Please contact us to confirm it.
-
保存緩沖液:PBS with 0.02% sodium azide, 50% glycerol, pH7.3.
-
產品提供形式:Liquid
-
應用范圍:ELISA, WB, IHC
-
推薦稀釋比:
Application Recommended Dilution WB 1:1000-1:5000 IHC 1:20-1:200 -
Protocols:
-
儲存條件:Upon receipt, store at -20°C or -80°C. Avoid repeated freeze.
-
貨期:Basically, we can dispatch the products out in 1-3 working days after receiving your orders. Delivery time maybe differs from different purchasing way or location, please kindly consult your local distributors for specific delivery time.
-
用途:For Research Use Only. Not for use in diagnostic or therapeutic procedures.
相關產品
靶點詳情
-
功能:Deubiquitinase involved in DNA damage response checkpoint and MYC proto-oncogene stability. Involved in DNA damage induced apoptosis by specifically deubiquitinating proteins of the DNA damage pathway such as CLSPN. Also involved in G2 DNA damage checkpoint, by deubiquitinating CLSPN, and preventing its degradation by the anaphase promoting complex/cyclosome (APC/C). In contrast, it does not deubiquitinate PLK1. Specifically deubiquitinates MYC in the nucleoplasm, leading to prevent MYC degradation by the proteasome: acts by specifically interacting with isoform 1 of FBXW7 (FBW7alpha) in the nucleoplasm and counteracting ubiquitination of MYC by the SCF(FBW7) complex. In contrast, it does not interact with isoform 4 of FBXW7 (FBW7gamma) in the nucleolus, allowing MYC degradation and explaining the selective MYC degradation in the nucleolus. Deubiquitinates ZNF304, hence preventing ZNF304 degradation by the proteasome and leading to the activated KRAS-mediated promoter hypermethylation and transcriptional silencing of tumor suppressor genes (TSGs) in a subset of colorectal cancers (CRC) cells.
-
基因功能參考文獻:
- The authors identified 53BP1 and USP28 as essential components acting upstream of p53, evoking p21-dependent cell cycle arrest in response not only to centrosome loss, but also to other distinct defects causing prolonged mitosis. PMID: 27371829
- USP28 controls activation of both the TP53 branch and the GATA4/NFkB branch that controls the senescence-associated secretory phenotype (SASP) PMID: 29089421
- 53BP1-USP28 cooperation is essential for normal p53-promoter element interactions and gene transactivation-associated events, yet dispensable for 53BP1-dependent DNA double-strand repair regulation. PMID: 27546791
- USP28-53BP1-p53-p21 signaling pathway is also required to arrest cell growth after a prolonged prometaphase. PMID: 27432896
- analysis of centrinone resistance identified a 53BP1-USP28 module as critical for communicating mitotic challenges to the p53 circuit and TRIM37 as an enforcer of the singularity of centrosome assembly. PMID: 27432897
- These results showed that USP28 is overexpressed in human glioblastomas and it contributes to glioma tumorigenicity. PMID: 26209720
- Data indicte that deubiquitinating enzyme USP28 was targeted by microRNA miR-4295. PMID: 25656529
- findings provide a first insight into understanding how the enzymatic activity of Usp28 is regulated by its non-catalytic UBR and endogenous ligands. PMID: 26268556
- identified Usp28 as a c-MYC target gene highly expressed in colorectal cancers, which indicates that USP28 and c-MYC form a positive feedback loop that maintains high c-MYC protein levels in tumors PMID: 24960159
- USP28 has a chain preference activity for Lys(11), Lys(48), and Lys(63) diubiquitin linkages PMID: 25359778
- Usp28 expression was indentified as a independent predictors of survival (P = 0.001) and potentially valuable in prognostic evaluation of bladder cancer PMID: 24347490
- Study reveals a critical mechanism underlying the epigenetic regulation by USP28. PMID: 24075993
- USP28 is not a critical factor in double-strand break metabolism and is unlikely to be an attractive target for therapeutic intervention aimed at chemotherapy sensitization. PMID: 24687851
- USP28 gene expression is down regulated by oxidative stress through the mediation of reactive oxygen species PMID: 23832602
- molecular cloning of USP28 & characterization of alternatively spliced products and tissue-specific isoforms PMID: 11597335
- Using a human cell line that faithfully recapitulated the Chk2-p53-PUMA pathway, we show that USP28 is required to stabilize Chk2 and 53BP1 in response to DNA damage. PMID: 16901786
- High expression levels of USP28 are found in colon and breast carcinomas, and stabilization of MYC by USP28 is essential for tumour-cell proliferation. PMID: 17558397
顯示更多
收起更多
-
亞細胞定位:Nucleus, nucleoplasm.
-
蛋白家族:Peptidase C19 family, USP28 subfamily
-
數據庫鏈接:
Most popular with customers
-
-
YWHAB Recombinant Monoclonal Antibody
Applications: ELISA, WB, IHC, IF, FC
Species Reactivity: Human, Mouse, Rat
-
Phospho-YAP1 (S127) Recombinant Monoclonal Antibody
Applications: ELISA, WB, IHC
Species Reactivity: Human
-
-
-
-
-















