USP24 Antibody
-
中文名稱:USP24兔多克隆抗體
-
貨號:CSB-PA890777LA01HU
-
規格:¥440
-
圖片:
-
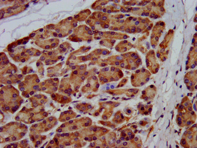
IHC image of CSB-PA890777LA01HU diluted at 1:200 and staining in paraffin-embedded human pancreatic tissue performed on a Leica BondTM system. After dewaxing and hydration, antigen retrieval was mediated by high pressure in a citrate buffer (pH 6.0). Section was blocked with 10% normal goat serum 30min at RT. Then primary antibody (1% BSA) was incubated at 4°C overnight. The primary is detected by a biotinylated secondary antibody and visualized using an HRP conjugated SP system.
-
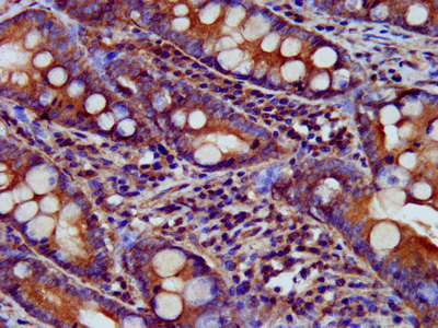
IHC image of CSB-PA890777LA01HU diluted at 1:200 and staining in paraffin-embedded human small intestine tissue performed on a Leica BondTM system. After dewaxing and hydration, antigen retrieval was mediated by high pressure in a citrate buffer (pH 6.0). Section was blocked with 10% normal goat serum 30min at RT. Then primary antibody (1% BSA) was incubated at 4°C overnight. The primary is detected by a biotinylated secondary antibody and visualized using an HRP conjugated SP system.
-
-
其他:
產品詳情
-
產品名稱:Rabbit anti-Homo sapiens (Human) USP24 Polyclonal antibody
-
Uniprot No.:
-
基因名:USP24
-
別名:Deubiquitinating enzyme 24 antibody; KIAA1057 antibody; Ubiquitin carboxyl terminal hydrolase 24 antibody; Ubiquitin carboxyl-terminal hydrolase 24 antibody; Ubiquitin specific peptidase 24 antibody; Ubiquitin specific processing protease 24 antibody; Ubiquitin specific protease 24 antibody; Ubiquitin thioesterase 24 antibody; Ubiquitin thiolesterase 24 antibody; Ubiquitin-specific-processing protease 24 antibody; UBP24_HUMAN antibody; Usp24 antibody
-
宿主:Rabbit
-
反應種屬:Human
-
免疫原:Recombinant Human Ubiquitin carboxyl-terminal hydrolase 24 protein (2509-2620AA)
-
免疫原種屬:Homo sapiens (Human)
-
標記方式:Non-conjugated
本頁面中的產品,USP24 Antibody (CSB-PA890777LA01HU),的標記方式是Non-conjugated。對于USP24 Antibody,我們還提供其他標記。見下表:
-
克隆類型:Polyclonal
-
抗體亞型:IgG
-
純化方式:>95%, Protein G purified
-
濃度:It differs from different batches. Please contact us to confirm it.
-
保存緩沖液:Preservative: 0.03% Proclin 300
Constituents: 50% Glycerol, 0.01M PBS, pH 7.4 -
產品提供形式:Liquid
-
應用范圍:ELISA, IHC
-
推薦稀釋比:
Application Recommended Dilution IHC 1:200-1:500 -
Protocols:
-
儲存條件:Upon receipt, store at -20°C or -80°C. Avoid repeated freeze.
-
貨期:Basically, we can dispatch the products out in 1-3 working days after receiving your orders. Delivery time maybe differs from different purchasing way or location, please kindly consult your local distributors for specific delivery time.
-
用途:For Research Use Only. Not for use in diagnostic or therapeutic procedures.
相關產品
靶點詳情
-
功能:Ubiquitin-specific protease that regulates cell survival in various contexts through modulating the protein stability of some of its substrates including DDB2, MCL1 or TP53. Plays a positive role on ferritinophagy where ferritin is degraded in lysosomes and releases free iron.
-
基因功能參考文獻:
- USP24 level was decreased during the early stage of cancer and the mitotic stage of the cell cycle to regulate its substrates p300, Bax, E2F4 and securin, resulting in decreased cell apoptosis and increased cell cycle progression and, thus, cancer formation. PMID: 27991932
- Data show that ubiquitin-specific peptidase 24 (USP24) is highly expressed in cell lines with enhanced malignancy and in late-stage lung cancer clinical samples. PMID: 26568301
- USP24 deubiquitinase regulates the DNA damage response by directly targeting the p53 tumor suppressor. PMID: 25578727
- the novel compound EOAI3402143 dose-dependently inhibited Usp9x and Usp24 activity, increased tumor cell apoptosis, and fully blocked or regressed myeloma tumors in mice. PMID: 25814533
- These results suggested that USP24 expression is tightly regulated at its transcription level and NFkappaB plays an important role in this process. PMID: 24286619
- The knockdown of USP24 in two human cell lines decreased the steady-state levels of DDB2, indicating that USP24-mediated DDB2 deubiquitination prevents DDB2 degradation. PMID: 23159851
- The present study is the first to report a lack of association between SNPs of USP24 and parkinson disease in Han Chinese patients. Other PMID: 22923019
- USP24 alone plays a role in PD susceptibility among Taiwanese people >or=60 years of age, or acting synergistically with USP40 and UCHL1 in the total subjects. PMID: 20302855
- Data suggest that genetic variants in USP24 affect the risk for late-onset Parkinson disease (PD), which is consistent with the predicted role of the ubiquitination pathway in PD etiology. PMID: 16917932
顯示更多
收起更多
-
蛋白家族:Peptidase C19 family
-
數據庫鏈接:
Most popular with customers
-
-
Phospho-YAP1 (S127) Recombinant Monoclonal Antibody
Applications: ELISA, WB, IHC
Species Reactivity: Human
-
-
-
-
-
-















