USP2 Antibody
-
中文名稱:USP2兔多克隆抗體
-
貨號:CSB-PA673833
-
規格:¥1100
-
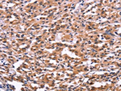
圖片:
-
The image on the left is immunohistochemistry of paraffin-embedded Human thyroid cancer tissue using CSB-PA673833(USP2 Antibody) at dilution 1/30, on the right is treated with fusion protein. (Original magnification: ×200)
-
The image on the left is immunohistochemistry of paraffin-embedded Human cervical cancer tissue using CSB-PA673833(USP2 Antibody) at dilution 1/30, on the right is treated with fusion protein. (Original magnification: ×200)
-
-
其他:
產品詳情
-
Uniprot No.:
-
基因名:USP2
-
別名:41 kDa ubiquitin specific protease antibody; 41 kDa ubiquitin-specific protease antibody; Deubiquitinating enzyme 2 antibody; Ubiquitin carboxyl terminal hydrolase 2 antibody; Ubiquitin carboxyl-terminal hydrolase 2 antibody; ubiquitin specific peptidase 2 antibody; Ubiquitin specific processing protease 2 antibody; Ubiquitin specific protease 12 antibody; Ubiquitin specific protease 9 antibody; Ubiquitin specific protease, 41kD antibody; Ubiquitin thioesterase 2 antibody; Ubiquitin thiolesterase 2 antibody; Ubiquitin-specific-processing protease 2 antibody; Ubiquitin-specific-processing protease testis antibody; UBP-t antibody; UBP2_HUMAN antibody; UBP41 antibody; USP2 antibody; USP9 antibody
-
宿主:Rabbit
-
反應種屬:Human,Mouse,Rat
-
免疫原:Fusion protein of Human USP2
-
免疫原種屬:Homo sapiens (Human)
-
標記方式:Non-conjugated
-
抗體亞型:IgG
-
純化方式:Antigen affinity purification
-
濃度:It differs from different batches. Please contact us to confirm it.
-
保存緩沖液:-20°C, pH7.4 PBS, 0.05% NaN3, 40% Glycerol
-
產品提供形式:Liquid
-
應用范圍:ELISA,IHC
-
推薦稀釋比:
Application Recommended Dilution ELISA 1:1000-1:2000 IHC 1:25-1:100 -
Protocols:
-
儲存條件:Upon receipt, store at -20°C or -80°C. Avoid repeated freeze.
-
貨期:Basically, we can dispatch the products out in 1-3 working days after receiving your orders. Delivery time maybe differs from different purchasing way or location, please kindly consult your local distributors for specific delivery time.
-
用途:For Research Use Only. Not for use in diagnostic or therapeutic procedures.
相關產品
靶點詳情
-
功能:Hydrolase that deubiquitinates polyubiquitinated target proteins such as MDM2, MDM4 and CCND1. Isoform 1 and isoform 4 possess both ubiquitin-specific peptidase and isopeptidase activities. Deubiquitinates MDM2 without reversing MDM2-mediated p53/TP53 ubiquitination and thus indirectly promotes p53/TP53 degradation and limits p53 activity. Has no deubiquitinase activity against p53/TP53. Prevents MDM2-mediated degradation of MDM4. Plays a role in the G1/S cell-cycle progression in normal and cancer cells. Regulates the circadian clock by modulating its intrinsic circadian rhythm and its capacity to respond to external cues. Associates with clock proteins and deubiquitinates core clock component PER1 but does not affect its overall stability. Regulates the nucleocytoplasmic shuttling and nuclear retention of PER1 and its repressive role on the clock transcription factors CLOCK and ARNTL/BMAL1. Plays a role in the regulation of myogenic differentiation of embryonic muscle cells.; Circadian clock output effector that regulates Ca(2+) absorption in the small intestine. Probably functions by regulating protein levels of the membrane scaffold protein NHERF4 in a rhythmic manner, and is therefore likely to control Ca(2+) membrane permeability mediated by the Ca(2+) channel TRPV6 in the intestine.
-
基因功能參考文獻:
- In general, we collect and summarize the factors involved in the alternative splicing of USP2 in this review to further understand the mechanism behind the USP2's alternative splicing PMID: 29230097
- Authors show here USP2 is expressed in quiescent and activated T-cells and its expression is 50% lower in CTCL cell lines (MyLa2000, SeAx and Hut-78) than in normal T-cells. PMID: 27351221
- The results show a connection between miR-125b and USP2 gene the etiology of psoriasis. They proceeded to show that modulation of nuclear factor kappa B-mediated inflammation is the likely mechanism through which this miRNA gene pair function PMID: 27479112
- the deubiquitinase USP2a translocates into the nucleus and binds to pY701-STAT1, and inhibits K48-linked ubiquitination and degradation of pY701-STAT1 PMID: 27434509
- ML364 also caused a decrease in homologous recombination-mediated DNA repair. These effects by a small molecule inhibitor support a key role for USP2 as a regulator of cell cycle, DNA repair, and tumor cell growth. PMID: 27681596
- Identify USP2 as a novel regulator of lipoprotein clearance owing to its ability to control ubiquitylation-dependent degradation of the LDLR by IDOL. PMID: 26666640
- Data suggest up-regulation of ASAH1 (acid ceramidase) activity by androgen in androgen-sensitive prostate cancer cells (but not other cancer cells) is mainly due to prolonged stability of ASAH1 by androgen-stimulated induction of USP2 expression. PMID: 25888580
- Modulation of USP-2 expression plays a crucial role in cell cycle regulation by leptin and adiponectin. PMID: 26033248
- Our findings suggest that USP2a mRNA may be considered as a diagnostic marker candidate for bladder cancer, in particular, to stratify MIBC patients with a more invasive phenotype. PMID: 26250800
- The present study showed that USP2 expression is associated with TNBC cell line's invasiveness and poor survival of breast cancer patients and may serve as a prognostic biomarker and therapeutic target for TNBC PMID: 25687182
- findings demonstrated that USP2b deubiquitinates K63-linked polyubiquitin chains from TBK1 to terminate TBK1 activation and negatively regulate IFN-beta signaling and antiviral immune response. PMID: 25070846
- Loss of USP2a expression is associated with glioblastoma. PMID: 24445145
- USP2a increases intracellular glutathione content, thus interfering with the oxidative cascade triggered by chemotherapeutic agents. PMID: 24071644
- USP2 and its substrate, fatty acid synthase (FASN), are over-expressed in glioma tissue. PMID: 23416128
- we have demonstrated that USP2a plays a negative regulatory role in IL-1beta- and SeV-induced NF-kappaB activation. PMID: 22611252
- USP2a plays an important role in TCR signaling by deSUMOylating TRAF6 and mediating TRAF6-MALT1 interaction PMID: 23264041
- USP2a antagonizes EGFR endocytosis and thus amplifies signaling activity from the receptor. PMID: 22710717
- TRAF2 inhibits USP2a effect on K48- but not on K63-linked ubiquitin chains. PMID: 22659130
- USP2a potentially mediates circadian disruption by suppressing the CRY1 degradation during inflammation. PMID: 22669941
- USP2a loss attenuates proliferation and migration in T24 human bladder cancer cells. PMID: 22370483
- a novel mechanism for the role of USP2a in mediating the stability of Aurora-A. PMID: 21890637
- Data indicate that CHIP and USP2 show antagonistic functions in the control of AIF-mediated cell death, and implicate the role of the enzymes as a switch for cells to live or die under stresses that cause truncated AIF release. PMID: 21293491
- Etiology of nodular fasciitis seems to involve USP6 transcriptional upregulation due to its fusion with a strong ectopic promoter (MYH9). PMID: 21826056
- the data support the conclusion that Usp2-45 action on epithelial Na(+) channel is promoted by various interactions, including through binding to Nedd4-2 PMID: 21478478
- our results implicate USP2 as a novel positive regulator of TNF-alpha-induced NF-kappaB signaling and show that its expression is altered in tumor cells. PMID: 21480224
- USP2-69 was upregulated in mesangial cells during mesangial proliferative glomerulonephritides in vivo and in vitro, which may relate to the proliferation of mesangial cells. PMID: 20403044
- Data show that ectopic expression of wild-type USP2a but not a catalytic mutant prevents Mdm2-mediated degradation of MdmX. PMID: 19838211
- Overexpression of Ubp41 is sufficient to elicit all features of apoptosis in human cells. PMID: 12566314
- the isopeptidase USP2a plays a critical role in prostate cancer cell survival PMID: 15050917
- USP2a is a novel regulator of the p53 pathway that acts through its ability to selectively target Mdm2. PMID: 17290220
- USP2 were over-expressed in ovarian serous cystadenocarcinoma tissues, suggesting that the activity of ubiquitin-proteasome system is obviously enhanced in ovarian cancer. PMID: 17553343
- Findings suggest that targeting USP2 is an effective approach to induce growth suppression in the cancer cells addicted to cyclin D1 expression. PMID: 19917254
顯示更多
收起更多
-
亞細胞定位:Cytoplasm. Cytoplasm, perinuclear region.; [Isoform 4]: Nucleus. Membrane; Peripheral membrane protein. Cytoplasm.
-
蛋白家族:Peptidase C19 family, USP2 subfamily
-
組織特異性:Expressed in mesangial cells of the kidney and in different types of glomerulonephritides (at protein level).
-
數據庫鏈接:
Most popular with customers
-
-
YWHAB Recombinant Monoclonal Antibody
Applications: ELISA, WB, IHC, IF, FC
Species Reactivity: Human, Mouse, Rat
-
Phospho-YAP1 (S127) Recombinant Monoclonal Antibody
Applications: ELISA, WB, IHC
Species Reactivity: Human
-
-
-
-
-















