USF1 Antibody
-
中文名稱:USF1兔多克隆抗體
-
貨號:CSB-PA938350
-
規格:¥1100
-
圖片:
-
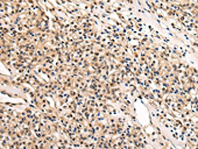
The image on the left is immunohistochemistry of paraffin-embedded Human prostate cancer tissue using CSB-PA938350(USF1 Antibody) at dilution 1/30, on the right is treated with fusion protein. (Original magnification: ×200)
-
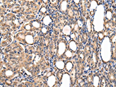
The image on the left is immunohistochemistry of paraffin-embedded Human thyroid cancer tissue using CSB-PA938350(USF1 Antibody) at dilution 1/30, on the right is treated with fusion protein. (Original magnification: ×200)
-
-
其他:
產品詳情
-
Uniprot No.:
-
基因名:USF1
-
別名:USF1 antibody; BHLHB11 antibody; USF antibody; Upstream stimulatory factor 1 antibody; Class B basic helix-loop-helix protein 11 antibody; bHLHb11 antibody; Major late transcription factor 1 antibody
-
宿主:Rabbit
-
反應種屬:Human,Mouse
-
免疫原:Fusion protein of Human USF1
-
免疫原種屬:Homo sapiens (Human)
-
標記方式:Non-conjugated
-
抗體亞型:IgG
-
純化方式:Antigen affinity purification
-
濃度:It differs from different batches. Please contact us to confirm it.
-
保存緩沖液:-20°C, pH7.4 PBS, 0.05% NaN3, 40% Glycerol
-
產品提供形式:Liquid
-
應用范圍:ELISA,IHC
-
推薦稀釋比:
Application Recommended Dilution ELISA 1:2000-1:5000 IHC 1:25-1:100 -
Protocols:
-
儲存條件:Upon receipt, store at -20°C or -80°C. Avoid repeated freeze.
-
貨期:Basically, we can dispatch the products out in 1-3 working days after receiving your orders. Delivery time maybe differs from different purchasing way or location, please kindly consult your local distributors for specific delivery time.
-
用途:For Research Use Only. Not for use in diagnostic or therapeutic procedures.
相關產品
靶點詳情
-
功能:Transcription factor that binds to a symmetrical DNA sequence (E-boxes) (5'-CACGTG-3') that is found in a variety of viral and cellular promoters.
-
基因功能參考文獻:
- Study did not show any associations between rs2516839 and rs3737787 polymorphisms of the USF-1 gene and pediatric ischemic stroke. However, found an influence of specific genotypes on the outcome of stroke, including epilepsy, dysarthria, and a decrease in intellectual functioning. PMID: 29598907
- our study first demonstrated that USF1 could activate the transcription of MUC13, thereby enhancing the proliferation and self-renewal of glioblastoma stem cells PMID: 29441861
- miR-483 is a self-regulating microRNA and can activate its own expression via USF1 PMID: 27693430
- Findings suggest the underlying mechanism of upstream transcription factor 1 (USF1) in papillary thyroid cancer (PTC) development. PMID: 26052935
- SNP (single-nucleotide polymorphism) alleles that reduced USF1 mRNA expression also displayed a beneficial cardiometabolic profile, featuring improved insulin sensitivity, a favorable lipid profile, and reduced atherosclerosis PMID: 26819196
- USF1 gene can take part in basal transcription regulation of the human A3G gene in hepatocyte, and the identified E-box represented a binding site for the USF1. PMID: 26772882
- A trend of increasing triglycerides levels in relation to the C allele dose of rs2516839 SNP was observed. The synergistic effect of cigarette smoking and C allele carrier state on CAD risk was found. PMID: 26068452
- Rta autoregulates BRLF1 transcription via its interaction with USF1 on E1. PMID: 26297580
- Results show that the USF1 and APOA5 polymorphisms are associated with Familial combined hyperlipidemia and that the S19W SNP in the APOA5 gene is associated to the disease independently of total cholesterol, triglycerides and body mass index. PMID: 25308402
- The carriers of minor alleles of rs2516839 (C) and rs1556259 (G) of USF1 gene had decreased USF1 expression in atherosclerotic plaques as compared to non-carriers. PMID: 24722012
- Our results provided a new insight into susceptibility of USF1 variant with male infertility. rs11204546 of OR2W3 and rs11677854 of GTF2A1L might be additional valuable molecular predictive markers PMID: 25374392
- CK2 phosphorylation of USF1 modulates two functionally important properties of USF1, namely hetero-dimerization and transactivation. PMID: 25194820
- Further studies may be needed to validate our results and gain insights into the pathological mechanism of USF1 gene in the HCC tumorigenesis. PMID: 25480412
- A significantly elevated genotype frequency in certain USF1 genes was observed in hepatocellular carcinoma patients. PMID: 25367853
- Increased upstream stimulatory factor in HCC is associated with heparanase expression. USF might be an important factor in regulating HPSE expression and act as a novel marker of metastatic recurrence of HCC patients PMID: 25149140
- They underscore the new role of USF1 and give new clues of how p53 loss of function can occur in any cell type. PMID: 24831529
- USF1 binding to an E-box element may be critical for basal MVP promoter activation. PMID: 24173679
- Knockdown of USF-1 protected the HepG2 cells from oxygen and glucose deprivation (OGD)-induced apoptosis. PMID: 24661879
- The rs2516838 and rs2516839 polymorphisms of USF1 influence total unstable CPA in atherosclerotic stroke patients, which might be new markers to predict the risk of recurrence for this disease. PMID: 23271305
- USF1 SNP's distribution and genetic risk for cardiovascular disease in Azoreans (Portugal) PMID: 24042129
- our findings reveal that the guided-recruitment of the hSET1A histone methyltransferase complex and its H3K4 methyltransferase activity by transcription regulator USF1 safeguards hematopoietic transcription programs PMID: 23754954
- These results suggest USF1 has an independent but gender- and age-associated effect on Alzheimer Disease-related brain lesion development. PMID: 22390463
- USF1 and USF2 are important regulatory factors for Alx3 gene expression in different cell types PMID: 23181698
- Transcription factors upstream stimulatory factor 1 (USF-1) and USF-2 are indispensable for the transcription of RORgammaT in human lymphocytes. PMID: 22891280
- Identify transcriptional circuitry whereby USF-1 variants influence hepatic triglyceride secretion in familial combined hyperlipidemia and related disorders. PMID: 22460558
- the loss of USF-1 compromises DNA repair, which suggests that USF-1 plays an important role in maintaining genomic stability. PMID: 22291606
- the T-1514C polymorphism affects TBX21 gene expression and Th1 cytokine production by binding USF-1 to the SNP site PMID: 22258560
- The E-box binding factors Max/Mnt, MITF, and USF1 act coordinately with FoxO to regulate expression of proapoptotic and cell cycle control genes by phosphatidylinositol 3-kinase/Akt/glycogen synthase kinase 3 signaling. PMID: 21873430
- These data indicate that an E-box motif (RBE1) within the core promoter in the long terminal repeat of HIV-1 is a bona fide binding site for the RBF-2 transcription factor complex USF1, USF2, and TFII-I. PMID: 21813151
- This study demonstrated the involvement of USF1 and USF2 as molecular targets of Helicobacter pylori and the key role of DNA methylation in their regulation. PMID: 20180799
- USF1 is expressed in the nuclei of nicotine-stimulated odontoblasts, but in the cytoplasm of unstimulated odontoblasts. PMID: 18070436
- Upstream stimulatory factor 1 could regulate the osteopontin expression in odontoblasts. PMID: 18307922
- there is an indication of an interaction between APOA5 and USF1 on the risk for metabolic syndrome PMID: 20054229
- Over-expression of human USF1 in transgenic mice influenced metabolic traits. PMID: 19995791
- Defective gene induction of USF1 variant by insulin contributes to the risk of developing dyslipidemia. PMID: 20031629
- Reinforce the roles of APOA5 and USF1 variants on cardiovascular phenotypes and suggest that both genes contribute to lipid levels and aortic atherosclerosis individually and possibly through epistatic effects. PMID: 19910639
- requirement of carboxy ester lipase gene E-box for activation binds upstream regulatory factor 1 and 2 PMID: 11945176
- Cooperative E-box regulation of human GLI1 by TWIST and this protein PMID: 11948912
- demonstrated a novel mechanism for USF activation, which contributes to differential vasopressin expression in lung cancer. PMID: 12403649
- data indicated that upstream-stimulatory-factor (USF) might be involved in the basal transcriptional machinery of apolipoprotein E by binding to a non-canonical E-box motif within the proximal promoter PMID: 12444925
- transfection of expression vectors containing USF-1 or USF-2 cDNAs activated CYP1A2 reporter gene activity, while a dominant-negative USF-2 expression vector blocked such activity. PMID: 12663044
- we report the molecular cloning and functional characterization of a novel alternative splicing variant of human USF1 (hUSF1), termed USF1/BD. PMID: 12851711
- These findings suggest that increased protein levels and DNA binding of USF1 and USF2 mediate the inhibitory effects of hypoxia and of Mash-2 on CYP19 gene expression in human placenta PMID: 12917334
- USF1 transcription is regulated by cha, a basic helix-loop-helix transcription factor PMID: 12923186
- USF1/2 activates the hTERT promoter exclusively in hTERT-positive cells in a manner that is enhanced by the coactivator p300 and attenuated upon inhibiting p38-MAP kinase, a known modulator of USF activity. PMID: 12970752
- USF and Sp1 proteins interact and regulate human deoxycytidine kinase promoter activity PMID: 14514691
- transcription factors upstream stimulatory factor (USF) and c-Myc may exert opposing effects on PIGR promoter activity PMID: 14644095
- encodes a transcription factor known to regulate several genes of glucose and lipid metabolism PMID: 14991056
- role in regulating transcription of many genes involved in lipid and glucose homeostasis PMID: 15054483
- the influencing feature of both glucose and lipid homeostasis showing case-control heterogeneity PMID: 15175273
顯示更多
收起更多
-
相關疾病:Hyperlipidemia combined 1 (HYPLIP1)
-
亞細胞定位:Nucleus.
-
數據庫鏈接:
Most popular with customers
-
-
YWHAB Recombinant Monoclonal Antibody
Applications: ELISA, WB, IHC, IF, FC
Species Reactivity: Human, Mouse, Rat
-
Phospho-YAP1 (S127) Recombinant Monoclonal Antibody
Applications: ELISA, WB, IHC
Species Reactivity: Human
-
-
-
-
-















