UQCRC2 Antibody
-
中文名稱:UQCRC2兔多克隆抗體
-
貨號:CSB-PA025668ESR1HU
-
規格:¥440
-
圖片:
-
Western blot
All lanes: UQCRC2 antibody at 2.95µg/ml
Lane 1: Human placenta tissue
Lane 2: Mouse large intestine tissue
Lane 3: Mouse small intestine tissue
Lane 4: Mouse brain tissue
Lane 5: HepG2 whole cell lysate
Lane 6: Jurkat whole cell lysate
Lane 7: 293T whole cell lysate
Secondary
Goat polyclonal to rabbit IgG at 1/10000 dilution
Predicted band size: 48 kDa
Observed band size: 48 kDa -
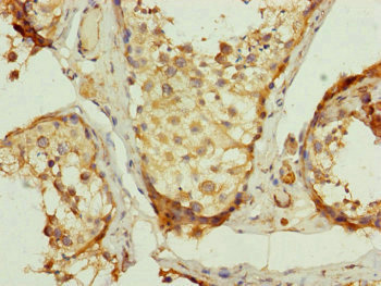
Immunohistochemistry of paraffin-embedded human testis tissue using CSB-PA025668ESR1HU at dilution of 1:100
-
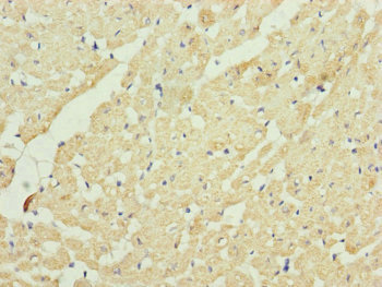
Immunohistochemistry of paraffin-embedded human heart tissue using CSB-PA025668ESR1HU at dilution of 1:100
-
-
其他:
產品詳情
-
產品名稱:Rabbit anti-Homo sapiens (Human) UQCRC2 Polyclonal antibody
-
Uniprot No.:
-
基因名:
-
別名:Complex III subunit 2 antibody; Core protein II antibody; Cytochrome b c1 complex subunit 2 mitochondrial antibody; Cytochrome b-c1 complex subunit 2 antibody; EC 1.10.2.2 antibody; MC3DN5 antibody; mitochondrial antibody; QCR2 antibody; QCR2_HUMAN antibody; Ubiquinol cytochrome c reductase complex core protein 2 mitochondrial antibody; Ubiquinol cytochrome c reductase core protein II antibody; Ubiquinol-cytochrome-c reductase complex core protein 2 antibody; UQCR2 antibody; Uqcrc2 antibody
-
宿主:Rabbit
-
反應種屬:Human, Mouse
-
免疫原:Recombinant Human Cytochrome b-c1 complex subunit 2, mitochondrial protein (224-453AA)
-
免疫原種屬:Homo sapiens (Human)
-
標記方式:Non-conjugated
-
克隆類型:Polyclonal
-
抗體亞型:IgG
-
純化方式:Antigen Affinity Purified
-
濃度:It differs from different batches. Please contact us to confirm it.
-
保存緩沖液:PBS with 0.02% sodium azide, 50% glycerol, pH7.3.
-
產品提供形式:Liquid
-
應用范圍:ELISA, WB, IHC
-
推薦稀釋比:
Application Recommended Dilution WB 1:1000-1:5000 IHC 1:20-1:200 -
Protocols:
-
儲存條件:Upon receipt, store at -20°C or -80°C. Avoid repeated freeze.
-
貨期:Basically, we can dispatch the products out in 1-3 working days after receiving your orders. Delivery time maybe differs from different purchasing way or location, please kindly consult your local distributors for specific delivery time.
-
用途:For Research Use Only. Not for use in diagnostic or therapeutic procedures.
相關產品
靶點詳情
-
功能:Component of the ubiquinol-cytochrome c oxidoreductase, a multisubunit transmembrane complex that is part of the mitochondrial electron transport chain which drives oxidative phosphorylation. The respiratory chain contains 3 multisubunit complexes succinate dehydrogenase (complex II, CII), ubiquinol-cytochrome c oxidoreductase (cytochrome b-c1 complex, complex III, CIII) and cytochrome c oxidase (complex IV, CIV), that cooperate to transfer electrons derived from NADH and succinate to molecular oxygen, creating an electrochemical gradient over the inner membrane that drives transmembrane transport and the ATP synthase. The cytochrome b-c1 complex catalyzes electron transfer from ubiquinol to cytochrome c, linking this redox reaction to translocation of protons across the mitochondrial inner membrane, with protons being carried across the membrane as hydrogens on the quinol. In the process called Q cycle, 2 protons are consumed from the matrix, 4 protons are released into the intermembrane space and 2 electrons are passed to cytochrome c. The 2 core subunits UQCRC1/QCR1 and UQCRC2/QCR2 are homologous to the 2 mitochondrial-processing peptidase (MPP) subunits beta-MPP and alpha-MPP respectively, and they seem to have preserved their MPP processing properties. May be involved in the in situ processing of UQCRFS1 into the mature Rieske protein and its mitochondrial targeting sequence (MTS)/subunit 9 when incorporated into complex III (Probable).
-
基因功能參考文獻:
- These results provided novel insights into the potential role of UQCRC2 in the tumorigenesis and progression of colorectal cancer PMID: 30115536
- Down-regulation of UQCRC2 partly reversed the inhibition of invasion/migration ability and chemoresistance in CDH18 overexpressed glioma cell lines. PMID: 30078018
- These data indicate that a homozygous missense mutation in UQCRC2 causes moderately impaired CIII function and severely decreased amounts of CIII and supercomplex, which would be the primary molecular pathogenesis in the patients. PMID: 23281071
-
相關疾?。?/div>Mitochondrial complex III deficiency, nuclear 5 (MC3DN5)亞細胞定位:Mitochondrion inner membrane; Peripheral membrane protein; Matrix side.蛋白家族:Peptidase M16 family, UQCRC2/QCR2 subfamily數據庫鏈接:
Most popular with customers
-
-
YWHAB Recombinant Monoclonal Antibody
Applications: ELISA, WB, IHC, IF, FC
Species Reactivity: Human, Mouse, Rat
-
-
-
-
-
-















