UGT2B4 Antibody
-
中文名稱:UGT2B4兔多克隆抗體
-
貨號:CSB-PA085315
-
規格:¥1100
-
圖片:
-
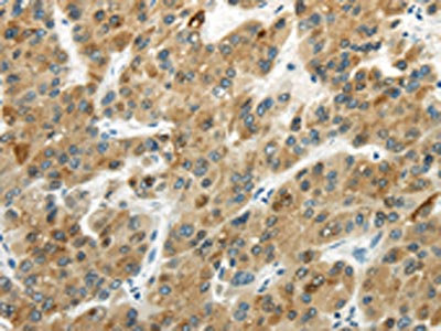
The image on the left is immunohistochemistry of paraffin-embedded Human liver cancer tissue using CSB-PA085315(UGT2B4 Antibody) at dilution 1/20, on the right is treated with fusion protein. (Original magnification: ×200)
-
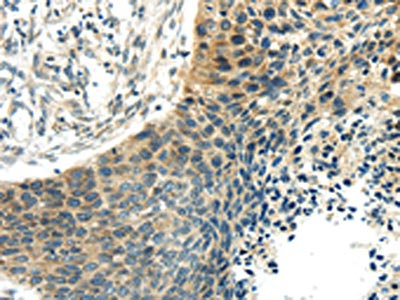
The image on the left is immunohistochemistry of paraffin-embedded Human esophagus cancer tissue using CSB-PA085315(UGT2B4 Antibody) at dilution 1/20, on the right is treated with fusion protein. (Original magnification: ×200)
-
-
其他:
產品詳情
-
Uniprot No.:
-
基因名:UGT2B4
-
別名:UGT2B4 antibody; UGT2B11 antibody; UDP-glucuronosyltransferase 2B4 antibody; UDPGT 2B4 antibody; EC 2.4.1.17 antibody; HLUG25 antibody; Hyodeoxycholic acid-specific UDPGT antibody; UDPGTh-1 antibody
-
宿主:Rabbit
-
反應種屬:Human
-
免疫原:Fusion protein of Human UGT2B4
-
免疫原種屬:Homo sapiens (Human)
-
標記方式:Non-conjugated
-
抗體亞型:IgG
-
純化方式:Antigen affinity purification
-
濃度:It differs from different batches. Please contact us to confirm it.
-
保存緩沖液:-20°C, pH7.4 PBS, 0.05% NaN3, 40% Glycerol
-
產品提供形式:Liquid
-
應用范圍:ELISA,IHC
-
推薦稀釋比:
Application Recommended Dilution ELISA 1:2000-1:5000 IHC 1:25-1:100 -
Protocols:
-
儲存條件:Upon receipt, store at -20°C or -80°C. Avoid repeated freeze.
-
貨期:Basically, we can dispatch the products out in 1-3 working days after receiving your orders. Delivery time maybe differs from different purchasing way or location, please kindly consult your local distributors for specific delivery time.
-
用途:For Research Use Only. Not for use in diagnostic or therapeutic procedures.
相關產品
靶點詳情
-
功能:UDP-glucuronosyltransferase (UGT) that catalyzes phase II biotransformation reactions in which lipophilic substrates are conjugated with glucuronic acid to increase the metabolite's water solubility, thereby facilitating excretion into either the urine or bile. Essential for the elimination and detoxification of drugs, xenobiotics and endogenous compounds. Catalyzes the glucuronidation of the endogenous estrogen hormones such as estradiol and estriol.
-
基因功能參考文獻:
- Clopidogrel carboxylic acid is metabolized mainly by UGT2B7 and UGT2B4 in the liver and by UGT2B17 in the small intestinal wall. PMID: 29138287
- UGT2B4 previously implicated in the risk of breast cancer is associated with menarche timing in Ukrainian females. PMID: 27282283
- These data indicate that knocking down PAPSS increases UGT2B4 transcription and mRNA stability as a compensatory response to the loss of SULT2A1 activity PMID: 25948711
- Methadone inhibits CYP2D6 and UGT2B7/2B4 in vivo PMID: 22092298
- The UGT1A8 and UGT2B4 genotypes associated with decreased predicted enzyme activities, were significantly associated with an increased risk of esophageal squamous cell carcinoma. PMID: 22367021
- The variation pattern upstream UGT2B4 is highly unusual and may be the result of balancing selection. PMID: 21660508
- Extensive splicing of transcripts of the bile acid-conjugating enzyme UGT2B4 modulates glucuronidation. PMID: 20139797
- Farnesoid X receptor (FXR) induces the UGT2B4 enzyme in hepatocytes; this study identifies UGT2B4 as a novel FXR target gene. PMID: 12806625
- UGT2B4 expression is regulated by PPARalpha PMID: 12810707
- P.1053: "...UGT2B4...is...fairly common in Caucasians...and Africans..."but...still rare in ...Japanese..." P.1054: "...genotyping UGT2B4...in Japanese...would be useful for studies on... association between haplotypes and pharmacokinetic...parameters." PMID: 15319348
- Results strongly indicated that the presence of an aromatic residue at position 33 is important for the activity and specificity of UGTB4. PMID: 17263731
顯示更多
收起更多
-
亞細胞定位:Endoplasmic reticulum membrane; Single-pass membrane protein.
-
蛋白家族:UDP-glycosyltransferase family
-
數據庫鏈接:
Most popular with customers
-
-
YWHAB Recombinant Monoclonal Antibody
Applications: ELISA, WB, IHC, IF, FC
Species Reactivity: Human, Mouse, Rat
-
Phospho-YAP1 (S127) Recombinant Monoclonal Antibody
Applications: ELISA, WB, IHC
Species Reactivity: Human
-
-
-
-
-















