UGT1A6 Antibody
-
中文名稱:UGT1A6兔多克隆抗體
-
貨號:CSB-PA025579LA01HU
-
規格:¥440
-
圖片:
-
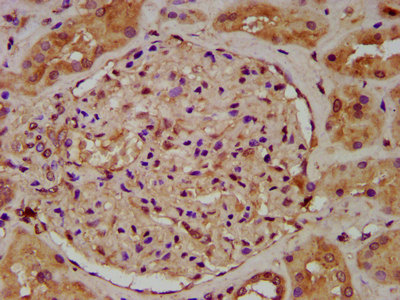
IHC image of CSB-PA025579LA01HU diluted at 1:200 and staining in paraffin-embedded human kidney tissue performed on a Leica BondTM system. After dewaxing and hydration, antigen retrieval was mediated by high pressure in a citrate buffer (pH 6.0). Section was blocked with 10% normal goat serum 30min at RT. Then primary antibody (1% BSA) was incubated at 4°C overnight. The primary is detected by a biotinylated secondary antibody and visualized using an HRP conjugated SP system.
-
IHC image of CSB-PA025579LA01HU diluted at 1:200 and staining in paraffin-embedded human endometrial cancer performed on a Leica BondTM system. After dewaxing and hydration, antigen retrieval was mediated by high pressure in a citrate buffer (pH 6.0). Section was blocked with 10% normal goat serum 30min at RT. Then primary antibody (1% BSA) was incubated at 4°C overnight. The primary is detected by a biotinylated secondary antibody and visualized using an HRP conjugated SP system.
-
-
其他:
產品詳情
-
產品名稱:Rabbit anti-Homo sapiens (Human) UGT1A6 Polyclonal antibody
-
Uniprot No.:
-
基因名:UGT1A6
-
別名:UGT1A6; GNT1; UGT1; UDP-glucuronosyltransferase 1-6; UDPGT 1-6; UGT1*6; UGT1-06; UGT1.6; Phenol-metabolizing UDP-glucuronosyltransferase; UDP-glucuronosyltransferase 1-F; UGT-1F; UGT1F; UDP-glucuronosyltransferase 1A6
-
宿主:Rabbit
-
反應種屬:Human
-
免疫原:Recombinant Human UDP-glucuronosyltransferase 1-6 protein (278-410AA)
-
免疫原種屬:Homo sapiens (Human)
-
標記方式:Non-conjugated
本頁面中的產品,UGT1A6 Antibody (CSB-PA025579LA01HU),的標記方式是Non-conjugated。對于UGT1A6 Antibody,我們還提供其他標記。見下表:
-
克隆類型:Polyclonal
-
抗體亞型:IgG
-
純化方式:>95%, Protein G purified
-
濃度:It differs from different batches. Please contact us to confirm it.
-
保存緩沖液:Preservative: 0.03% Proclin 300
Constituents: 50% Glycerol, 0.01M PBS, pH 7.4 -
產品提供形式:Liquid
-
應用范圍:ELISA, IHC
-
推薦稀釋比:
Application Recommended Dilution IHC 1:200-1:500 -
Protocols:
-
儲存條件:Upon receipt, store at -20°C or -80°C. Avoid repeated freeze.
-
貨期:Basically, we can dispatch the products out in 1-3 working days after receiving your orders. Delivery time maybe differs from different purchasing way or location, please kindly consult your local distributors for specific delivery time.
-
用途:For Research Use Only. Not for use in diagnostic or therapeutic procedures.
相關產品
靶點詳情
-
功能:UDPGT is of major importance in the conjugation and subsequent elimination of potentially toxic xenobiotics and endogenous compounds. This isoform has specificity for phenols. Isoform 3 lacks transferase activity but acts as a negative regulator of isoform 1.
-
基因功能參考文獻:
- high activityUGT1A6 genotype is associated with an increased risk for Warthin's tumor PMID: 25899702
- Rs28898617 (UGT1A6, A > G) variation was associated with an increase in NCVPA. PMID: 27855134
- Oxidative stress and histone modifications may promote transcriptional activation of Ugt1a6 and Ugt1a7 genes. PMID: 26684499
- Identified coding variants on UGT1A1 and UGT1A6 genes in association with serum bilirubin level and hyperbilirubinemia risk in elderly subjects. PMID: 26039129
- Evaluating the association of UGT1A6 2 Ser7Ala polymorphism with drug response, there was no significant difference in the genotypic distribution between responders and non-responders. PMID: 24036429
- Validation of variants in SLC28A3 and UGT1A6 as genetic markers predictive of anthracycline-induced cardiotoxicity in children. PMID: 23441093
- Lower adjusted plasma VPA concentrations were also observed in patients with UGT1A6 double heterozygosities than those with single heterozygosity. PMID: 23099353
- UGT1A6 polymorphisms may be used to identify people with increased risk of developing lung cancer PMID: 22912755
- Polymorphism in UDP-glucuronosyltransferase 1A6 is associated with colorectal cancer. PMID: 22901212
- the protective T allele of rs17863783 was found to be associated with increased mRNA expression of UGT1A6.1; study suggests that rs17863783 may protect from bladder cancer by increasing the removal of carcinogens from bladder epithelium by the UGT1A6.1 protein PMID: 22228101
- Dual polymorphisms of UDP glucuronosyl-transferases 1A6 and 1A1 in a patient with Gilbert's syndrome who had persistent hyperserotoninemia that responded to octreotide are reported. PMID: 22450351
- analysis of UGT1A6 variants and aspirin use in a randomized trial of celecoxib for prevention of colorectal adenoma PMID: 22030088
- The percentage of APAP was higher among UGT1A6*1/*1 genotypes, relative to *1/*2 and *2/*2 genotypes (P = 0.045). PMID: 21666065
- development of UGT1A1 and 1A6 was studied in 50 pediatric liver samples; data imply independent regulation of UGT1A1 and 1A6 where activity has matured after 6 months to 1 year PMID: 21266593
- A positive association is found between UGT1A6 genotypes and the occurrence of anti-tuberculosis drug induced hepatic-injury. PMID: 21586239
- evaluated cross-sectionally whether urinary excretion of ASA and its metabolites differed by UGT1A6 genotype and dietary factors shown to induce UGT PMID: 21625173
- Letter: Results suggest that a small breast cancer risk conveyed by UGT1A1 and UGT1A6 variants may be further amplified by the experience of persisting stressful events. PMID: 20686835
- The induction of UGT1A6 by methotrexate alone or in combination with other antineoplastics is reported. PMID: 20854796
- Subjects carrying allele of MPO rs7208693 A and UGT1A6 rs6759892 G or rs1105879 C at the same time could be more susceptible to chronic benzene poisoning. PMID: 17424838
- In a study of Japanese renal transplant recipients, there are no significant differences in the area under the plasma concentration-time curve ratio of mycophenolic acid glucuronide/MPA between UGT1A6 I399C/T genotypes. PMID: 18695635
- The subjects carrying GSTP1rs947894 AG/GG genotypes and UGT1A6 rsl105879 AA genotypes could be more susceptible to vinyl chloride monomer-induced DNA damage. PMID: 19267064
- UGT1A6 A541G gene polymorphism does not influence serum concentrations of valproic acid in Han epileptic children. PMID: 20540849
- kinetic studies of UGT1A6 metabolizing psilocin (a hallucinogenic indole alkaloid) and 4-hydroxyindole PMID: 20007669
- Data identified five different genotypes in UGT1A6, demonstrating a high variability of alleles and haplotypes, which have important roles in modifying expression and activity of UGTs. PMID: 19712005
- relevance of cysteine 126 in the glucuronidation process PMID: 12009407
- Most patients with Gilbert's syndrome may have abnormalities in glucuronidation of aspirin or coumarin- and dopamine-derivatives, due to this combination of UGT1A1*28 and UGT1A6*2 genotypes. PMID: 12480553
- These results demonstrate for the first time glucuronidation of catechols by gastric and intestinal microsomal UGTs and three human recombinant UGT isoforms.Recombinant human UGT1A6, 1A9, and 2B7 effectively catalyzed catechol glucuronidation PMID: 12623074
- Human UGT1A6 plays a predominant role in the glucuronidation of 5-hydroxytryptophol and N-acetylserotonin, whereas 6-hydroxymelatonin is not a substrate for this enzyme. PMID: 15258112
- Genetic polymorphisms in UGT1A6 is associated with colorectal cancer PMID: 15319294
- Genotyping of UGT1A6 in the Japanese, and probably other Asian populations. PMID: 15770079
- Structure and function of UGT1A6 is reviewed. PMID: 16399343
- Role of the Ah receptor in induction of enzyme UGT1A1 is reviewed. PMID: 16399344
- Total or partial deletion of the stop transfer sequence of UGT1A6 severely impaired enzyme activity highlighting its importance in both membrane assembly and function. PMID: 16529747
- Coinfections with UGT1A4 increased the normalized scopoletin glucuronidation of 6YD (the Y485D mutant of UGT1A6) much more than it affected 1YD (the Y486D mutant of UGT1A1). PMID: 17301691
- Paracetamol disposition can be used as a probe to assess UGT1A6 ontogeny in the first months of life. PMID: 17609736
- UGT1A6 is a major contributor to glucuronidation of apigenin but not genistein in intact Caco-2 cells and in cell lysates PMID: 17927138
- HNF1alpha and HNF4alpha are the factors involved in the interindividual variability of liver UGT1A6 and UGT1A9 mRNA expression. PMID: 17965524
- The studied single nucleotide polymorphisms in UGT1A6 do not appear to exert statistically significant effects on the single-dose pharmacokinetics of deferiprone. PMID: 18318774
- In females receiving ASA, the presence of the UGT1A6*2 compared to the UGT1A6*1 homozygote genotype is associated with lower plasma levels of SA, indicating faster pharmacokinetics. PMID: 19262071
- the N-terminal portion of UGT1A6 is an antigenic site; sera from autoimmune hepatitis type 1 patients reacted with amino acids in the sequence 33-37 (PQDGS) of the N-terminal of UGT1A6. PMID: 19356052
- Characterizing the effects of common UDP glucuronosyltransferase (UGT) 1A6 and UGT1A1 polymorphisms on cis- and trans-resveratrol glucuronidation. PMID: 19406951
- study does not support a role of COX2 and UGT1A6 genetic variations in the development of colon cancer PMID: 19437564
- Oolymorphisms in UGT1A6 may contribute to interindividual and intra-ethnic differences, which may be helpful in the development of pharmacogenomics in China. PMID: 19450126
- Single-nucleotide polymorphisms, T181A of the UGT1A6 gene is found to be significantly associated with the risk of asthma. PMID: 19575027
- Genetic polymorphisms in UDP-glucuronosyltransferase 1A6 are not associated with NSAIDs-related peptic ulcer haemorrhage. PMID: 19799547
- Observational study of gene-environment interaction and healthcare-related. (HuGE Navigator) PMID: 16305586
顯示更多
收起更多
-
亞細胞定位:Microsome. Endoplasmic reticulum membrane; Single-pass membrane protein.
-
蛋白家族:UDP-glycosyltransferase family
-
組織特異性:Expressed in skin. Isoforms 1 and 3 are expressed in kidney and liver. Isoform 1 but not isoform 2 is expressed in colon, esophagus and small intestine.
-
數據庫鏈接:
Most popular with customers
-
-
YWHAB Recombinant Monoclonal Antibody
Applications: ELISA, WB, IHC, IF, FC
Species Reactivity: Human, Mouse, Rat
-
Phospho-YAP1 (S127) Recombinant Monoclonal Antibody
Applications: ELISA, WB, IHC
Species Reactivity: Human
-
-
-
-
-















