UCP2 Antibody
-
中文名稱:UCP2兔多克隆抗體
-
貨號:CSB-PA025555EA01HU
-
規格:¥440
-
圖片:
-
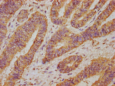
IHC image of CSB-PA025555EA01HU diluted at 1:50 and staining in paraffin-embedded human colon cancer performed on a Leica BondTM system. After dewaxing and hydration, antigen retrieval was mediated by high pressure in a citrate buffer (pH 6.0). Section was blocked with 10% normal goat serum 30min at RT. Then primary antibody (1% BSA) was incubated at 4°C overnight. The primary is detected by a biotinylated secondary antibody and visualized using an HRP conjugated SP system.
-
-
其他:
產品詳情
-
產品名稱:Rabbit anti-Homo sapiens (Human) UCP2 Polyclonal antibody
-
Uniprot No.:
-
基因名:
-
別名:UCP2; SLC25A8; Mitochondrial uncoupling protein 2; UCP 2; Solute carrier family 25 member 8; UCPH
-
宿主:Rabbit
-
反應種屬:Human
-
免疫原:Recombinant Human Mitochondrial uncoupling protein 2 protein (137-180AA)
-
免疫原種屬:Homo sapiens (Human)
-
標記方式:Non-conjugated
本頁面中的產品,UCP2 Antibody (CSB-PA025555EA01HU),的標記方式是Non-conjugated。對于UCP2 Antibody,我們還提供其他標記。見下表:
-
克隆類型:Polyclonal
-
抗體亞型:IgG
-
純化方式:>95%, Protein G purified
-
濃度:It differs from different batches. Please contact us to confirm it.
-
保存緩沖液:Preservative: 0.03% Proclin 300
Constituents: 50% Glycerol, 0.01M PBS, PH 7.4 -
產品提供形式:Liquid
-
應用范圍:ELISA, IHC
-
推薦稀釋比:
Application Recommended Dilution IHC 1:20-1:200 -
Protocols:
-
儲存條件:Upon receipt, store at -20°C or -80°C. Avoid repeated freeze.
-
貨期:Basically, we can dispatch the products out in 1-3 working days after receiving your orders. Delivery time maybe differs from different purchasing way or location, please kindly consult your local distributors for specific delivery time.
-
用途:For Research Use Only. Not for use in diagnostic or therapeutic procedures.
相關產品
靶點詳情
-
功能:UCP are mitochondrial transporter proteins that create proton leaks across the inner mitochondrial membrane, thus uncoupling oxidative phosphorylation from ATP synthesis. As a result, energy is dissipated in the form of heat.
-
基因功能參考文獻:
- rs1800849 in UCP3 were significantly associated with prediabetes in a rural Chinese population. Overweight modified the effect of rs660339 of UCP2 on type 2 diabetes. These findings suggested that rs1800849 in UCP3 and rs660339 in UCP2 might play an important role in the incidence and development of type 2 diabetes. PMID: 29529994
- Data do not support the role of variants in UCP2 as a monogenic cause of hyperinsulinaemic hypoglycaemia. PMID: 28681398
- Aspergillus protease-mediated mitochondrial Reactive Oxygen Species (ROS) production was associated with downregulation of uncoupling protein (UCP)-2 expression by TGF-beta-SMAD4 signaling, which may play a regulatory role in mitochondrial ROS formation during fungal protease-mediated epithelial inflammation. PMID: 30007886
- UCP2-866 G/A polymorphism is associated with obesity. PMID: 29634487
- Dats suggest that UCP2 levels in peripheral blood mononuclear cells of obese women with low REE (resting energy expenditure) are significantly lower compared to obese women with low REE and compared to normal weight women. PMID: 29017362
- The A/A genotype was found to be an independent marker of good prognosis after adjustment for secondary variables (age, sex, glucose level, NIHSS score at baseline, complete recanalization and early neurological improvement) in a logistic regression analysis. The AA genotype of UCP2-866 may predict a better functional outcome in ischemic stroke after recanalization of proximal MCA occlusion. PMID: 29043564
- UCP2 inhibits myointimal hyperplasia after vascular injury, probably through suppressing nuclear factor-kappaB-dependent smooth muscle cell proliferation and migration. PMID: 29025747
- Study shows that the mitochondrial uncoupling protein 2 rs659366 A allele and rs660339 T allele are both related to longer leukocyte telomere in subjects without diabetes, independent of cardiovascular risk factors. PMID: 27615599
- Evaluated association between nonalcoholic fatty liver disease (NAFLD) and single nucleotide polymorphism 866G of human uncoupling protein 2 (UCP2). PMID: 27794526
- The present study identified a novel gene, UCP2, that influences the serum urate concentration and the risk of hyperuricemia, and the degree of association varies with gender and BMI levels. PMID: 27273589
- UCP2 regulates the activity of SIRT3 through sensing the energy level and, in turn, maintaining the mitochondrial steady state, which demonstrates a cytoprotective effect on ischemia-reperfusion injury. PMID: 28737710
- UCP2 is a key mediator of hypoxia-triggered chemoresistance in non-small cell lung cancer cells via repression of peroxisome proliferator-activated receptor gamma. PMID: 28042952
- Results here presented suggest that UCP variability has different pleiotropic effects, by affecting both telomere length and glucose homeostasis, likely through an influence on energy metabolism and stress response PMID: 28281015
- UCP2 expression is associated with weight loss after hypocaloric diet intervention. PMID: 27759071
- Decreased UCP2 gene expression in mononuclear cells from obese and diabetic patients might contribute to the immunological abnormalities in these metabolic disorders and suggests its role as a candidate gene in future studies of obesity and diabetes. PMID: 29151065
- UCP2 stimulates hnRNPA2/B1, GLUT1 and PKM2 expression and sensitizes pancreatic cancer cells to glycolysis inhibition. PMID: 27989750
- The data indicate that in the context of hepatocellular carcinoma, miR-214 acts as a putative tumour suppressor by targeting UCP2 and defines a novel mechanism of regulation of UCP2. PMID: 27129291
- UCP2 inhibition triggered cellular apoptosis and autophagy. PMID: 28089824
- Expression of UCP2 and PLIN1 genes influences the resting metabolic rate in obese individuals and could predict the weight loss after bariatric surgery. PMID: 27376365
- The lack of association with ECG derived QTd and UCP2 DD may suggest that gene-related QRS duration prolongation is independent of cardiac hypertrophy. PMID: 27875726
- Cellular feedback regulation may occur between UCP2/UCP3 and ACE. Cellular UCP regulation of sACE suggests a novel means of crosstalk between (and mutual regulation of) cellular and endocrine metabolism. PMID: 27417115
- our study provides evidence that the genetic risk factors for healthy aging differ in males and females, as expected from the differences in the phenotypes associated with healthy aging between the two sexes. It also has implications for how mitochondrial function changes during aging. PMID: 26965008
- Study reports that insulin resistance-related gene polymorphisms effects colorectal cancer (CRC) risk. The results showed that the gene polymorphism of ADIPOQ rs2241766 was associated with CRC risk. Furthermore, the interactions of ADIPOQ rs2241766, UCP2 rs659366, FABP2 rs1799883 and red meat consumption may contribute to the risk of CRC. PMID: 23826253
- the major components of metabolic syndrome in patients with non-alcoholic fatty liver disease (NAFLD) and nutritional intakes according to different genotype of uncoupling protein-2 (UCP2) -866G/A gene polymorphism in these patients, are reported. PMID: 27301474
- Data suggest that UCP2 is an important regulator of mitochondrial redox status and lipid signaling, and that hydrogen peroxide might mediate UCP2's tumor promoting activity in skin. PMID: 28574619
- our data revealed that COL1A1, UCP2, and PRPF40A are novel players implicated in the complex network of hypoxia response in non-small cell lung cancer PMID: 28258342
- effects of UCP2 polymorphisms on the brain PMID: 28771482
- genetic association studies on population in Brazil: Data suggest that a missense mutation (rs660339, Ala55Val) and an SNP (rs659366, -866G>A) in UCP2 are associated with weight loss in patients with morbid obesity following Roux-en-Y gastric bypass; individuals who carry T (CT+TT) and A (GA+AA) mutated alleles for Ala55Val and -866G>A, respectively, exhibit higher weight loss and fat-free mass loss. PMID: 27743836
- Dominant UCP2 mutations are a more important cause of congenital hyperinsulinism than has been recognized and that affected individuals are markedly hypersensitive to glucose-induced hypoglycemia. PMID: 27967291
- UCP2 has an apoptotic effect in beta cells via regulation of the intrinsic pathway of apoptosis in brain dead organ donors. PMID: 28222054
- genetic association studies in population in Brazil: Data suggest that two SNPs in UCP2 (rs660339, Ala55Val; rs659366, -866G>A) are associated with ability of patients to comply with dietary restrictions follow bariatric surgery for morbid obesity; thus, UCP2 may be involved in appetite regulation and/or satiety response. PMID: 27256164
- The 'AA' genotype of UCP2 promoter gene polymorphism G to A at - 866 position revealed 12.39 folds risk for presbycusis. PMID: 27562082
- Estrogens may increase mitochondrial reactive oxygen species production by repressing uncoupling proteins including UCP2. PMID: 26450681
- UCP2 as a selective modulator of single channel MCU dependent mitochondrial Ca2+ inward current. PMID: 26275882
- GTPBP3 plays a role in the regulation of UCP2 protein through AMPK signaling. PMID: 26642043
- We conclude that UCP2 neither mediates palmitate-induced mitochondrial ROS generation and the associated cell loss, nor protects against these deleterious effects. Instead, UCP2 dampens palmitoleate protection against palmitate toxicity. PMID: 25482405
- UCP2 is expressed in human cumulus cells. PMID: 26356408
- Higher UCP2 expression corresponded with a poorer prognosis in breast cancer patients. PMID: 25960046
- Data reported here suggest that the UCP2 -866A/55Val/Ins haplotype is associated with an increased risk for DKD and with a lower eGFR in T2DM patients PMID: 26218518
- Dissipation of the proton gradient by Ucp2 is not the only determinant of the phagocytic capacity and that anion transfer or nucleotide binding by Ucp2 is also essential for Ucp2-mediated engulfment of apoptotic cells. PMID: 26082030
- ectopic overexpression of UCP2 in a HCC cell line with low endogenous UCP2 expression, HLE, significantly decreased mitochondrial superoxide induction by the anti-cancer drug GEM. PMID: 26181366
- exogenous expression of miR133a or knockdown of UCP-2 in MCF-7/Dox cells can sensitize their reaction to the treatment of Doxorubicin PMID: 26107945
- Findings in 20 242 individuals suggest that UCP2 gene polymorphisms may cause liver dysfunction through the interaction with body fat rather than alcohol intake. PMID: 26526553
- In the face of high glucose threat, mitochondrial UCP2 gene expression is regulated by miR-2909 and AATF. PMID: 25976474
- UCP2 -866 A/A genotype is associated with increased hepatic UCP2 expression and reduced risk of nonalcoholic steatohepatitis, particularly in subjects with normal fasting glucose. PMID: 25351290
- UCP2 may be implicated in the pathogenesis of type 2 diabetes mellitus and diabetic retinopathy in Chinese population. PMID: 25396419
- The UCP-2 exon 8 del/ins polymorphism was associated with higher degree of obesity, insulin resistance, dyslipideamia and lower adjusted metabolic rate. PMID: 25081806
- Polymorphism of UCP2 gene is being associated with obesity and diabetes mellitus type 2 among residents of the Moscow Region. PMID: 26402942
- The meta-analysis detected a significant association between the UCP2-866G/A, Ins/Del, Ala55Val and UCP3-55C/T polymorphisms and BMI mean differences. PMID: 24804925
- UCP2 may function as a sensor and negative regulator of mitochondrial ROS production in response to hyperglycemia. PMID: 25910810
顯示更多
收起更多
-
亞細胞定位:Mitochondrion inner membrane; Multi-pass membrane protein.
-
蛋白家族:Mitochondrial carrier (TC 2.A.29) family
-
組織特異性:Widely expressed in adult human tissues, including tissues rich in macrophages. Most expressed in white adipose tissue and skeletal muscle.
-
數據庫鏈接:
Most popular with customers
-
-
YWHAB Recombinant Monoclonal Antibody
Applications: ELISA, WB, IHC, IF, FC
Species Reactivity: Human, Mouse, Rat
-
Phospho-YAP1 (S127) Recombinant Monoclonal Antibody
Applications: ELISA, WB, IHC
Species Reactivity: Human
-
-
-
-
-















