UBR1 Antibody
-
中文名稱:UBR1兔多克隆抗體
-
貨號:CSB-PA812883LA01HU
-
規格:¥440
-
圖片:
-
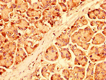
IHC image of CSB-PA812883LA01HU diluted at 1:500 and staining in paraffin-embedded human pancreatic tissue performed on a Leica BondTM system. After dewaxing and hydration, antigen retrieval was mediated by high pressure in a citrate buffer (pH 6.0). Section was blocked with 10% normal goat serum 30min at RT. Then primary antibody (1% BSA) was incubated at 4°C overnight. The primary is detected by a biotinylated secondary antibody and visualized using an HRP conjugated SP system.
-
Immunofluorescence staining of U251 cells with CSB-PA812883LA01HU at 1:166, counter-stained with DAPI. The cells were fixed in 4% formaldehyde, permeabilized using 0.2% Triton X-100 and blocked in 10% normal Goat Serum. The cells were then incubated with the antibody overnight at 4°C. The secondary antibody was Alexa Fluor 488-congugated AffiniPure Goat Anti-Rabbit IgG(H+L).
-
-
其他:
產品詳情
-
產品名稱:Rabbit anti-Homo sapiens (Human) UBR1 Polyclonal antibody
-
Uniprot No.:
-
基因名:UBR1
-
別名:E3 ubiquitin-protein ligase UBR1 antibody; JBS antibody; N-recognin-1 antibody; ubiquitin protein ligase E3 component n-recognin 1 antibody; Ubiquitin-protein ligase E3-alpha-1 antibody; Ubiquitin-protein ligase E3-alpha-I antibody; UBR1 antibody; UBR1_HUMAN antibody
-
宿主:Rabbit
-
反應種屬:Human
-
免疫原:Recombinant Human E3 ubiquitin-protein ligase UBR1 protein (722-862AA)
-
免疫原種屬:Homo sapiens (Human)
-
標記方式:Non-conjugated
本頁面中的產品,UBR1 Antibody (CSB-PA812883LA01HU),的標記方式是Non-conjugated。對于UBR1 Antibody,我們還提供其他標記。見下表:
-
克隆類型:Polyclonal
-
抗體亞型:IgG
-
純化方式:>95%, Protein G purified
-
濃度:It differs from different batches. Please contact us to confirm it.
-
保存緩沖液:Preservative: 0.03% Proclin 300
Constituents: 50% Glycerol, 0.01M PBS, pH 7.4 -
產品提供形式:Liquid
-
應用范圍:ELISA, IHC, IF
-
推薦稀釋比:
Application Recommended Dilution IHC 1:500-1:1000 IF 1:50-1:200 -
Protocols:
-
儲存條件:Upon receipt, store at -20°C or -80°C. Avoid repeated freeze.
-
貨期:Basically, we can dispatch the products out in 1-3 working days after receiving your orders. Delivery time maybe differs from different purchasing way or location, please kindly consult your local distributors for specific delivery time.
-
用途:For Research Use Only. Not for use in diagnostic or therapeutic procedures.
相關產品
靶點詳情
-
功能:E3 ubiquitin-protein ligase which is a component of the N-end rule pathway. Recognizes and binds to proteins bearing specific N-terminal residues that are destabilizing according to the N-end rule, leading to their ubiquitination and subsequent degradation. May be involved in pancreatic homeostasis. Binds leucine and is a negative regulator of the leucine-mTOR signaling pathway, thereby controlling cell growth.
-
基因功能參考文獻:
- UBR1 mutations of single or multi-exon deletions or duplications account for a substantial proportion of Johanson-Blizzard syndrome. PMID: 29178640
- The frequency of any non-synonymous or synonymous variants was not different between the patients with chronic pancreatitis and controls PMID: 27397733
- Reduced UBR1 expression affects MGMT turnover and DNA repair in the smokers lungs. PMID: 26183928
- For all previously reported and novel UBR1 mutations together with their clinical data, a mutation database has been established at LOVD. PMID: 24599544
- Testing the fetus and the affected sibling with recurrent Johanson-Blizzard syndrome revealed a homozygous truncating mutation in UBR1. PMID: 21711208
- Results confirmed the relevance of specific missense UBR1 alleles to JBS, and suggested that a residual activity of a missense allele is causally associated with milder variants of JBS. PMID: 21931868
- Molecular studies revealed a novel homozygous nonsense mutation in exon 38 of the UBR1 gene, which confirmed the diagnosis of Johanson-Blizzard syndrome. PMID: 20556423
- Ubc2/Rad6 ser(120) regulates ubiquitin-dependent N-end rule targeting by E3{alpha}/Ubr1 PMID: 21041297
- Deficiency of UBR1 perturbs the pancreas' acinar cells and other organs, presumably owing to metabolic stabilization of specific substrates of the N-end rule pathway. PMID: 16311597
- Sustained ERK5 activity and the E3 ligase UBR1 regulate the stability and subcellular localization of c-Fos. PMID: 17018293
- Thus we propose that autoISGylation of EFP negatively regulates its ISG15 E3 ligase activity for 14-3-3sigma. PMID: 17222803
- These results suggest that Rabring7 is involved in the endocytic trafficking of EGFR through its E3 ligase activity. PMID: 17462600
- Thiazolidinediones modulate the expression of beta catenin and other cell cycle proteins by targeting UBR1 independently of PPARG. PMID: 17569795
- E3 ubiquitin ligase is an essential downstream component of the RAS signal transduction pathway. PMID: 18089810
- study reports on two apparently unrelated girls with Johanson-Blizzard syndrome, in both children caused by a homozygous IVS26+5G>A mutation in the UBR1 gene PMID: 19006206
- Case Report: Johanson-Blizzard syndrome with mild phenotypic features confirmed by UBR1 gene testing. PMID: 19058315
顯示更多
收起更多
-
相關疾病:Johanson-Blizzard syndrome (JBS)
-
亞細胞定位:Cytoplasm, cytosol.
-
蛋白家族:UBR1 family
-
組織特異性:Broadly expressed, with highest levels in skeletal muscle, kidney and pancreas. Present in acinar cells of the pancreas (at protein level).
-
數據庫鏈接:
Most popular with customers
-
-
YWHAB Recombinant Monoclonal Antibody
Applications: ELISA, WB, IHC, IF, FC
Species Reactivity: Human, Mouse, Rat
-
Phospho-YAP1 (S127) Recombinant Monoclonal Antibody
Applications: ELISA, WB, IHC
Species Reactivity: Human
-
-
-
-
-















