UBP1 Antibody
-
中文名稱:UBP1兔多克隆抗體
-
貨號:CSB-PA271355
-
規格:¥1100
-
圖片:
-
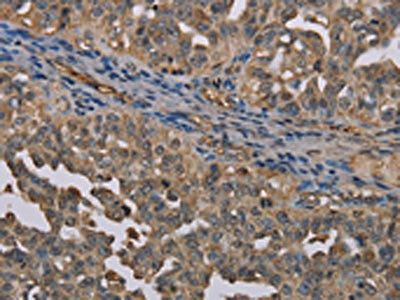
The image on the left is immunohistochemistry of paraffin-embedded Human ovarian cancer tissue using CSB-PA271355(UBP1 Antibody) at dilution 1/40, on the right is treated with synthetic peptide. (Original magnification: ×200)
-
Gel: 8%SDS-PAGE, Lysate: 40 μg, Lane: Hepg2 cells, Primary antibody: CSB-PA271355(UBP1 Antibody) at dilution 1/200, Secondary antibody: Goat anti rabbit IgG at 1/8000 dilution, Exposure time: 20 seconds
-
-
其他:
產品詳情
-
Uniprot No.:
-
基因名:UBP1
-
別名:UBP1 antibody; LBP1 antibody; Upstream-binding protein 1 antibody; Transcription factor LBP-1 antibody
-
宿主:Rabbit
-
反應種屬:Human,Mouse
-
免疫原:Synthetic peptide of Human UBP1
-
免疫原種屬:Homo sapiens (Human)
-
標記方式:Non-conjugated
-
抗體亞型:IgG
-
純化方式:Antigen affinity purification
-
濃度:It differs from different batches. Please contact us to confirm it.
-
保存緩沖液:-20°C, pH7.4 PBS, 0.05% NaN3, 40% Glycerol
-
產品提供形式:Liquid
-
應用范圍:ELISA,WB,IHC
-
推薦稀釋比:
Application Recommended Dilution ELISA 1:2000-1:5000 WB 1:200-1:1000 IHC 1:50-1:200 -
Protocols:
-
儲存條件:Upon receipt, store at -20°C or -80°C. Avoid repeated freeze.
-
貨期:Basically, we can dispatch the products out in 1-3 working days after receiving your orders. Delivery time maybe differs from different purchasing way or location, please kindly consult your local distributors for specific delivery time.
-
用途:For Research Use Only. Not for use in diagnostic or therapeutic procedures.
相關產品
靶點詳情
-
功能:Functions as a transcriptional activator in a promoter context-dependent manner. Modulates the placental expression of CYP11A1. Involved in regulation of the alpha-globin gene in erythroid cells. Activation of the alpha-globin promoter in erythroid cells is via synergistic interaction with TFCP2. Involved in regulation of the alpha-globin gene in erythroid cells. Binds strongly to sequences around the HIV-1 initiation site and weakly over the TATA-box. Represses HIV-1 transcription by inhibiting the binding of TFIID to the TATA-box.
-
基因功能參考文獻:
- Data revealed that dimers composed of LBP-1a and LBP-1c were re-formed probably by a partner-exchange of LBP-1b-containing heterodimers. PMID: 19751393
- LBP-1b is an important SF1-independent transcriptional activator stimulating P450scc expression in human placental JEG-3 cells, whereas LBP-9 modulates the action of LBP-1b, exerting both positive and negative effects PMID: 15471945
- LBP-1b and LBP-9 both stimulate LBP-32/MGR promoter activity. PMID: 18004979
- UBP1 is a critical blood pressure determinant using a combination of mouse and human genetics. PMID: 19662162
-
亞細胞定位:Nucleus.
-
蛋白家族:Grh/CP2 family, CP2 subfamily
-
組織特異性:Expressed in adrenal tissue, JEG-3, NCI-H295A, Hep-G2 and HeLa cell lines.
-
數據庫鏈接:
Most popular with customers
-
-
YWHAB Recombinant Monoclonal Antibody
Applications: ELISA, WB, IHC, IF, FC
Species Reactivity: Human, Mouse, Rat
-
-
-
-
-
-















