UBASH3B Antibody
-
中文名稱:UBASH3B兔多克隆抗體
-
貨號:CSB-PA840585ESR2HU
-
規格:¥440
-
圖片:
-
其他:
產品詳情
-
產品名稱:Rabbit anti-Homo sapiens (Human) UBASH3B Polyclonal antibody
-
Uniprot No.:
-
基因名:UBASH3B
-
別名:Cbl interacting protein p70 antibody; Cbl interacting protein Sts 1 antibody; Cbl interacting protein Sts1 antibody; Cbl-interacting protein p70 antibody; KIAA1959 antibody; MGC15437 antibody; Nm23 phosphorylated unknown substrate antibody; p70 antibody; SH3 domain containing 70 kDa protein antibody; Sts 1 antibody; STS-1 antibody; STS1 antibody; Suppressor of T cell receptor signaling 1 antibody; Suppressor of T-cell receptor signaling 1 antibody; T-cell ubiquitin ligand 2 antibody; TULA-2 antibody; Tyrosine-protein phosphatase STS1/TULA2 antibody; Ubash3b antibody; Ubiquitin associated and SH3 domain containing B antibody; Ubiquitin-associated and SH3 domain-containing protein B antibody; UBS3B_HUMAN antibody
-
宿主:Rabbit
-
反應種屬:Human
-
免疫原:Recombinant Human Ubiquitin-associated and SH3 domain-containing protein B protein (1-300AA)
-
免疫原種屬:Homo sapiens (Human)
-
標記方式:Non-conjugated
-
克隆類型:Polyclonal
-
抗體亞型:IgG
-
純化方式:Antigen Affinity Purified
-
濃度:It differs from different batches. Please contact us to confirm it.
-
保存緩沖液:PBS with 0.02% sodium azide, 50% glycerol, pH7.3.
-
產品提供形式:Liquid
-
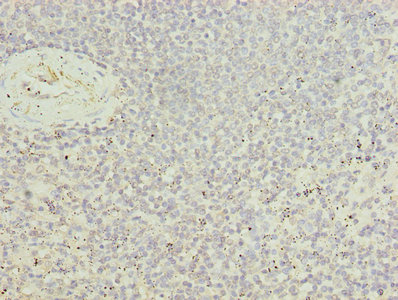
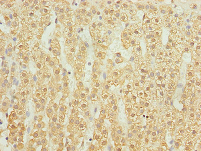
應用范圍:ELISA, IHC
-
推薦稀釋比:
Application Recommended Dilution IHC 1:20-1:200 -
Protocols:
-
儲存條件:Upon receipt, store at -20°C or -80°C. Avoid repeated freeze.
-
貨期:Basically, we can dispatch the products out in 1-3 working days after receiving your orders. Delivery time maybe differs from different purchasing way or location, please kindly consult your local distributors for specific delivery time.
-
用途:For Research Use Only. Not for use in diagnostic or therapeutic procedures.
相關產品
靶點詳情
-
功能:Interferes with CBL-mediated down-regulation and degradation of receptor-type tyrosine kinases. Promotes accumulation of activated target receptors, such as T-cell receptors and EGFR, on the cell surface. Exhibits tyrosine phosphatase activity toward several substrates including EGFR, FAK, SYK, and ZAP70. Down-regulates proteins that are dually modified by both protein tyrosine phosphorylation and ubiquitination.
-
基因功能參考文獻:
- Data suggest that Sts1 (suppressor of T-cell receptor signaling-1) negatively regulates TCR (T-cell receptor) signaling in activated T-lymphocytes via dephosphorylation of ZAP70. PMID: 24256567
- The results show that the interaction between STS-1 and ShcA is regulated in response to EGF receptor activation. PMID: 28690151
- The study reveals a role of CBL in restricting myeloid proliferation of human AML1-ETOinduced leukemia, and identifies UBASH3B as a potential target for pharmaceutical intervention. PMID: 26449661
- targeting Aurora B to microtubules by UBASH3B is necessary for the timing and fidelity of chromosome segregation in human cells PMID: 26766443
- These results show that TULA-2 is a target of miR-148a-3p PMID: 26516227
- This recovery involves the phosphorylation of p70 independent of mTOR. PMID: 25271148
- results demonstrate the importance of STS-1 in regulating IFN-alpha-induced autophagy in B cells PMID: 25959715
- UBASH3B is a functional target of anti-invasive microRNA200a that is down-regulated in triple negative breast cancer. Importantly, the oncogenic potential of UBASH3B is dependent on its tyrosine phosphatase activity. PMID: 23784775
- Ablation of TULA-2 resulted in hyperphosphorylation of Syk and its downstream effector phospholipase C-gamma2 as well as enhanced GPVI-mediated platelet functional responses. PMID: 20585042
- hsp70 inhibits apoptosis upstream and downstream of the mitochondria and is a promising therapeutic target for reversing drug-resistance in chronic myeloid leukemia-blast crisis and acute myeloid leukemia cells. PMID: 15388581
顯示更多
收起更多
-
亞細胞定位:Cytoplasm. Nucleus.
-
數據庫鏈接:
Most popular with customers
-
-
YWHAB Recombinant Monoclonal Antibody
Applications: ELISA, WB, IHC, IF, FC
Species Reactivity: Human, Mouse, Rat
-
-
-
-
-
-















