-
中文名稱:UBAP2L兔多克隆抗體
-
貨號:CSB-PA622754LA01HU
-
規格:¥440
-
圖片:
-
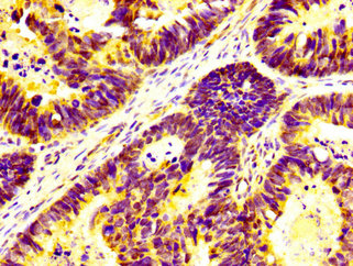
IHC image of CSB-PA622754LA01HU diluted at 1:400 and staining in paraffin-embedded human ovarian cancer performed on a Leica BondTM system. After dewaxing and hydration, antigen retrieval was mediated by high pressure in a citrate buffer (pH 6.0). Section was blocked with 10% normal goat serum 30min at RT. Then primary antibody (1% BSA) was incubated at 4°C overnight. The primary is detected by a biotinylated secondary antibody and visualized using an HRP conjugated SP system.
-
Immunofluorescence staining of MCF-7 cells with CSB-PA622754LA01HU at 1:133, counter-stained with DAPI. The cells were fixed in 4% formaldehyde, permeabilized using 0.2% Triton X-100 and blocked in 10% normal Goat Serum. The cells were then incubated with the antibody overnight at 4°C. The secondary antibody was Alexa Fluor 488-congugated AffiniPure Goat Anti-Rabbit IgG(H+L).
-
-
其他:
產品詳情
-
產品名稱:Rabbit anti-Homo sapiens (Human) UBAP2L Polyclonal antibody
-
Uniprot No.:
-
基因名:
-
別名:FLJ42300 antibody; KIAA0144 antibody; NICE 4 antibody; NICE4 antibody; Protein NICE-4 antibody; Protein NICE4 antibody; Ubap2l antibody; Ubiquitin associated protein 2 like antibody; Ubiquitin-associated protein 2-like antibody; UBP2L_HUMAN antibody
-
宿主:Rabbit
-
反應種屬:Human
-
免疫原:Recombinant Human Ubiquitin-associated protein 2-like protein (104-252AA)
-
免疫原種屬:Homo sapiens (Human)
-
標記方式:Non-conjugated
本頁面中的產品,UBAP2L Antibody (CSB-PA622754LA01HU),的標記方式是Non-conjugated。對于UBAP2L Antibody,我們還提供其他標記。見下表:
-
克隆類型:Polyclonal
-
抗體亞型:IgG
-
純化方式:>95%, Protein G purified
-
濃度:It differs from different batches. Please contact us to confirm it.
-
保存緩沖液:Preservative: 0.03% Proclin 300
Constituents: 50% Glycerol, 0.01M PBS, pH 7.4 -
產品提供形式:Liquid
-
應用范圍:ELISA, IHC, IF
-
推薦稀釋比:
Application Recommended Dilution IHC 1:200-1:500 IF 1:50-1:200 -
Protocols:
-
儲存條件:Upon receipt, store at -20°C or -80°C. Avoid repeated freeze.
-
貨期:Basically, we can dispatch the products out in 1-3 working days after receiving your orders. Delivery time maybe differs from different purchasing way or location, please kindly consult your local distributors for specific delivery time.
-
用途:For Research Use Only. Not for use in diagnostic or therapeutic procedures.
引用文獻
- Depletion of UBAP2L suppresses colorectal cancer cell proliferation and radiotherapy resistance by regulating GPX4 Y Li, X Wang, X Zhang, S Zhao, J Lei, C Xu,Journal of Cancer Research and Clinical Oncology,2025
相關產品
靶點詳情
-
功能:Plays an important role in the activity of long-term repopulating hematopoietic stem cells (LT-HSCs). Required for efficient formation of stress granules.
-
基因功能參考文獻:
- UBAP2L plays an oncogenic role in HCC, and knockdown of its expression significantly inhibits HCC growth and metastasis, which may be related to the regulation of PI3K/AKT and P53 signaling pathways by UBAP2L. PMID: 30291221
- High UBAP2L expression is associated with breast cancer. PMID: 29196913
- UBAP2L was overexpressed in HCC, and patients with high UBAP2L expression had unfavorable prognosis. PMID: 28981479
- UBAP2L is amplified in 15% of human primary lung adenocarcinoma specimens. Such patients express higher levels of UBAP2L and show a reduction in survival when compared with those who do not have this gene amplification. PMID: 28754713
- UBAP2L plays a critical role in maintenance of the metastatic ability of Hepatocellular Carcinoma Cells cells via SNAIL1 Regulation and is predictive of a poor clinical outcome. PMID: 28334716
- These results suggest that UBAP2L has a key role in glioma cell growth, and may act as an oncogene to promote malignant glioma development. PMID: 26310274
- arginine residues in the RGG/RG motif of UBAP2L were directly methylated by PRMT1. RGG/RG motif of UBAP2L is essential for the proper alignment of chromosomes. PMID: 26381755
- Knockdown of UBAP2L in prostate carcinoma inhibited cell proliferation, migration, and colony formation ability, and blocked cell cycle progression. PMID: 25069639
- Two different BMI1-containing PcG complexes regulate hematopoietic stem cell activity, which are distinguishable by the presence of UBAP2L. PMID: 25185265
顯示更多
收起更多
-
亞細胞定位:Cytoplasm, Stress granule.
-
組織特異性:Ubiquitous.
-
數據庫鏈接:
Most popular with customers
-
YWHAB Recombinant Monoclonal Antibody
Applications: ELISA, WB, IHC, IF, FC
Species Reactivity: Human, Mouse, Rat
-
Phospho-YAP1 (S127) Recombinant Monoclonal Antibody
Applications: ELISA, WB, IHC
Species Reactivity: Human
-
-
-
-
-
-















