-
中文名稱:TXNRD2兔多克隆抗體
-
貨號:CSB-PA885675ESR2HU
-
規格:¥440
-
圖片:
-
Western blot
All lanes: Thioredoxin reductase 2, mitochondrial antibody at 6μg/ml
Lane 1: Mouse liver tissue
Lane 2: Mouse gonad tissue
Lane 3: Hela whole cell lysate
Secondary
Goat polyclonal to rabbit IgG at 1/10000 dilution
Predicted band size: 57, 54, 47, 31 kDa
Observed band size: 57 kDa -
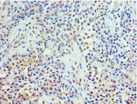
Immunohistochemistry of paraffin-embedded human breast cancer using CSB-PA885675ESR2HU at dilution of 1:100
-
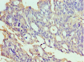
Immunohistochemistry of paraffin-embedded human endometrial cancer using CSB-PA885675ESR2HU at dilution of 1:100
-
-
其他:
產品詳情
-
產品名稱:Rabbit anti-Homo sapiens (Human) TXNRD2 Polyclonal antibody
-
Uniprot No.:
-
基因名:TXNRD2
-
別名:mitochondrial antibody; Selenoprotein Z antibody; SelZ antibody; Thioredoxin reductase 2 antibody; Thioredoxin reductase 2 mitochondrial antibody; Thioredoxin reductase 3 antibody; Thioredoxin reductase beta antibody; Thioredoxin reductase TR3 antibody; TR 3 antibody; TR antibody; TR beta antibody; TR-beta antibody; TR3 antibody; TRXR 2 antibody; TRXR2 antibody; TRXR2_HUMAN antibody; TXNRD 2 antibody; Txnrd2 antibody
-
宿主:Rabbit
-
反應種屬:Human, Mouse
-
免疫原:Recombinant Human Thioredoxin reductase 2, mitochondrial protein (100-310AA)
-
免疫原種屬:Homo sapiens (Human)
-
標記方式:Non-conjugated
-
克隆類型:Polyclonal
-
抗體亞型:IgG
-
純化方式:Antigen Affinity Purified
-
濃度:It differs from different batches. Please contact us to confirm it.
-
保存緩沖液:PBS with 0.02% sodium azide, 50% glycerol, pH7.3.
-
產品提供形式:Liquid
-
應用范圍:ELISA, WB, IHC
-
推薦稀釋比:
Application Recommended Dilution WB 1:200-1:1000 IHC 1:20-1:200 -
Protocols:
-
儲存條件:Upon receipt, store at -20°C or -80°C. Avoid repeated freeze.
-
貨期:Basically, we can dispatch the products out in 1-3 working days after receiving your orders. Delivery time maybe differs from different purchasing way or location, please kindly consult your local distributors for specific delivery time.
-
用途:For Research Use Only. Not for use in diagnostic or therapeutic procedures.
引用文獻
- The novel thioredoxin reductase inhibitor A-Z2 triggers intrinsic apoptosis and shows efficacy in the treatment of acute myeloid leukemia Dongdong Zhang, et al,Free Radical Biology and Medicine,2019
相關產品
靶點詳情
-
功能:Involved in the control of reactive oxygen species levels and the regulation of mitochondrial redox homeostasis. Maintains thioredoxin in a reduced state. May play a role in redox-regulated cell signaling.
-
基因功能參考文獻:
- Based on recent research, it has been reported that the modulation of the Trx/TrxR system may be considered as a new target in the management of the metabolic syndrome, insulin resistance, and type 2 diabetes, as well as in the treatment of hypertension and atherosclerosis. In this review evidence about a possible role of this system as a marker of the metabolic syndrome is reported. [review] PMID: 29327078
- TrxR2 was overexpressed in non-small-cell lung cancer cells; our results suggest that TrxR2 acts as an oncogenic gene in the context of lung cancer progression PMID: 28414076
- p53R2 acts as a positive regulator of TrxR2 activity in mitochondria both under normal physiological conditions and during the cellular response to DNA damage PMID: 27866984
- TrxR2 deficiency-induced impaired proliferation and death of chondrocytes may be the pathological mechanism of the osteoarthropathy due to Selenium deficiency. PMID: 27107686
- Evidence that the rs4485648 polymorphism of the TrxR2 gene might exert an independent effect on the development of Diabetic retinopathy. PMID: 26763822
- Data suggest that TXNRD2 may represent a druggable target that could be deployed to reduce the development of fatal pulmonary metastases in patients with osteosarcoma (OS). PMID: 26573231
- A meta-analysis of the top SNPs identified three new associated loci in primary open angle glaucoma--TXNRD2, ATXN2, and FOXC1 PMID: 26752265
- The TXNRD2 rs 1548357 polymorphism might be a genetic risk factor for Myocardial infarction in subjects with T2 Diabetes mellitus of Slovenian origin. PMID: 25703281
- Data suggest TXNRD1 and TXRNRD2 function at the top of a redox pyramid that governs the oxidation state of peroxiredoxins and other protein factors, thereby dictating a hierarchy of phenotypic responses to oxidative insults. PMID: 24624337
- Absence of TXNRD2 in humans leads to glucocorticoid deficiency. PMID: 24601690
- Single Nucleotide Polymorphisms in the genes GPX1 (rs1050450, rs1800668 and rs3811699), TrxR2 (rs5748469), and DIO2 (rs225014) may not be significantly associated with Kashin-Beck disease in a Tibetan population. PMID: 24058403
- Development of subcutaneous fibrosis can be associated with genetic variation in the mitochondrial enzyme TXNRD2, critically involved in removal of ROS, and maintenance of the intracellular redox balance. PMID: 23597419
- Data suggest that dietary factor (selenium supplementation) up-regulates endogenous antioxidant systems and protects trophoblasts from oxidative stress; selenium upregulates GPX1 (glutathione peroxidase 1) and thioredoxin reductases (TXNRD1; TXNRD2). PMID: 23063346
- A role of GPx2, TrxR2 and TrxR3 in proliferation, apoptosis and, therefore, also during cancer development. PMID: 22683372
- No obvious correlation can be found between rs5748469 polymorphisms in TrxR2 gene and the susceptibility to Kashin-Beck disease. PMID: 20965815
- Mutation of this gene is involved in regulation of cellular redoc state in Dilated Cardiomyopathy. PMID: 21247928
- study reveals significant differences between TrxR1 and TrxR2 in substrate specificity and metal compound inhibition in vitro and in cells PMID: 21172426
- mammary tumors expressing the wild-type TR were readily suppressed by the IFN/RA combination. In contrast, the tumors bearing a mutant TR were resistant to regression. PMID: 12374691
- Mitochondrial thioredoxin reductase and peroxiredoxin III are overexpressed in hepatocellular carcinomas. PMID: 12530083
- Involvements of mitochondrial thioredoxin reductase in cell proliferation. PMID: 12705894
- the function of TR3 is not limited to its role in Trx2 reduction PMID: 16774913
- Nuclear extracts from rat lungs administered this reduced recombinant protein suggest a role for NF-kappaB in proinflammatory responses. PMID: 17395017
- The GPX1 198 Pro/Pro and TXNRD2 370Arg/Arg genotypes might be associated with the genetic susceptibility of gastric cancer. PMID: 19035188
- Observations underpin a likely critical antioxidant role for TrxR2 and TrxR1 in the endothelium. PMID: 19595745
- Over-expression of TXNRD2, COMT and ARVCF affects incentive learning and working memory in transgenic mice. PMID: 19617637
顯示更多
收起更多
-
亞細胞定位:Mitochondrion.
-
蛋白家族:Class-I pyridine nucleotide-disulfide oxidoreductase family
-
組織特異性:Highly expressed in the prostate, ovary, liver, testis, uterus, colon and small intestine. Intermediate levels in brain, skeletal muscle, heart and spleen. Low levels in placenta, pancreas, thymus and peripheral blood leukocytes. According to PubMed:10608
-
數據庫鏈接:
Most popular with customers
-
Phospho-YAP1 (S127) Recombinant Monoclonal Antibody
Applications: ELISA, WB, IHC
Species Reactivity: Human
-
-
-
-
-
-
VCP Recombinant Monoclonal Antibody
Applications: ELISA, WB, IHC, IF, IP
Species Reactivity: Human, Rat
-















