TXNRD1 Antibody
-
中文名稱:TXNRD1兔多克隆抗體
-
貨號:CSB-PA613705LA01HU
-
規格:¥440
-
圖片:
-
Western blot
All lanes: TXNRD1 antibody at 5µg/ml
Lane 1: Jurkat whole cell lysate
Lane 2: A549 whole cell lysate
Lane 3: MCF-7 whole cell lysate
Lane 4: Hela whole cell lysate
Secondary
Goat polyclonal to rabbit IgG at 1/10000 dilution
Predicted band size: 71, 60, 66, 61, 55, 68, 51 kDa
Observed band size: 60 kDa -
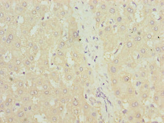
Immunohistochemistry of paraffin-embedded human liver tissue using CSB-PA613705LA01HU at dilution of 1:100
-
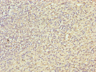
Immunohistochemistry of paraffin-embedded human spleen tissue using CSB-PA613705LA01HU at dilution of 1:100
-
-
其他:
產品詳情
-
產品名稱:Rabbit anti-Homo sapiens (Human) TXNRD1 Polyclonal antibody
-
Uniprot No.:
-
基因名:TXNRD1
-
別名:cytoplasmic antibody; Gene associated with retinoic and IFN-induced mortality 12 protein antibody; Gene associated with retinoic and interferon-induced mortality 12 protein antibody; Gene associated with retinoid IFN induced mortality 12 protein antibody; GRIM 12 antibody; GRIM-12 antibody; GRIM12 antibody; KDRF antibody; KM 102 derived reductase like factor antibody; KM-102-derived reductase-like factor antibody; MGC9145 antibody; Oxidoreductase antibody; Thioredoxin reductase 1 antibody; Thioredoxin reductase 1 cytoplasmic antibody; Thioredoxin reductase GRIM 12 antibody; Thioredoxin reductase TR1 antibody; TR 1 antibody; TR antibody; TR1 antibody; TRXR 1 antibody; TRXR1 antibody; TRXR1_HUMAN antibody; TXNR antibody; TXNRD 1 antibody; Txnrd1 antibody
-
宿主:Rabbit
-
反應種屬:Human
-
免疫原:Recombinant Human Thioredoxin reductase 1, cytoplasmic protein (1-497AA)
-
免疫原種屬:Homo sapiens (Human)
-
標記方式:Non-conjugated
本頁面中的產品,TXNRD1 Antibody (CSB-PA613705LA01HU),的標記方式是Non-conjugated。對于TXNRD1 Antibody,我們還提供其他標記。見下表:
-
克隆類型:Polyclonal
-
抗體亞型:IgG
-
純化方式:>95%, Protein G purified
-
濃度:It differs from different batches. Please contact us to confirm it.
-
保存緩沖液:Preservative: 0.03% Proclin 300
Constituents: 50% Glycerol, 0.01M PBS, PH 7.4 -
產品提供形式:Liquid
-
應用范圍:ELISA, WB, IHC
-
推薦稀釋比:
Application Recommended Dilution WB 1:1000-1:5000 IHC 1:20-1:200 -
Protocols:
-
儲存條件:Upon receipt, store at -20°C or -80°C. Avoid repeated freeze.
-
貨期:Basically, we can dispatch the products out in 1-3 working days after receiving your orders. Delivery time maybe differs from different purchasing way or location, please kindly consult your local distributors for specific delivery time.
-
用途:For Research Use Only. Not for use in diagnostic or therapeutic procedures.
相關產品
靶點詳情
-
功能:Isoform 1 may possess glutaredoxin activity as well as thioredoxin reductase activity and induces actin and tubulin polymerization, leading to formation of cell membrane protrusions. Isoform 4 enhances the transcriptional activity of estrogen receptors alpha and beta while isoform 5 enhances the transcriptional activity of the beta receptor only. Isoform 5 also mediates cell death induced by a combination of interferon-beta and retinoic acid.
-
基因功能參考文獻:
- this study shows that miR-125a suppressed TrxR1 expression by targeting its 3'-UTR in endothelial cells PMID: 30225271
- In human colonic epithelial cells, significant upregulation of NAD(P)H dehydrogenase [quinone] 1 (up to threefold) and thioredoxin reductase 1 (up to twofold) by 10muM sulforaphane (from broccoli), 5muM carnosol (rosemary), and 20muM cinnamaldehyde (cinnamon) was observed. PMID: 28688915
- These results suggest that TrxR1 suppresses anabolic metabolism and adipogenesis by inhibition of intracellular signaling pathways downstream of insulin stimulation. PMID: 27346647
- However, Ethaselen can induce a high level of ROS in K562/CDDP by TrxR activity inhibition and increased ratio of Bax to Bcl-2 in K562/CDDP by nuclear factor kappaB (NF-kappaB) suppression, which subsequently induces the release of cytochrome c in K562/CDDP. This response is partly responsible for the reversal of the cisplatin resistance in K562/CDDP cells. PMID: 28471109
- Multivariate analysis found TXNRD1 was an independent prognostic factor for hepatocellular carcinoma (HCC)patients. In conclusion, our data suggested that TXNRD1 was a biomarker for the prognosis of patients with HCC. PMID: 28536696
- Mechanistic study uncovers for the first time that the selenoprotein thioredoxin reductase (TrxR) is one of the targets by which PL-CL promotes the ROS generation PMID: 27233942
- Endogenous TrxR1 is sensitive to nitrosylation-dependent inactivation. PMID: 27377780
- This study thus provides novel insights into the catalytic mechanisms of TrxR1. One-electron juglone reduction by TrxR1 producing superoxide should furthermore contribute to the well-known prooxidant cytotoxicity of juglone PMID: 26898501
- Mutation of TXNRD1 was identified in a family with genetic generalized epilepsy. PMID: 28232204
- Data show that small molecule B19 targets and inactivates thioredoxin reductase 1 (TrxR1) in gastric cancer cells. PMID: 26919094
- High TRXR1 expression is associated with oral squamous cell carcinoma. PMID: 28653098
- Inhibition of thioredoxin reductase-1 by brevetoxin-2 is via the formation of a Michael adduct between selenocysteine and the alpha, beta-unsaturated aldehyde moiety of the toxin. PMID: 28551108
- Here, the authors use a novel assay to demonstrate that the reduction in non-native disulfides requires NADPH as the ultimate electron donor, and a robust cytosolic thioredoxin system, driven by thioredoxin reductase 1 (TrxR1 or TXNRD1). PMID: 28093500
- Taken together, these findings indicate that auranofin inhibition of TrxR activity in Hep3B cells activates ROS- and caspase-dependent apoptotic signaling pathways and triggers cancer cell death. PMID: 28218611
- It was observed that the combination of redox/protonation states of the N-terminal (FAD and Cys59/64) and C-terminal (Cys497/Selenocysteine498) redox centers defines the preferred relative positions and allows for the flexible arm to work as the desired electron "shuttle." PMID: 27667125
- Our results clearly demonstrate that DIMC can synergistically enhance the cancer cell killing when combined with radiation by targeting thioredoxin system. PMID: 27381867
- thioredoxin reductase is inhibited by plumbagin, which leads to apoptosis in HL-60 cells PMID: 28249720
- TXNRD1 variants may favor anti-tuberculosis drug-induced hepatotoxicity susceptibility in females and nonsmokers. PMID: 27706680
- Our findings demonstrate that elevated TrxR1 levels correlate with the acquisition of bortezomib resistance in MM. We propose considering TrxR1-inhibiting drugs, such as auranofin, either for single agent or combination therapy to circumvent bortezomib-resistance and improve survival outcomes of MM patients. PMID: 26743692
- Cardamonin exposure and selenium availability regulate expression of HO-1, GPX2 and TrxR1 in human intestinal cells. PMID: 26698667
- Under the conditions of inhibition of TrxRs in cells, Parthenolide (PTL) does not cause significant alteration of cellular thiol homeostasis, supporting selective target of TrxRs by PTL. Importantly, overexpression of functional TrxR1 or Trx1 confers protection, whereas knockdown of the enzymes sensitizes cells to PTL treatment. PMID: 27002142
- TXNRD1_v1 and TXNRD1_v2 have distinct roles in differentiation, possibly by altering the expression of the genes associated with differentiation, and further emphasize the importance in distinguishing each unique action of different TrxR1 splice forms PMID: 26464515
- Tissue microarrays containing human nevi and melanomas were used to evaluate levels of the antioxidant protein thioredoxin reductase 1 (TR1), which was found to increase as a function of disease progression. PMID: 26184858
- Rheumatoid arthritis patients with high disease activity had significantly elevated TrxR levels in plasma and synovial fluid than did those with low disease activity. PMID: 26871773
- TRX-1/PRX-1 levels are associated with NADPH oxidase-activity in vivo and in vitro in atherosclerosis. PMID: 26117319
- It seems to be involved in the malignant progression of meningiomas. PMID: 25592259
- The association of TXNRD1 variability was found with physical performance, with three variants (rs4445711, rs1128446, and rs11111979) associated with physical functioning after 85 years of age. PMID: 26064428
- In gene-based analysis of Se metabolism and selenoprotein candidate genes, only thioredoxin reductase 1 (TXNRD1) was significantly associated with toenail Selenium levels. [meta-analysis] PMID: 25343990
- Expression of TrxR1 correlated highly with both the astrocytoma grade and proliferative index PMID: 25391969
- Thioredoxin reductase activity may be more important than GSH level in protecting human lens epithelial cells against UVA light. PMID: 25495870
- Thioredoxin reductase 1 (TrxR1) protein levels and activity were inducible up to 2.2-fold by selenium. PMID: 25179160
- Data suggest TXNRD1 and TXRNRD2 function at the top of a redox pyramid that governs the oxidation state of peroxiredoxins and other protein factors, thereby dictating a hierarchy of phenotypic responses to oxidative insults. PMID: 24624337
- Targeting TrxR1 with shikonin thus discloses a previously unrecognized mechanism underlying the biological activity of shikonin and provides an in-depth insight into the action of shikonin in the treatment of cancer. PMID: 24583460
- Targeting of TrxR1 by GA thus discloses a previously unrecognized mechanism underlying the biological action of GA and provides useful information for further development of GA as a potential agent in the treatment of cancer. PMID: 24407164
- Sec-containing TrxR1 is absolutely required for self-sufficient growth of MEFs under high-glucose conditions, owing to an essential importance of this enzyme for elimination of glucose-derived H2O2. PMID: 24853413
- The oxidoreductase activities of TRP14 thereby complement those of Trx1 and must therefore be considered for the full understanding of enzymatic control of cellular thiols and nitrosothiols. PMID: 24778250
- These findings suggest that high levels of TrxR may be related to progression of glioblastoma multiforme PMID: 23512591
- Increased sperm TR expression might be a defense mechanism against apoptosis in the spermatozoa of men with varicocele. PMID: 23603921
- v3 is an intricately regulated protein that expands TXNRD1-derived protein functions to the membrane raft compartment PMID: 23413027
- Data suggest that dietary factor (selenium supplementation) up-regulates endogenous antioxidant systems and protects trophoblasts from oxidative stress; selenium upregulates GPX1 (glutathione peroxidase 1) and thioredoxin reductases (TXNRD1; TXNRD2). PMID: 23063346
- Our study suggests a novel interaction of up-regulated TXN-TXNRD1 system-mediated oxidative stress defense mechanisms and down-regulated angiogenesis pathways as an adaptive response in obese nondiabetic subjects. PMID: 21593104
- study reveals significant differences between TrxR1 and TrxR2 in substrate specificity and metal compound inhibition in vitro and in cells PMID: 21172426
- Overexpression of TrxR1 could contribute to cancer progression and might be a potential molecular marker for therapy. PMID: 21206984
- These results indicate the ability of TR1 to modulate the cytotoxic effects of selenium compounds in human lung cancer cells through mitochondrial dysfunction. PMID: 20920480
- High expression of TXNRD1 is associated with breast cancer. PMID: 20584310
- High levels of expression in lung carcinoma cells modulate drug-specific cytotoxic efficacy PMID: 19766715
- Results show the critical role of TxnRd1 in curcumin-mediated radiosensitization and suggest that TxnRd1 levels in tumors could have clinical value as a predictor of response to curcumin and radiotherapy. PMID: 20160040
- Caveolin 1 expression inhibits TrxR1-mediated cell transformation. PMID: 19820694
- Methylseleninate is a substrate rather than an inhibitor of mammalian thioredoxin reductase. PMID: 11782468
- Mutational analysis of human thioredoxin reductase 1. PMID: 11953436
顯示更多
收起更多
-
亞細胞定位:Cytoplasm.; [Isoform 4]: Cytoplasm. Nucleus.; [Isoform 5]: Cytoplasm.
-
蛋白家族:Class-I pyridine nucleotide-disulfide oxidoreductase family
-
組織特異性:Isoform 1 is expressed predominantly in Leydig cells (at protein level). Also expressed in ovary, spleen, heart, liver, kidney and pancreas and in a number of cancer cell lines. Isoform 4 is widely expressed with highest levels in kidney, testis, uterus,
-
數據庫鏈接:
Most popular with customers
-
-
YWHAB Recombinant Monoclonal Antibody
Applications: ELISA, WB, IHC, IF, FC
Species Reactivity: Human, Mouse, Rat
-
Phospho-YAP1 (S127) Recombinant Monoclonal Antibody
Applications: ELISA, WB, IHC
Species Reactivity: Human
-
-
-
-
-















