TWF2 Antibody
-
中文名稱:TWF2兔多克隆抗體
-
貨號:CSB-PA764224ESR1HU
-
規格:¥440
-
圖片:
-
Western blot
All lanes: Twinfilin-2 antibody at 3μg/ml
Lane 1: Jurkat whole cell lysate
Lane 2: HepG2 whole cell lysate
Lane 3: A431 whole cell lysate
Secondary
Goat polyclonal to rabbit IgG at 1/10000 dilution
Predicted band size: 40 kDa
Observed band size: 40 kDa -
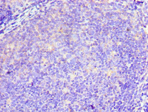
Immunohistochemistry of paraffin-embedded human tonsil tissue using CSB-PA764224ESR1HU at dilution of 1:100
-
-
其他:
產品詳情
-
產品名稱:Rabbit anti-Homo sapiens (Human) TWF2 Polyclonal antibody
-
Uniprot No.:
-
基因名:TWF2
-
別名:A6 related protein antibody; A6-related protein antibody; A6r antibody; A6RP antibody; hA6RP antibody; MSTP011 antibody; Protein tyrosine kinase 9 like antibody; Protein tyrosine kinase 9-like antibody; PTK 9L antibody; PTK9L antibody; PTK9L protein tyrosine kinase 9 like antibody; TWF 2 antibody; Twf2 antibody; TWF2_HUMAN antibody; Twinfilin 1 like protein antibody; Twinfilin 2 antibody; Twinfilin actin binding protein homolog 2 antibody; Twinfilin like protein antibody; Twinfilin-1-like protein antibody; Twinfilin-2 antibody; Twinfilin2 antibody
-
宿主:Rabbit
-
反應種屬:Human
-
免疫原:Recombinant Human Twinfilin-2 protein (1-349AA)
-
免疫原種屬:Homo sapiens (Human)
-
標記方式:Non-conjugated
-
克隆類型:Polyclonal
-
抗體亞型:IgG
-
純化方式:Antigen Affinity purified
-
濃度:It differs from different batches. Please contact us to confirm it.
-
保存緩沖液:PBS with 0.02% sodium azide, 50% glycerol, pH7.3.
-
產品提供形式:Liquid
-
應用范圍:ELISA, WB, IHC, IP
-
推薦稀釋比:
Application Recommended Dilution WB 1:1000-1:5000 IHC 1:20-1:200 IP 1:200-1:2000 -
Protocols:
-
儲存條件:Upon receipt, store at -20°C or -80°C. Avoid repeated freeze.
-
貨期:Basically, we can dispatch the products out in 1-3 working days after receiving your orders. Delivery time maybe differs from different purchasing way or location, please kindly consult your local distributors for specific delivery time.
-
用途:For Research Use Only. Not for use in diagnostic or therapeutic procedures.
相關產品
靶點詳情
-
功能:Actin-binding protein involved in motile and morphological processes. Inhibits actin polymerization, likely by sequestering G-actin. By capping the barbed ends of filaments, it also regulates motility. Seems to play an important role in clathrin-mediated endocytosis and distribution of endocytic organelles. May play a role in regulating the mature length of the middle and short rows of stereocilia.
-
基因功能參考文獻:
- twinfilin-2 is a protein that is involved in neurite outgrowth PMID: 17910947
-
亞細胞定位:Cytoplasm, cytoskeleton. Cytoplasm, perinuclear region. Cell projection, stereocilium. Note=Perinuclear and G-actin-rich cortical actin structure sublocalization.
-
蛋白家族:Actin-binding proteins ADF family, Twinfilin subfamily
-
組織特異性:Ubiquitously expressed (at protein level).
-
數據庫鏈接:
Most popular with customers
-
-
YWHAB Recombinant Monoclonal Antibody
Applications: ELISA, WB, IHC, IF, FC
Species Reactivity: Human, Mouse, Rat
-
Phospho-YAP1 (S127) Recombinant Monoclonal Antibody
Applications: ELISA, WB, IHC
Species Reactivity: Human
-
-
-
-
-















