TTBK2 Antibody
-
中文名稱:TTBK2兔多克隆抗體
-
貨號:CSB-PA753711DSR1HU
-
規格:¥440
-
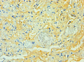
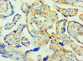
圖片:
-
其他:
產品詳情
-
產品名稱:Rabbit anti-Homo sapiens (Human) TTBK2 Polyclonal antibody
-
Uniprot No.:
-
基因名:
-
別名:TTBK2 antibody; KIAA0847 antibody; Tau-tubulin kinase 2 antibody; EC 2.7.11.1 antibody
-
宿主:Rabbit
-
反應種屬:Human
-
免疫原:Recombinant Human Tau-tubulin kinase 2 protein (1185-1244AA)
-
免疫原種屬:Homo sapiens (Human)
-
標記方式:Non-conjugated
-
克隆類型:Polyclonal
-
抗體亞型:IgG
-
純化方式:Antigen Affinity Purified
-
濃度:It differs from different batches. Please contact us to confirm it.
-
保存緩沖液:PBS with 0.02% sodium azide, 50% glycerol, pH7.3.
-
產品提供形式:Liquid
-
應用范圍:ELISA, IHC
-
推薦稀釋比:
Application Recommended Dilution IHC 1:20-1:200 -
Protocols:
-
儲存條件:Upon receipt, store at -20°C or -80°C. Avoid repeated freeze.
-
貨期:Basically, we can dispatch the products out in 1-3 working days after receiving your orders. Delivery time maybe differs from different purchasing way or location, please kindly consult your local distributors for specific delivery time.
-
用途:For Research Use Only. Not for use in diagnostic or therapeutic procedures.
相關產品
靶點詳情
-
功能:Serine/threonine kinase that acts as a key regulator of ciliogenesis: controls the initiation of ciliogenesis by binding to the distal end of the basal body and promoting the removal of CCP110, which caps the mother centriole, leading to the recruitment of IFT proteins, which build the ciliary axoneme. Has some substrate preference for proteins that are already phosphorylated on a Tyr residue at the +2 position relative to the phosphorylation site. Able to phosphorylate tau on serines in vitro.
-
基因功能參考文獻:
- Enhanced expression of circ-TTBK2 promoted cell proliferation, migration, and invasion, while inhibited apoptosis in glioma cells. PMID: 28219405
- TTBK2 down-regulates GluK2 activity by decreasing the receptor protein abundance in the cell membrane via RAB5-dependent endocytosis. PMID: 27607061
- TTBK2 is a multifunctional kinase involved in important cellular processes and demands augmented efforts in investigating its functions PMID: 25950000
- TTBK2 phosphorylates KIF2A and antagonizes KIF2A-induced depolymerization at microtubules plus ends for cell migration. PMID: 26323690
- TTBK2 bound EB1 and Cep164 through its SxIP motifs and a proline-rich motif, respectively. PMID: 25297623
- data suggest that TTBK2 also acts upstream of Cep164, contributing to the assembly of distal appendages PMID: 24982133
- Dominant truncating mutations in human TTBK2 cause spinocerebellar ataxia type 11 (SCA11); these mutant proteins do not promote ciliogenesis and inhibit ciliogenesis in wild-type cells. PMID: 23141541
- TTBK2 is a completely novel regulator of Na(+)-coupled glucose transport. PMID: 22814243
- findings reveals a major role of PRKX, TTBK2 and RSK4 in triggering Sunitinib resistance formation; data suggest transcriptional regulation of these kinases together with other proteins might play an important role in formation of Sunitinib resistance by affecting transcription factors PMID: 22020623
- two-basepair deletion (c.1306_1307delGA, p.D435fs448X in exon 12) lead to a premature stop codon in the TTBK2 gene; spinocerebellar ataxia patients had phenotypic of slowly progressive almost pure cerebellar ataxia with normal life expectancy PMID: 20667868
- Examination the TTBK2 gene in 68 unrelated spinocerebellar ataxia patients displayed the normal elution profile, which denoted that no disease-related mutation was identified. We provided the evidence that SCA11 is a rare form of ataxia in China. PMID: 19768375
- These data suggest that TTBK2 is important in the tau cascade and in spinocerebellar degeneration. PMID: 18037885
- that SCA11 is an extremely rare cause for dominantly inherited ataxias (TTBK2) in the German population. PMID: 19533200
顯示更多
收起更多
-
相關疾?。?/div>Spinocerebellar ataxia 11 (SCA11)亞細胞定位:Cell projection, cilium. Cytoplasm, cytoskeleton, cilium basal body. Cytoplasm, cytoskeleton, microtubule organizing center, centrosome, centriole. Cytoplasm, cytosol. Nucleus.蛋白家族:Protein kinase superfamily, CK1 Ser/Thr protein kinase family數據庫鏈接:
Most popular with customers
-
-
YWHAB Recombinant Monoclonal Antibody
Applications: ELISA, WB, IHC, IF, FC
Species Reactivity: Human, Mouse, Rat
-
Phospho-YAP1 (S127) Recombinant Monoclonal Antibody
Applications: ELISA, WB, IHC
Species Reactivity: Human
-
-
-
-
-















